Cleve

Bone Spurs In Heel

Bone Spurs In Heel

Waking up in the morning and taking those first few steps can be a painful experience if you are suffering from bone spurs in heel. This condition, often associated with chronic foot pain, affects thousands of individuals who lead active lifestyles or spend significant time on their feet. While the term "bone spur" might sound intimidating, understanding what they are and how they develop is the first step toward reclaiming your mobility and comfort. Often linked to conditions like plantar fasciitis, these bony protrusions can turn simple daily activities into challenging hurdles.

What Exactly Are Bone Spurs in Heel?

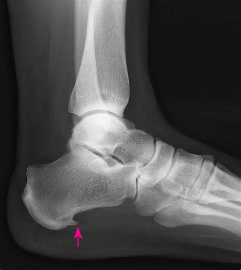
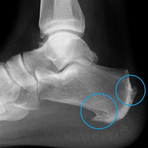
A bone spur, medically known as an osteophyte, is a bony growth that develops along the edges of a bone. When it occurs in the heel, it is typically located either on the underside of the heel bone (calcaneus) or at the back of the heel near the Achilles tendon. These growths occur as the body’s response to long-term stress, pressure, or inflammation.

The development of bone spurs in heel is often a slow, gradual process. As your body attempts to repair injured or stressed areas, it deposits extra bone material. Over time, this results in a visible or palpable bump. It is important to note that the spur itself is not always the direct source of pain; rather, it is often the surrounding tissue inflammation that causes discomfort.

Also read: Face Off Surgery

Common Symptoms and Causes

Recognizing the signs of this condition is crucial for timely management. Many people live with bone spurs without even knowing it until an X-ray reveals them. However, when symptoms do arise, they can be quite debilitating.

Common symptoms include:

  • Sharp, stabbing pain in the heel, especially during the first few steps in the morning.
  • A dull, aching sensation in the heel that persists throughout the day.
  • Visible swelling or inflammation around the heel area.
  • Sensitivity to touch or pressure on the bottom of the foot.

The primary causes often stem from repetitive stress. This includes:

  • Ill-fitting footwear: Shoes that lack proper arch support or cushioning.
  • High impact activities: Running, jumping, or sports that put repetitive force on the heel.
  • Excess weight: Increased body mass puts more pressure on the foot structures.
  • Foot mechanics: Flat feet or high arches can alter your gait and contribute to stress on the heel bone.

Comparison of Heel Pain Conditions

It is easy to confuse bone spurs with other foot ailments. The following table helps distinguish the typical characteristics of common heel issues.

Condition Primary Location Common Cause
Plantar Fasciitis Bottom of the heel/arch Strain of the tissue band
Bone Spurs Heel bone surface Chronic pressure/calcium deposits
Achilles Tendinitis Back of the heel Overuse of the tendon

⚠️ Note: If you experience persistent, severe pain that prevents you from walking, seek professional medical advice to rule out fractures or underlying systemic conditions like arthritis.

Effective Management and Treatment Strategies

Treating bone spurs in heel is rarely an invasive process. In fact, most individuals find relief through conservative, non-surgical methods. The goal of these treatments is to reduce inflammation and alleviate the pressure that led to the spur’s formation.

1. Targeted Stretching

Stretching the calf muscles and the plantar fascia helps reduce the tension pulling on the heel bone. Simple exercises, such as using a towel to pull your toes toward you while seated, can make a significant difference in daily comfort.

2. Supportive Footwear and Orthotics

The right footwear acts as your first line of defense. Look for shoes with a deep heel cup and excellent arch support. If your shoes are worn out, they lose their ability to absorb shock, which exacerbates heel pain. Custom or over-the-counter orthotic inserts can provide the necessary stabilization to redistribute pressure away from the spur.

3. Physical Therapy

A physical therapist can design a personalized program to address your specific gait issues and muscle imbalances. They may use ultrasound therapy, massage, or specific strengthening exercises to alleviate the stress on your heel.

4. Lifestyle Adjustments

Managing your activity level is essential. If you are a runner, consider switching to lower-impact activities like swimming or cycling while you recover. Maintaining a healthy weight also significantly reduces the cumulative force placed on your heels with every step you take.

💡 Note: Always consult with a healthcare provider before starting a new exercise regimen to ensure the movements are safe for your specific diagnosis.

When to Consider Professional Intervention

If conservative treatments like ice, rest, and orthotics do not provide relief after several months, it may be time to consult with a podiatrist or orthopedic specialist. They might suggest:

  • Cortisone injections: To provide temporary, localized relief from severe inflammation.
  • Extracorporeal Shockwave Therapy (ESWT): A non-invasive treatment that uses sound waves to stimulate healing in the heel tissue.
  • Surgical removal: Reserved only for the most severe cases where the spur interferes with mobility and does not respond to any other form of treatment.

Maintaining Long-Term Heel Health

Once you have managed the pain associated with bone spurs in heel, maintaining foot health is vital. Consistent habits can prevent the recurrence of inflammation. Always warm up properly before exercise, replace your athletic shoes every 300 to 500 miles, and listen to your body. If you feel the early signs of heel pain, address them immediately with rest and ice rather than trying to “push through” the pain, which often leads to the development of more permanent bony changes.

By focusing on proper footwear, consistent stretching, and mindful activity management, you can successfully navigate the challenges posed by this condition. Taking proactive steps today not only eases current discomfort but also builds a foundation for long-term mobility. Remember that healing is a gradual journey, and by staying consistent with your care routine, you can return to your active lifestyle with confidence and comfort.

Related Terms:

  • treatment for calcaneal bone spur
  • bone spur pain in heel
  • heel spurs medical term
  • treating bone spurs in heel
  • plantar calcaneal heel spur treatment
  • heel spur pain location