Rp

Echogenicity Of The Liver

Echogenicity Of The Liver

When you undergo an abdominal ultrasound, you might receive a report mentioning the echogenicity of the liver. This medical term often sounds intimidating to patients, but it is a fundamental concept in diagnostic imaging used to assess liver health. Essentially, echogenicity refers to the ability of a tissue to reflect ultrasound waves, which then appear as varying shades of gray on the monitor. Understanding what these changes mean can provide critical insights into conditions like fatty liver disease, fibrosis, or inflammation, allowing healthcare providers to determine the most effective course of action for your well-being.

What is Echogenicity in Liver Ultrasound?

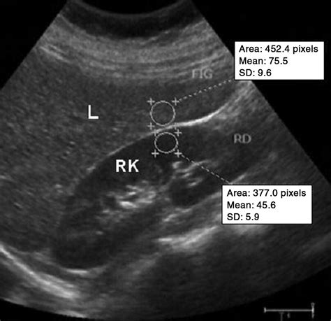
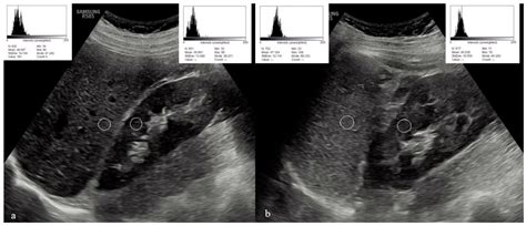
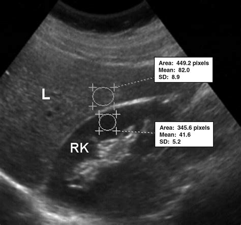
In the world of medical imaging, the liver is typically used as the "benchmark" for brightness. Healthy liver tissue has a specific texture and gray-scale appearance known as isoechogenicity. When an ultrasound technician scans the liver, they compare its brightness to the nearby kidney cortex and the spleen. If the liver appears brighter, darker, or more grainy than normal, it signals a change in the internal composition of the organ. The echogenicity of the liver is a direct reflection of how much sound energy is bouncing back to the transducer, which changes based on the presence of fat, fibrous tissue, or cellular swelling.

Medical ultrasound scan of the abdomen

Also read: Subtle Full Face Refresh Without Surgery

Interpreting Different Levels of Echogenicity

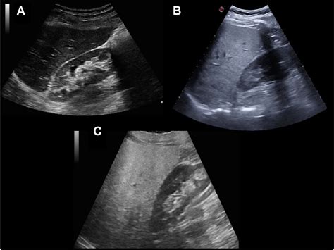
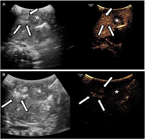
Radiologists categorize the liver's appearance into three primary grades based on how the echoes are reflected. Recognizing these variations is the first step in identifying underlying liver disease:

  • Hyperechoic Liver: This occurs when the liver appears brighter than the kidney. It is the most common indicator of hepatic steatosis, or fatty liver disease, where fat cells infiltrate the liver tissue.
  • Hypoechoic Liver: This happens when the liver appears darker than normal. This can occur in cases of acute hepatitis, where inflammation causes cellular swelling, or occasionally in specific types of infiltrative diseases.
  • Isoechoic Liver: This represents the standard, healthy appearance where the liver’s brightness matches the surrounding anatomical structures.

Common Causes for Changes in Liver Echogenicity

The echogenicity of the liver does not change without a cause. When the liver's internal structure is altered, ultrasound waves interact with that tissue differently. Some of the most common medical conditions associated with these changes include:

  • Non-Alcoholic Fatty Liver Disease (NAFLD): The accumulation of excess fat causes the liver to reflect more ultrasound waves, leading to increased echogenicity.
  • Liver Cirrhosis: As the liver develops scar tissue (fibrosis), the architecture becomes coarse and irregular, often appearing brighter than a healthy liver.
  • Hepatitis: Viral or autoimmune inflammation can change the cellular texture, sometimes resulting in a darker, "starry sky" appearance.
  • Glycogen Storage Diseases: Certain metabolic disorders can cause the liver to appear significantly brighter.

💡 Note: A hyperechoic liver is not always a sign of severe damage; it is a clinical finding that must be correlated with blood work, such as liver enzyme tests and metabolic panels, to determine its true significance.

Comparison of Ultrasound Findings

The table below summarizes how different clinical conditions impact the visual characteristics of the liver during an ultrasound exam:

Condition Echogenicity Level Visual Texture
Healthy Liver Isoechoic Smooth, uniform gray
Mild Fatty Liver Increased (Mildly Hyperechoic) Slightly brighter than kidney
Severe Fatty Liver Markedly Hyperechoic Bright, poor visualization of vessels
Cirrhosis Coarse/Hyperechoic Nodular surface and internal brightness
Acute Hepatitis Hypoechoic Darker, "starry sky" effect

What to Do After Receiving Your Results

If your report indicates that the echogenicity of the liver is abnormal, do not panic. Ultrasound is a screening tool, not a definitive diagnosis. Physicians often use this information to decide whether further testing is needed. They might suggest additional diagnostic steps, such as:

  • Liver Function Tests (LFTs): Blood tests that measure enzymes and proteins to see how well your liver is functioning.
  • FibroScan or Elastography: A non-invasive test that measures the stiffness of the liver to check for fibrosis.
  • Lifestyle Modifications: If mild fatty liver is detected, doctors often recommend a healthy diet, weight management, and regular exercise to reverse the fat accumulation.
  • Further Imaging: In some cases, a CT scan or MRI may be ordered to get a more detailed look at the liver architecture.

⚠️ Note: Always discuss your imaging results with your primary care physician or a hepatologist. They can provide a personalized plan based on your complete medical history, which is essential for accurate diagnosis.

Preventive Measures for Liver Health

Maintaining a healthy liver is largely within your control. Since the echogenicity of the liver is frequently linked to metabolic factors, adopting habits that promote overall metabolic health is key. Reducing processed sugars and refined carbohydrates helps prevent fat storage in the liver. Furthermore, limiting alcohol consumption is crucial to preventing inflammation and long-term scarring. Regular physical activity, even moderate walking, has been proven to improve liver fat content significantly. By monitoring your weight and maintaining stable blood glucose levels, you can help ensure your liver maintains its healthy, isoechoic appearance for years to come.

Ultimately, the echogenicity of the liver serves as an important biological marker that allows medical professionals to peek inside the body without invasive procedures. While a report showing increased or decreased brightness might indicate an underlying issue, it is rarely a reason for immediate alarm. Instead, consider it a helpful heads-up from your body, providing you and your doctor with the information needed to make proactive changes. By combining these imaging findings with blood tests and lifestyle adjustments, most individuals can successfully manage or reverse the conditions that lead to changes in liver texture. Always follow up with your healthcare provider to discuss what these results mean for your specific situation and continue prioritizing your health through balanced nutrition and consistent activity.

Related Terms:

  • echogenicity of the liver parenchyma
  • normal echogenicity of the liver
  • increased echogenicity of the liver
  • liver increased echogenicity meaning
  • liver demonstrates increased echogenicity
  • echogenicity of the hepatic parenchyma