Cleve

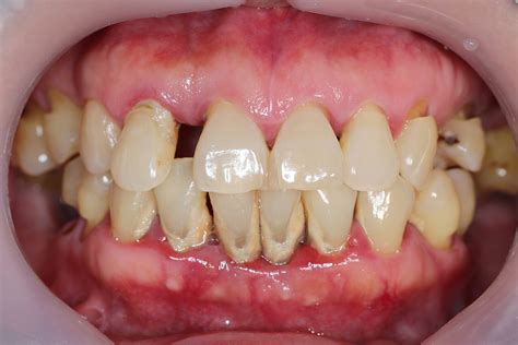
Healthy Gums Vs Unhealthy Gums

Healthy Gums Vs Unhealthy Gums

Most of us spend significant time worrying about the brightness of our smile, focusing almost exclusively on the whiteness of our teeth. However, the true foundation of a healthy smile lies beneath the surface—in the condition of your gingival tissue. Understanding the critical differences between Healthy Gums Vs Unhealthy Gums is not just an aesthetic concern; it is a fundamental aspect of your overall systemic health. When you neglect your gum health, you aren't just risking tooth loss; you are potentially opening the door to inflammation that can affect your entire body, including your heart and immune system.

Visualizing the Difference: Healthy Gums Vs Unhealthy Gums

The easiest way to assess your oral health is through observation. Your gums serve as the protective seal around your teeth, and they provide immediate visual cues when things go wrong. Healthy tissue is resilient and robust, whereas diseased tissue is often fragile and reactive.

Feature Healthy Gums Unhealthy Gums
Color Light pink or coral Bright red, dark red, or purple
Texture Firm and stippled (like an orange peel) Swollen, puffy, or shiny
Reaction Does not bleed during brushing/flossing Bleeds easily when touched
Sensation No pain or discomfort Sensitive, tender, or constant ache

By comparing these traits regularly, you can catch the early stages of periodontal disease before it transitions into irreversible damage. If you notice a persistent red hue or puffiness, it is a clear signal that your body is fighting off a bacterial invasion in the periodontal pockets.

The Stages of Gum Disease

The progression from healthy tissue to advanced disease usually happens in predictable stages. Understanding this progression is vital for early intervention.

  • Gingivitis: This is the earliest stage of gum disease, characterized by inflammation, redness, and occasional bleeding while brushing or flossing. At this stage, the condition is usually fully reversible with professional cleaning and improved oral hygiene.
  • Periodontitis: If left untreated, gingivitis advances to periodontitis. Here, the inner layer of the gum and bone pull away from the teeth and form pockets. These spaces collect debris and can become infected, leading to the destruction of the bone supporting the tooth.
  • Advanced Periodontitis: In this final stage, the fibers and bone supporting the teeth are destroyed. This causes your teeth to shift or become loose, which often results in tooth loss.

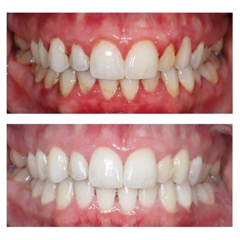
⚠️ Note: If you notice that your teeth appear longer than they used to, this is a sign of gum recession. Once the gum line recedes, it does not naturally grow back, making professional intervention necessary to stop further progression.

Daily Habits for Maintaining Optimal Gum Health

Maintaining a barrier against bacteria is the best way to keep your gums in top condition. You do not need expensive treatments to achieve this; consistency is the most effective tool in your arsenal.

  • Master the Flossing Technique: Flossing is the only way to remove plaque from between the teeth where a toothbrush cannot reach. Use a gentle C-shaped motion around each tooth.
  • Use a Soft-Bristled Toothbrush: Aggressive brushing with a hard-bristled brush can actually damage your gums, leading to recession. Use a soft brush and use short, circular motions.
  • Consider an Antimicrobial Rinse: An alcohol-free mouthwash can help reduce the bacterial load in your mouth, providing an extra layer of protection for your gums.
  • Regular Professional Cleanings: Even with perfect home care, tartar (hardened plaque) can build up. Only a dental hygienist can remove tartar, which is a major contributor to gum inflammation.

The Connection Between Gums and Overall Health

Many patients are surprised to learn that Healthy Gums Vs Unhealthy Gums affects more than just the mouth. Research has consistently shown a strong link between chronic periodontitis and systemic diseases. The bacteria that cause gum disease can enter your bloodstream through inflamed gum tissue. Once in the system, these bacteria have been associated with:

  • Cardiovascular Issues: Inflammation in the gums is thought to contribute to the hardening of arteries.
  • Diabetes Complications: High blood sugar can make gum disease worse, and conversely, severe gum disease can make it harder to control blood sugar levels.
  • Respiratory Infections: Bacteria from the mouth can be inhaled into the lungs, potentially causing or worsening respiratory conditions.

Recognizing the Warning Signs

Aside from visible changes in color and swelling, there are several "invisible" indicators that your gums are struggling. Be on the lookout for persistent bad breath (halitosis) that doesn't go away after brushing, as this is often caused by the buildup of bacteria in periodontal pockets. Additionally, if you experience a metallic taste in your mouth or notice that your teeth feel loose, schedule a dental appointment immediately. These are not signs of aging; they are symptoms of a disease process that requires professional medical assessment.

The journey toward superior oral health begins with a simple realization: your gums are just as important as your teeth. By prioritizing the removal of plaque and maintaining a routine that respects the delicate nature of your gingival tissue, you prevent the onset of irreversible damage. While the contrast between healthy and unhealthy gums is stark, it serves as a powerful reminder that we have significant control over our physical well-being. By integrating consistent flossing, gentle brushing, and regular check-ups into your life, you are not just ensuring a beautiful smile, but investing in your long-term health and vitality. Pay attention to the subtle signals your body sends, and treat your gum care with the same diligence you would apply to any other vital health practice.

Related Terms:

  • healthy vs unhealthy gums meaning
  • healthy gums color chart
  • healthy vs unhealthy gums pictures
  • healthy vs unhealthy gums chart
  • healthy teeth and gums pictures
  • unhealthy gums color chart