Rp

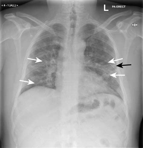
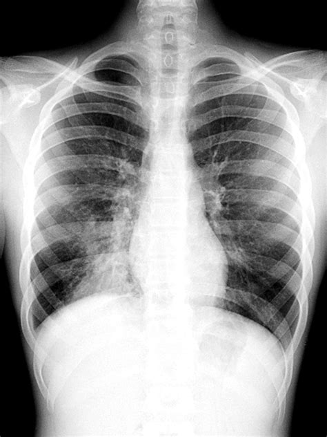
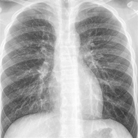
Xray In Pneumonia

Xray In Pneumonia

When a patient presents with symptoms such as persistent coughing, high fever, difficulty breathing, and chest pain, healthcare providers must act quickly to determine the cause. One of the most essential diagnostic tools in this process is the Xray in pneumonia assessment. While clinical examinations are crucial, diagnostic imaging provides the definitive evidence needed to confirm the presence of an infection within the lung tissue. Understanding how pneumonia appears on an X-ray is fundamental for patients and medical professionals alike to ensure timely treatment and better health outcomes.

Understanding Pneumonia and the Role of Imaging

Pneumonia is an infection that inflames the air sacs (alveoli) in one or both lungs. These air sacs may fill with fluid or pus, causing symptoms that range from mild to life-threatening. Because pneumonia can be caused by bacteria, viruses, or fungi, accurately identifying the condition is vital for determining the appropriate treatment plan. An Xray in pneumonia is typically the first-line imaging study ordered in emergency rooms and primary care settings.

The primary purpose of performing a chest X-ray when pneumonia is suspected includes:

  • Confirming the diagnosis of pneumonia.
  • Determining the extent and location of the infection (e.g., lobar vs. bronchial pneumonia).
  • Assessing for complications, such as pleural effusion (fluid around the lungs) or abscesses.
  • Ruling out other conditions that mimic pneumonia, such as heart failure or lung tumors.

How Pneumonia Appears on an X-ray

Healthy lungs appear mostly black on an X-ray because they are filled with air. When pneumonia is present, the areas of the lung affected by the infection appear as opaque, white, or cloudy patches. This phenomenon is known as consolidation. It occurs because the air in the alveoli has been displaced by fluid, inflammatory cells, or debris, which blocks the passage of X-rays.

Radiologists look for specific patterns of these opacities to better understand the nature of the infection:

  • Lobar Pneumonia: This appears as a distinct area of consolidation restricted to one lobe of the lung. It is often associated with bacterial infections.
  • Bronchopneumonia: This presents as patchy, diffuse opacities scattered throughout both lungs, rather than being confined to one area.
  • Interstitial Pneumonia: Often caused by viral infections, this shows up as fine, lace-like markings or reticular patterns rather than dense consolidation.

⚠️ Note: A chest X-ray can sometimes appear clear early in the disease process, especially in dehydrated patients or immunocompromised individuals. If clinical symptoms strongly suggest pneumonia despite a negative X-ray, doctors may order a CT scan for a more detailed view.

Comparison of Imaging Modalities

While an Xray in pneumonia is the standard, it is important to know how it compares to other imaging techniques. The following table outlines the differences in diagnostic utility:

Feature Chest X-ray (CXR) Computed Tomography (CT) Ultrasound
Availability High (widely available) Moderate Variable (operator-dependent)
Radiation Dose Low Higher None
Sensitivity Moderate High (Gold Standard) High for peripheral pneumonia
Primary Use Initial screening Complex or unresolved cases Bedside, pediatric care

Why X-rays are Essential for Treatment Follow-up

The role of the Xray in pneumonia does not always end after the initial diagnosis. Physicians often order follow-up imaging to ensure that the lung tissue is healing correctly. This is particularly important for older adults, smokers, or those with underlying chronic lung conditions, as their risk of complications is higher.

Typically, a follow-up X-ray might be recommended to ensure that the consolidation has resolved, especially if the patient does not show clinical improvement after completing a course of antibiotics. In some instances, it is necessary to rule out an underlying mass or malignancy that might have predisposed the patient to recurrent pneumonia. Generally, it can take several weeks for radiological signs of pneumonia to disappear, even after the patient feels better, so follow-up imaging is not always necessary for everyone.

Limitations of Using X-rays for Pneumonia

While invaluable, Xray in pneumonia has certain limitations that both clinicians and patients should understand. First, the interpretation of chest X-rays is subjective and can vary between radiologists. Second, as mentioned previously, there is a risk of false negatives, particularly in the early stages of infection. Furthermore, a simple X-ray cannot distinguish between different pathogens—it cannot definitively tell if the infection is caused by a specific bacteria, virus, or fungus, though certain patterns may suggest a specific etiology.

To overcome these limitations, doctors often combine X-ray findings with clinical data, including:

  • Physical examination findings, such as crackles or bronchial breath sounds upon auscultation.
  • Laboratory results, such as white blood cell counts and C-reactive protein (CRP) levels.
  • Sputum or blood cultures to identify the specific causative organism.

💡 Note: Always consult with a healthcare professional regarding the necessity of imaging. Do not assume that a "clear" chest X-ray means there is no infection, especially if you have persistent breathing difficulties or high fever.

In the final analysis, the diagnostic pathway for patients suffering from respiratory distress relies heavily on imaging technology. The chest X-ray remains the most efficient, cost-effective, and widely accessible method for identifying lung consolidation. While advanced imaging like CT scans provides superior detail, the simplicity and low radiation exposure associated with an X-ray make it the cornerstone of pneumonia management. By combining radiographic findings with clinical evaluation and laboratory testing, healthcare providers can accurately diagnose pneumonia, monitor the patient’s recovery, and identify any potential complications, ensuring that patients receive the right treatment at the right time.

Related Terms:

  • pneumonia lung x ray pictures
  • severe pneumonia chest x ray
  • x ray findings in pneumonia
  • pneumonia on x ray pictures
  • chest x rays for pneumonia
  • chest x ray pneumonia picture