Cleve

Salivary Gland Stone

Salivary Gland Stone

Have you ever experienced a sudden, sharp pain in your jaw or cheek, especially right before or during a meal? While it might be easy to dismiss as a simple toothache or jaw tension, these symptoms often point to a more specific, albeit less commonly discussed, issue: a salivary gland stone. Medically known as sialolithiasis, this condition occurs when calcified deposits form within your salivary glands or ducts, effectively blocking the normal flow of saliva into your mouth. While often painful, understanding what causes these stones, how to recognize their symptoms, and the various treatment options available can help you navigate this uncomfortable experience with confidence.

What Exactly is a Salivary Gland Stone?

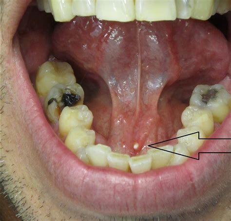
Your body has three main pairs of salivary glands: the parotid (near the cheeks), the submandibular (under the jaw), and the sublingual (under the tongue). Saliva is essential for digestion, keeping your mouth moist, and protecting your teeth from decay. A salivary gland stone forms when the chemicals in your saliva—such as calcium phosphate and calcium carbonate—crystallize and clump together. These hard, pebble-like stones can range in size from tiny specks to large, obstructive masses that significantly impede saliva production.

Most stones form in the submandibular glands, largely because the saliva produced there is thicker and the duct pathways are longer and more convoluted, making them more prone to blockages.

Common Symptoms to Look Out For

Recognizing the symptoms early is crucial for effective management. Because the blockage prevents saliva from escaping, the gland often swells, particularly when you eat or smell food, as these triggers stimulate the glands to produce more saliva. Common signs include:

  • Intense, sharp pain in the affected area, usually worsening during meals.
  • Visible swelling under the tongue or near the jawline.
  • Tenderness or sensitivity in the mouth or face.
  • A persistent bad taste in the mouth (often due to stagnant saliva or infection).
  • Difficulty opening the mouth, swallowing, or speaking if the swelling is severe.

In some cases, if the blockage persists, bacteria can grow in the trapped saliva, leading to an infection, which may manifest as fever, chills, or pus draining into the mouth.

Diagnostic Procedures

If you suspect you have a stone, it is important to visit a doctor or dentist for a proper diagnosis. They will perform a physical examination of your mouth and jaw to feel for the stone. To confirm the diagnosis and determine the size and location of the salivary gland stone, imaging tests are often used:

Diagnostic Tool Purpose
X-rays To identify calcified stones (very effective for hard deposits).
Ultrasound To visualize stones that may not show up well on X-rays.
CT Scan Provides highly detailed images, used for larger or complex stones.
Sialendoscopy A minimally invasive procedure using a tiny camera to look inside the ducts.

⚠️ Note: Always seek professional medical advice before attempting to treat a suspected stone at home. Attempting to dislodge a stone incorrectly can cause tissue damage or push the stone deeper into the duct.

Management and Treatment Options

The approach to treating a salivary gland stone depends largely on its size and location. Small stones can often be managed with conservative home remedies, while larger, stubborn stones may require medical intervention.

Conservative Home Treatment

For smaller stones, the goal is to encourage the stone to pass naturally through the duct:

  • Stay Hydrated: Drinking plenty of water keeps saliva thin and flowing properly.
  • Use Sialogogues: Sucking on tart candies, lemon drops, or sour foods stimulates saliva production, which may help flush out the stone.
  • Gentle Massage: Applying light pressure or massaging the area of the gland may encourage the stone to move.
  • Apply Warm Compresses: Placing a warm, moist cloth over the swollen area can help relax the duct and reduce pain.

Medical and Surgical Interventions

If home remedies fail, or if the stone is causing significant pain or recurrent infections, a healthcare provider may suggest the following:

  • Duct Dilation: The doctor gently dilates the duct to allow the stone to pass.
  • Sialendoscopy: A surgeon uses specialized instruments to retrieve the stone through the duct without external incisions.
  • Lithotripsy: Using shock waves to break the stone into smaller, passable fragments.
  • Surgery: In rare cases, for very large or deeply embedded stones, surgical removal of the stone or, occasionally, the affected gland itself may be necessary.

💡 Note: If you notice signs of a severe infection, such as high fever, intense facial swelling, or significant difficulty breathing, seek emergency medical care immediately.

Preventative Measures

While not all cases of sialolithiasis can be prevented, you can reduce your risk significantly. Maintaining excellent oral hygiene is the first line of defense. Brushing twice a day and flossing helps keep the duct openings clean and free of debris. Furthermore, staying well-hydrated is essential; when you are dehydrated, your saliva becomes more concentrated, increasing the risk of stone formation.

If you have a history of stones, your doctor might also recommend avoiding certain medications that cause dry mouth (xerostomia), if possible, or using saliva substitutes to keep your mouth environment healthy. Regular dental checkups are also vital for catching potential blockages before they develop into full-blown, painful stones.

Dealing with a salivary gland stone can be a painful and disruptive experience, but it is a manageable condition. By staying aware of your symptoms—especially during mealtime—and seeking prompt evaluation, you can avoid complications like persistent infection or chronic inflammation. Whether you successfully treat a small stone at home using hydration and stimulation techniques or require a minimally invasive procedure from a specialist, the outlook for recovery is excellent. Remember to prioritize consistent oral hygiene and hydration, as these simple habits serve as your strongest defense against future recurrence. If you find yourself experiencing the telltale sharp pains of a blockage, don’t wait for the discomfort to escalate; reaching out to a medical professional ensures you get the right care to restore your comfort and normal saliva function quickly.

Related Terms:

  • salivary gland stone infection
  • salivary gland stone removal surgery
  • salivary gland stone icd 10
  • salivary gland stone management
  • salivary gland stone causes
  • salivary gland stone nice cks