Cleve

Non Ossifying Fibroma

Non Ossifying Fibroma

Discovering an unusual finding on an X-ray can be an anxiety-inducing experience, especially when medical terminology is involved. One of the most common incidental findings in children and adolescents is a Non Ossifying Fibroma (NOF). Often referred to in medical literature as a benign cortical defect, this condition is essentially a developmental variation in bone growth rather than a true disease or tumor in the malignant sense. Understanding what this means for your health or your child’s health is the first step toward peace of mind, as these lesions are generally harmless and often resolve on their own as a person reaches skeletal maturity.

Understanding Non Ossifying Fibroma: What Is It?

Bone health concept

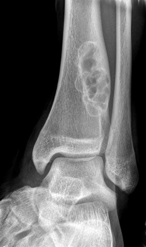
A Non Ossifying Fibroma is a benign, non-cancerous bone lesion that occurs when a small area of bone is replaced by fibrous tissue instead of normal bone matter. These lesions are incredibly common, with studies suggesting that they occur in nearly 30% to 40% of children at some point during their development. They are rarely symptomatic and are most frequently discovered by accident when an X-ray is performed for an unrelated injury, such as a twisted ankle or a suspected fracture.

The lesion typically starts in the metaphysis—the growing portion of a long bone—and can slowly migrate toward the diaphysis (the shaft) as the bone grows. While the term "fibroma" might sound intimidating, it is crucial to recognize that this is a benign developmental process. It does not spread to other parts of the body, and it does not have the potential to become malignant.

Common Symptoms and Diagnostic Features

In the vast majority of cases, a Non Ossifying Fibroma is completely asymptomatic. It does not cause pain, swelling, or limited range of motion. Because there are no physical symptoms, it is almost exclusively diagnosed through imaging techniques. Physicians typically look for specific “radiographic signatures” that confirm the diagnosis without the need for invasive testing like biopsies.

Diagnostic characteristics include:

  • Location: Primarily found in the long bones of the legs, such as the femur (thigh bone) or the tibia (shin bone).
  • Appearance: On an X-ray, they appear as a well-defined, multi-lobulated or "bubbly" lucency within the cortex of the bone.
  • Margins: They usually have a thin, sclerotic rim of bone, which indicates that the lesion is stable and not actively aggressive.

💡 Note: If a lesion is found to be exceptionally large or if it causes localized pain, your doctor may request an MRI or CT scan to rule out other bone conditions that might look similar to an NOF.

When Should You Be Concerned?

While an NOF is rarely a cause for alarm, there are specific scenarios where clinical monitoring is necessary. Most physicians adopt a “wait and see” approach, which involves periodic X-rays to ensure the lesion is either remaining stable or slowly regressing. The primary concern with a Non Ossifying Fibroma is not the lesion itself, but rather the structural integrity of the bone if the lesion is particularly large.

Key considerations for monitoring include:

Clinical Status Management Approach
Asymptomatic / Small size Observation (No treatment)
Large size (occupying >50% of bone diameter) Activity restriction and serial imaging
Presence of pain Evaluation for pathologic fracture

In rare instances, a very large Non Ossifying Fibroma can weaken the bone enough to make it susceptible to a pathologic fracture. In these specific cases, a surgeon might recommend a procedure called curettage and bone grafting to fill the cavity and strengthen the bone, though this is only reserved for the most significant cases.

The Role of Age and Skeletal Maturity

The progression of a Non Ossifying Fibroma is intrinsically linked to the growth process. These lesions appear during childhood, often peaking in early adolescence. As an individual approaches skeletal maturity—typically in the late teens—the lesion often begins to “ossify,” meaning it fills in with mature, normal bone tissue. Once the bone has reached full maturity, the lesion usually disappears entirely, leaving the bone healthy and strong.

This natural regression is why medical professionals emphasize that most Non Ossifying Fibromas simply require patience. The body’s own growth mechanisms are often the most effective treatment. Maintaining a healthy lifestyle with adequate calcium and Vitamin D intake supports the natural remodeling of the bone, assisting in the process of filling in these fibrous gaps.

Guidance for Parents and Patients

If you or your child has been diagnosed with this condition, it is natural to feel some apprehension. However, medical experts view these findings as a standard part of pediatric bone development. The following steps are often recommended for those currently being monitored:

  • Keep Up with Follow-Ups: Adhere to the schedule of X-rays provided by your orthopedist to ensure the lesion remains stable.
  • Manage Physical Activity: If the lesion is large, your doctor may suggest avoiding high-impact sports temporarily to prevent the risk of a fracture while the bone is remodeling.
  • Monitor for New Pain: While the lesion itself shouldn’t hurt, report any new, persistent, or worsening pain in the affected limb to your doctor immediately.

💡 Note: Always consult with a pediatric orthopedic specialist if you have specific concerns regarding sports participation or if you notice any unusual swelling or tenderness at the site of the lesion.

Summarizing the Clinical Outlook

The journey with a Non Ossifying Fibroma is usually brief and straightforward. Because these lesions are benign and have a strong tendency to resolve spontaneously as an individual reaches adulthood, they rarely require medical intervention. By understanding the nature of these cortical defects, patients and parents can move past the initial fear and focus on the fact that this is a temporary developmental stage. Through consistent communication with your healthcare provider and regular imaging for monitoring, you can ensure that the bone heals perfectly. Ultimately, a diagnosis of a fibrous lesion of this type is a manageable situation that, with time and simple observation, usually results in a full return to normal activity and bone health.

Related Terms:

  • healing non ossifying fibroma
  • non ossifying fibroma in adults
  • what causes non ossifying fibroma
  • treatment for non ossifying fibroma
  • non ossifying fibroma definition
  • non ossifying fibroma prognosis