Cleve

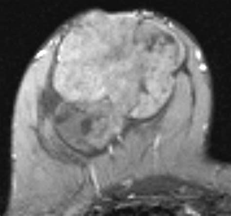
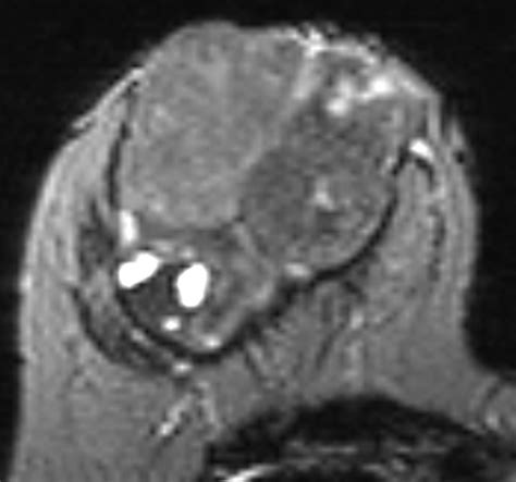
Phyllodes Tumor Breast

Phyllodes Tumor Breast

Discovering a lump in the breast can be a source of significant anxiety, leading many to search for answers about potential causes. While many breast lumps turn out to be benign, it is crucial to understand less common conditions, such as a Phyllodes tumor breast. These tumors are distinct from the more common fibroadenomas and require specific diagnostic pathways and treatment considerations. By understanding the nature of these growths, patients and their families can approach medical consultations with greater knowledge and clarity.

Understanding Phyllodes Tumor Breast

A Phyllodes tumor breast is a rare type of fibroepithelial tumor that originates in the connective tissue of the breast, known as the stroma. Unlike breast carcinomas, which arise from the milk ducts or lobules, these tumors grow within the supportive structural tissue. The term "phyllodes" comes from the Greek word for "leaf-like," which describes the specific pattern in which these tumors grow under a microscope.

These tumors are generally characterized by their rapid growth. While the vast majority are benign, some can be borderline or malignant. Because they can grow quite large and may recur if not completely removed, accurate diagnosis and appropriate surgical intervention are essential.

Also read: Symptoms Of Bacteria Eating Flesh

Key Characteristics and Differences

It is common to confuse a Phyllodes tumor breast with a fibroadenoma, as both are fibroepithelial tumors. However, they possess distinct biological behaviors. Phyllodes tumors tend to grow faster, can become much larger, and have a higher risk of recurrence.

The following table outlines the general classification and characteristics of these tumors based on their microscopic appearance:

Classification Characteristics Risk Profile
Benign Cells look similar to normal tissue; controlled growth. Low risk of spread; low recurrence.
Borderline Features somewhere between benign and malignant. Moderate risk of recurrence.
Malignant Cells grow rapidly and look very abnormal. Higher risk of recurrence and potential for spread.

Symptoms and Early Detection

The primary symptom of a Phyllodes tumor breast is usually a firm, palpable lump. These lumps are typically painless, though some individuals may experience discomfort if the tumor grows large enough to stretch the skin or compress surrounding tissue. Key features often noted by patients include:

  • A lump that feels firm and well-defined but may have lobulations (a bumpy surface).
  • Rapid increase in the size of the lump over a period of weeks or months.
  • Skin changes, such as stretching or redness, particularly if the tumor is very large.
  • Visible veins on the surface of the skin overlying the lump.

⚠️ Note: If you notice any rapidly growing breast lump, it is imperative to seek professional medical evaluation immediately, regardless of your age or personal history.

Diagnostic Procedures

To differentiate a Phyllodes tumor breast from other breast conditions, clinicians employ a multi-modal diagnostic approach. Since imaging alone cannot definitively distinguish a phyllodes tumor from a fibroadenoma, a biopsy is typically required.

  1. Clinical Breast Exam: A physical assessment to evaluate the size, texture, and mobility of the lump.
  2. Imaging (Mammography/Ultrasound): Provides detailed views of the tumor's size, shape, and borders.
  3. Core Needle Biopsy: A sample of the tumor tissue is removed using a hollow needle for microscopic analysis. This is the gold standard for diagnosis, although it can sometimes be difficult to distinguish between types on a small sample.

Treatment Pathways

The definitive treatment for a Phyllodes tumor breast is surgical excision. Because these tumors have a tendency to recur, surgeons aim for "wide margins." This means removing the tumor along with a rim of healthy, surrounding breast tissue to ensure that no tumor cells are left behind.

  • Lumpectomy (Wide Local Excision): The tumor is removed with a sufficient margin of normal tissue. This is the most common approach.
  • Mastectomy: In rare cases, particularly when the tumor is extremely large relative to the breast size or recurs multiple times, a mastectomy may be recommended.

Unlike many breast cancers, the lymph nodes are rarely involved in phyllodes tumors; therefore, axillary lymph node dissection or sentinel node biopsy is generally not required.

💡 Note: Regular follow-up appointments after surgery are crucial, as periodic imaging and clinical exams are necessary to monitor for any signs of local recurrence.

Outlook and Management

The prognosis for individuals diagnosed with a Phyllodes tumor breast is generally very good, especially for those with benign classifications. Even in cases where the tumor is malignant, early and complete surgical removal provides the best opportunity for a positive outcome. The key to management is long-term vigilance. Because recurrence typically occurs within the first few years following surgery, patients are usually placed on a surveillance schedule that includes clinical exams and imaging every six months to a year for the initial period.

Maintaining a proactive approach to breast health, including regular self-examinations and adherence to recommended screening schedules, allows for the early detection of any changes. While the diagnosis of a tumor can be overwhelming, understanding that these conditions are treatable and that specialists are equipped to manage them can help alleviate some of the stress. Always rely on board-certified medical professionals to guide your care plan and address any concerns you may have regarding your breast health.

Related Terms:

  • phyllodes tumour path outlines
  • phyllodes tumor breast pathology outlines
  • fibroadenoma vs phyllodes histology
  • benign phyllodes tumor pathology outlines
  • is phyllodes tumor cancer
  • phyllodes tumors in women