Cleve

What Is A Dental Bridge

What Is A Dental Bridge

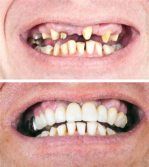
Missing teeth can impact more than just your confidence; they affect your ability to chew properly, speak clearly, and maintain the structural integrity of your facial features. If you are exploring restorative dental options, you may find yourself asking, what is a dental bridge? In essence, a dental bridge is a fixed dental restoration used to replace one or more missing teeth by joining an artificial tooth permanently to adjacent teeth or dental implants. By bridging the gap created by missing teeth, this treatment helps restore your smile, bite functionality, and oral health.

Understanding the Mechanics of a Dental Bridge

A dental bridge consists of two main components: the abutments and the pontics. Understanding these terms is crucial to understanding the procedure. The abutments are the healthy teeth or implants on either side of the gap that act as anchors, while the pontic is the false tooth that fills the space. The entire structure is custom-made to match the shade, shape, and size of your natural teeth, ensuring a seamless and functional result.

There are four main types of dental bridges used in modern dentistry, each suited for different clinical scenarios:

  • Traditional Dental Bridge: The most common type, consisting of a pontic held in place by dental crowns cemented to each of the adjacent abutment teeth.
  • Cantilever Bridge: Used when there is only one adjacent natural tooth available to support the bridge.
  • Maryland Bonded Bridge: Also known as a resin-bonded bridge, this type uses a porcelain or metal framework bonded to the back of the adjacent teeth rather than requiring full crowns.
  • Implant-Supported Bridge: Instead of being supported by natural teeth, this bridge is held in place by dental implants, offering superior stability.

Why You Might Need a Dental Bridge

Beyond the obvious aesthetic improvements, addressing missing teeth is vital for long-term oral health. When a tooth is lost, the surrounding teeth may begin to shift, tilt, or drift into the empty space. This shifting can cause a chain reaction, leading to misaligned bites, jaw pain, and increased susceptibility to gum disease and decay. By understanding what is a dental bridge and opting for treatment, you prevent these complications.

Here are the primary benefits of choosing a dental bridge:

  • Restores your smile: Bridges provide a natural-looking replacement for missing teeth.
  • Improves chewing and speaking: Replacing missing teeth restores your ability to eat a balanced diet and articulate sounds correctly.
  • Prevents tooth shifting: A bridge acts as a physical barrier that keeps your remaining teeth in their proper positions.
  • Maintains facial shape: By supporting the jaw and facial muscles, bridges prevent the sunken appearance that can occur with significant tooth loss.

The Dental Bridge Procedure

The process of getting a dental bridge typically involves at least two visits to your dentist. During the first visit, the dentist prepares the abutment teeth by removing a small amount of enamel to accommodate the crown. Then, they take a highly accurate digital scan or physical impression of your teeth, which is sent to a dental laboratory where your custom bridge is crafted.

While your permanent bridge is being made, the dentist will place a temporary bridge to protect your exposed teeth and gums. Once the permanent bridge is ready, you return for a second visit where the bridge is checked for fit, adjusted for comfort, and permanently cemented into place.

💡 Note: Proper oral hygiene, including brushing twice a day and daily flossing under the bridge, is essential to prevent decay in the supporting abutment teeth and ensure the longevity of your bridge.

Comparison of Tooth Replacement Options

While asking, "what is a dental bridge," many patients also compare bridges to other alternatives like partial dentures or dental implants. The following table highlights the differences:

Feature Dental Bridge Dental Implant Partial Denture
Permanence Fixed Fixed Removable
Impact on Adjacent Teeth Requires reduction None Requires clasps
Bone Stimulation No Yes No
Procedure Time Short Long (healing needed) Short

Caring for Your Dental Bridge

Even though dental bridges are made from durable materials like porcelain, zirconia, or metal alloys, they are not immune to wear and tear. To maximize the lifespan of your bridge, which can last for 10 to 15 years or longer with proper care, adhere to the following best practices:

  • Brush and floss daily: Pay extra attention to cleaning the area around and underneath the pontic.
  • Use specialized tools: Consider using floss threaders, interdental brushes, or a water flosser to remove plaque from hard-to-reach areas.
  • Schedule regular checkups: Professional cleanings allow your dentist to monitor the health of your abutment teeth and the integrity of the bridge.
  • Avoid bad habits: Do not use your bridge to open packages, chew on ice, or bite down on hard objects, as this can crack or dislodge the restoration.

💡 Note: If you notice any discomfort, looseness, or a change in your bite after the bridge is placed, contact your dental professional immediately to prevent damage to the underlying tooth structure.

Understanding what is a dental bridge and how it functions can empower you to make informed decisions about your oral health. Whether you are replacing a single tooth or addressing multiple gaps in your smile, a dental bridge provides a reliable, fixed solution that restores both function and aesthetics. By maintaining diligent oral hygiene habits and attending regular dental visits, you can ensure that your restoration remains a comfortable and integral part of your dental health for many years to come. If you believe you are a candidate for this treatment, consult with your dentist to discuss the best restorative path for your specific needs.

Related Terms:

  • examples of dental bridges
  • dental bridge explained
  • Dental Bridge Procedure
  • Dental Bridge or Implant
  • Partial Dental Bridge
  • Tooth Dental Bridge