Cleve

Reasons Gums Recede

Reasons Gums Recede

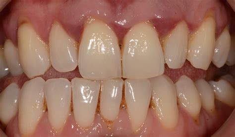
Have you ever looked in the mirror and noticed that your teeth appear longer than they used to, or perhaps experienced a sudden sensitivity to hot or cold foods? These are often the tell-tale signs of gum recession, a condition where the gum tissue surrounding the teeth pulls back, exposing more of the tooth or the tooth's root. Understanding the reasons gums recede is crucial because this process not only affects your smile's aesthetic appearance but can also lead to serious dental health issues if left unaddressed. Because the gums protect the sensitive roots of your teeth, recession can increase the risk of tooth decay, infection, and eventually, tooth loss.

Common Reasons Gums Recede

Gum recession is rarely the result of a single cause. Instead, it is usually a multifactorial issue driven by lifestyle habits, oral health routines, and underlying genetic factors. Recognizing these triggers early is the best way to prevent further damage.

  • Aggressive Toothbrushing: Many people believe that brushing harder results in cleaner teeth, but applying too much pressure can actually wear away the gum tissue and enamel.
  • Periodontal Disease: This is perhaps the most prevalent cause. Bacterial gum infections destroy the gum tissue and the supporting bone that holds your teeth in place.
  • Poor Oral Hygiene: Inadequate brushing and flossing allow plaque to accumulate and harden into tartar, which can only be removed by a professional and will inevitably irritate and recede the gums.
  • Genetics: Some individuals are simply born with thin or frail gum tissue, making them more susceptible to recession regardless of their oral hygiene habits.
  • Tobacco Use: Smoking or chewing tobacco causes sticky plaque to adhere to teeth and makes it difficult to keep gums healthy, often leading to rapid recession.
  • Hormonal Changes: Fluctuations in female hormones during puberty, pregnancy, or menopause can make gums more sensitive and vulnerable to recession.
  • Grinding and Clenching (Bruxism): The immense pressure exerted on the teeth during sleep can cause them to shift or damage the gum line, leading to recession.

The Impact of Periodontal Disease on Gum Health

Periodontal disease, commonly known as gum disease, is one of the primary reasons gums recede. It begins with gingivitis—the mildest form of gum disease—characterized by red, swollen, and bleeding gums. If left untreated, it progresses to periodontitis, where the inflammation becomes severe.

In this stage, the bacterial infection creates "pockets" between the teeth and the gums. These pockets become harbors for more bacteria, which further destroy the tissue and the bone holding the teeth. As the bone deteriorates, the gums naturally pull away from the tooth, making the teeth appear elongated and causing them to become loose over time.

Lifestyle Habits and Their Role in Recession

Beyond dental pathology, your daily routine plays a significant role in the health of your gum line. Many patients are surprised to learn that their "thorough" cleaning routine might actually be the culprit. Using a hard-bristled toothbrush or scrubbing horizontally with excessive force causes mechanical trauma to the delicate gingival tissues.

Furthermore, lifestyle choices like smoking impair blood flow to the gums, reducing their ability to heal and fight off infection. When you combine these habits with improper flossing techniques, you create the perfect storm for gum recession to accelerate.

Factor Effect on Gums Preventative Measure
Aggressive Brushing Physical abrasion of tissue Switch to a soft-bristled brush
Poor Hygiene Bacterial accumulation Floss daily and brush twice
Bruxism (Grinding) Excessive force on teeth Use a custom night guard
Tobacco Use Reduced healing/blood flow Consider smoking cessation

💡 Note: If you notice your gums receding, avoid attempting "home remedies" that suggest harsh ingredients like lemon juice or baking soda, as these can actually damage your enamel and irritate exposed roots further.

Recognizing the Symptoms Early

Early intervention is vital when dealing with receding gums. Because the process is often gradual, many people do not notice the change until it reaches an advanced stage. You should schedule a dental appointment if you observe any of the following:

  • Tooth Sensitivity: Sudden pain when consuming hot, cold, or sugary foods.
  • Visible Root Exposure: Seeing a different color at the base of your teeth near the gum line.
  • Loose Teeth: Feeling that a tooth is shifting or moving slightly when biting.
  • Persistent Bad Breath: A sign of trapped bacteria in deep gum pockets.
  • Red, Swollen, or Bleeding Gums: The classic signs of inflammation.

Treatment Options for Receding Gums

Once you and your dentist identify the reasons gums recede, you can discuss a treatment plan. If the recession is mild, your dentist might simply monitor the area and recommend improved hygiene techniques, such as switching to an electric toothbrush with a pressure sensor.

For more severe cases, professional intervention is necessary:

  • Scaling and Root Planing: A deep-cleaning procedure that removes plaque and tartar from below the gum line and smooths the root surfaces to help gums reattach.
  • Gum Grafting: In advanced cases where the root is exposed and at risk, a periodontist may take a small piece of tissue from elsewhere in the mouth and stitch it over the exposed root.
  • Pinhole Surgical Technique: A less invasive alternative to grafting, where the dentist makes a tiny hole in the gum tissue and uses specialized instruments to stretch and reposition the existing gum over the exposed area.

💡 Note: Professional dental cleanings are not just for removing stains; they are critical for removing subgingival tartar that you cannot reach with a toothbrush, which is often a hidden contributor to long-term recession.

Managing the health of your smile requires a proactive approach. By understanding the diverse reasons gums recede—ranging from the mechanical trauma of hard brushing to the inflammatory effects of periodontal disease—you are better equipped to protect your oral health. While some factors like genetics are beyond your control, maintaining consistent hygiene, using the right tools, and scheduling regular check-ups with your dentist can stop the progression of recession. Prioritizing these habits today ensures that your gums remain healthy and strong, keeping your teeth firmly in place for years to come.

Related Terms:

  • my gums are receding quickly
  • gums receding but not bleeding
  • how to fix receding gums
  • reasons for receding gums
  • are receding gums bad
  • what causes rapidly receding gums