Cleve

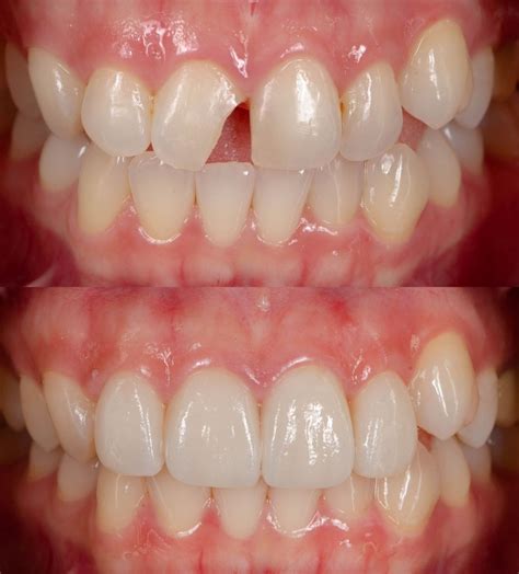
Dental Crown Procedure

Dental Crown Procedure

When a tooth is significantly damaged, decayed, or weakened, restoring its functionality and appearance becomes a top priority for your long-term oral health. A Dental Crown Procedure is one of the most common and effective restorative treatments in modern dentistry. Often referred to as a "cap," a dental crown is a custom-fitted covering that encases the entire visible portion of a damaged tooth. By providing structural support, protection, and aesthetic enhancement, this procedure allows patients to regain the ability to chew comfortably and smile with confidence.

Understanding Why You Might Need a Dental Crown

The necessity for a crown usually arises when a tooth cannot be adequately repaired with a standard filling. Because fillings replace only a portion of the tooth structure, they may not be sufficient if the integrity of the tooth is compromised. Dentists recommend this treatment for several reasons:

  • Restoring a fractured tooth: If a tooth is cracked or broken, a crown holds it together to prevent further damage.
  • Protecting a weak tooth: This is common after a root canal procedure, as the tooth becomes more brittle.
  • Supporting a large filling: When there is more filling than natural tooth remaining, a crown provides necessary reinforcement.
  • Improving aesthetics: Crowns can mask severely discolored, misshapen, or misaligned teeth.
  • Anchoring a dental bridge: They provide a stable foundation for the artificial teeth in a bridge.

The Different Types of Materials Available

Not all crowns are created equal. Depending on the location of the tooth, your bite force, and your aesthetic goals, your dentist will recommend the most suitable material for your Dental Crown Procedure.

Material Type Best For Key Advantage
Porcelain-Fused-to-Metal Back teeth High durability and strength
All-Ceramic or All-Porcelain Front teeth Superior aesthetic appearance
Gold Alloys Back molars Excellent longevity and minimal wear on opposing teeth
Zirconia All teeth Incredible strength combined with a natural look

What to Expect During the Dental Crown Procedure

Typically, getting a crown requires two visits to your dentist. Understanding the process can help alleviate any anxiety you might have about the treatment.

The Initial Visit: Assessment and Preparation

During the first session, the dentist will examine the tooth and take X-rays to assess the health of the roots and surrounding bone. Once the procedure begins, the area is numbed with local anesthesia. The dentist then shapes the tooth by filing down the outer surface to make room for the crown. After the tooth is prepared, an impression or a digital scan is taken to ensure the final crown fits perfectly. A temporary crown is placed to protect your tooth while your custom crown is being manufactured in a dental lab.

The Second Visit: Placement and Fitting

Once your permanent crown arrives, the dentist will remove the temporary one and place the new restoration. They will check the fit, shape, and color to ensure it matches your natural teeth perfectly. Adjustments are made as necessary before the crown is permanently cemented into place. Once finished, you can treat the crown just like your natural tooth.

💡 Note: Sensitivity to hot or cold temperatures is common immediately after the procedure. This typically subsides within a few days as your tooth adjusts to the new crown.

Caring for Your New Dental Crown

While a crown cannot develop cavities, the natural tooth structure underneath it is still susceptible to decay, and the gum tissue surrounding it can become inflamed. To ensure the longevity of your crown, consider these maintenance tips:

  • Maintain excellent oral hygiene: Brush at least twice a day and floss daily, paying special attention to the area where the crown meets the gum line.
  • Avoid chewing hard objects: Refrain from biting down on ice, hard candies, or using your teeth as tools to open packages.
  • Schedule regular check-ups: Frequent professional cleanings allow your dentist to monitor the health of the crown and the supporting gum tissue.
  • Wear a nightguard: If you grind or clench your teeth while you sleep, a protective guard can prevent excessive wear on the crown.

Benefits of Investing in Restorative Dentistry

Choosing to undergo a Dental Crown Procedure is an investment in your health. Unlike ignoring a damaged tooth—which could lead to infection, abscess, or eventual tooth loss—a crown preserves the remaining natural tooth structure. This proactive approach saves you time and money in the long run by preventing the need for complex extractions or dental implants. Furthermore, modern technology has made these procedures highly predictable and comfortable, with materials that look and feel virtually identical to your original smile.

Final Thoughts on Restorative Care

Restoring your smile and oral function is a vital step toward maintaining overall health. The Dental Crown Procedure remains one of the most reliable methods for reinforcing compromised teeth and achieving a beautiful, functional result. By working closely with your dentist to choose the right material and maintaining a consistent oral hygiene routine, you can enjoy the benefits of a strong, healthy smile for many years to come. Do not hesitate to discuss any concerns with your dental professional, as they are equipped to tailor the process to your specific needs and ensure a positive outcome.

Related Terms:

  • dental crown procedure video
  • dental crowns explained
  • dental crown procedure time
  • dental crown procedure code
  • dental crown procedure after care
  • dental crown procedure steps