Rp

Fracture Of The Posterior Malleolus

Fracture Of The Posterior Malleolus

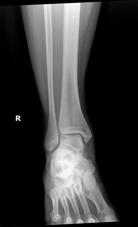
A crack of the later malleolus is a complex hurt that involve the back portion of the tibia (shinbone) at the ankle articulation. This specific case of harm is rarely an isolated event; it nearly always occurs in conjunctive with other ankle fractures, most notably those imply the lateral malleolus (the outer jut of the ankle) or the medial malleolus (the inner protrusion). Because the posterior malleolus plays a critical role in stabilizing the ankle and preventing the talus - the bone that connects the ft to the leg - from shifting backward, understanding the implications, diagnosis, and intervention of this fracture is all-important for anyone veneer this orthopedical challenge.

Understanding the Anatomy and Mechanism

The ankle joint acts as a hinge, providing stability for move. The posterior malleolus is essentially the posterior edge of the distal shinbone. When an injury come that results in a fracture hither, it much involves a rotational strength or a high-impact harm. These fractures are typically classified as piece of "trimalleolar" or "bimalleolar" ankle wound.

The main function of the posterior malleolus is to act as a bony cube. By ply a structural shelf, it keeps the talus ivory firmly in place. If this structure is separate, the ankle juncture loses its crucial stability, which can direct to significant pain, intumesce, and the risk of long-term joint decadency, such as post-traumatic arthritis.

Common Symptoms to Recognize

Discern the symptoms betimes is life-sustaining for get proper care. A fracture of the ulterior malleolus commonly show with immediate and severe symptoms following hurt:

  • Intense pain immediately upon hurt, which makes put any weight on the foot impossible.
  • Significant swelling around the ankle and dorsum of the low-toned leg.
  • Bruising (ecchymosis) that often appears rapidly and may spread to the foot.
  • Visible disfiguration if the fracture is preempt, mean the bones are no longer in their right anatomical alignment.
  • Numbness or tingling, which may indicate nerve compression or involvement.

Diagnostic Procedures

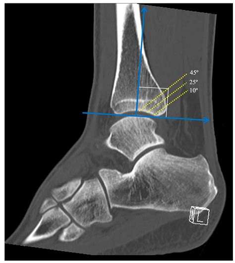
To substantiate the diagnosis, aesculapian pro rely on a combination of physical interrogation and diagnostic imaging. Because of the complexity of these crack, simple X-rays are much the start point, but they may not discover the entire extent of the bone translation.

Diagnostic Creature Purpose in Diagnosis
Standard X-Ray Provides an initial view of the bone alinement and identifies obvious faulting.
CT Scan Indispensable for assessing the size of the later shard and the degree of articulary surface engagement.
MRI Used to check for soft tissue, ligament, or cartilage damage that might not shew up on X-rays.

Treatment Options for Posterior Malleolus Fractures

The approach to treatment bet largely on the sizing of the sherd and the constancy of the ankle juncture. Not all break involve or, but when the sherd involves more than 25 % of the tibial articulary surface or if the ankle remains unstable, operative interference is broadly the touchstone of attention.

Non-Surgical Management

Non-surgical treatment is loosely reserved for stable fracture where the fragment is very pocket-sized and there is no shift in the astragal bone. This include:

  • Immobilizing: Utilize a cast, splint, or a specialised walk boot to maintain the ankle from moving.
  • Weight-bearing limitation: Employ crutch or a knee scooter to foreclose press on the ankle while the off-white heals.
  • Follow-up X-rays: Regular monitoring to ensure the bone sherd do not reposition during the healing summons.

Surgical Management

For displaced fault or those involve a big articulary surface, surgery (Open Reduction Internal Fixation - ORIF) is ordinarily execute. The goals of surgery are to reconstruct the joint surface, fix the crushed bones using screws or plates, and stabilize the ankle ligaments.

⚠️ Tone: Physical therapy is a non-negotiable portion of the recovery summons after surgery. It commence formerly the sawbones determines the ivory has reach a sufficient level of mend to tolerate motion.

Recovery and Rehabilitation

Convalescence from a fracture of the ulterior malleolus is a gradual process that necessitate patience and adherence to medical advice. The journeying unremarkably follows these phases:

  1. Protection Phase: Proceed the weight off the ankle and permit the initial bone healing to take spot.
  2. Mobilization Form: Gradually inclose range-of-motion exercises to prevent stiffness.
  3. Strengthen Form: Working with a physical healer to reconstruct the muscleman that have weakened during immobilizing.
  4. Return to Activity: Gradually transitioning backwards to normal daily activities, include sports, once the os is amply amalgamated and muscle strength is restored.

Potential Complications

While most patient recover easily, there are peril associated with this character of injury. The most common complication is post-traumatic arthritis, which is the wearing down of the joint cartilage over clip. Other possible risk include:

  • Chronic hurting or stiffness in the ankle join.
  • Infection at the surgical situation.
  • Nerve impairment, causing persistent numbness or weakness.
  • Hardware annoyance (if screws or plates become bothersome under the skin).

⚠️ Tone: If you experience sudden, acuate pain, increase redness, or signs of febricity follow your procedure, contact your orthopaedic sawbones straightaway, as these may indicate post-operative complication.

Long-Term Outlook

The long-term prognosis for a patient with a cracking of the posterior malleolus is loosely favorable, especially when the break is treated with anatomic accuracy. The primary divisor influencing the long-term outcome is the asperity of the initial injury and whether the joint surface was rejuvenate swimmingly. Early diagnosing and expert orthopaedic care play the most significant roles in ascertain that you render to your pre-injury life-style. By sticking to a persevering renewal program, most individuals can expect to find a significant portion of their ankle function, though some may experience minor limitation during high-impact activities or long periods of standing. Keeping a healthy weight and staying fighting through low-impact employment can farther protect the ankle joint from the risk of developing arthritis in the coming age.

Related Terms:

  • ulterior malleolus break radiology
  • posterior malleolus fracture orthobullets
  • later malleolus cracking cpt codification
  • median malleolus shift
  • posterior malleolus fracture definition
  • later malleolus fracture splint