Cleve

Osteoarthritis In Feet

Osteoarthritis In Feet

Living with osteoarthritis in feet can fundamentally alter your daily routine, turning simple tasks like walking to the mailbox or standing in the kitchen into painful ordeals. As a degenerative joint disease, osteoarthritis occurs when the protective cartilage that cushions the ends of your bones wears down over time. When this happens in the small, intricate joints of your feet, it can lead to chronic pain, stiffness, and restricted mobility. Understanding the mechanisms behind this condition is the first crucial step toward effective management and maintaining an active, comfortable lifestyle.

Understanding Osteoarthritis in Feet

The human foot is a complex structure consisting of 26 bones and over 30 joints. Osteoarthritis in feet most commonly affects the big toe joint (metatarsophalangeal joint), the joint at the top of the foot (midfoot), and the joint that connects the ankle to the foot. Unlike inflammatory forms of arthritis like rheumatoid arthritis, osteoarthritis is primarily a “wear-and-tear” condition, though factors like genetics, previous injuries, and body weight significantly influence its development.

When the cartilage degrades, the bones begin to rub against each other, leading to friction, inflammation, and the formation of bone spurs. These bony growths can further exacerbate pain and cause deformities, such as bunions or a stiff big toe known as hallux rigidus. Recognizing the early warning signs—such as pain during activity, tenderness when touching the joint, or morning stiffness—is vital for preventing further structural damage.

Common Symptoms and Diagnostic Process

Identifying the symptoms early allows for more effective intervention. While symptoms can vary depending on which joint is affected, common indicators include:

  • Pain: Deep, aching pain that intensifies with activity and improves with rest.
  • Stiffness: Difficulty bending or moving the foot, especially after sitting for long periods.
  • Swelling: Visible inflammation or warmth around the affected joint.
  • Tenderness: Pain localized directly over the joint line.
  • Bone Spurs: Bony bumps that may appear on top of the midfoot or at the base of the big toe.

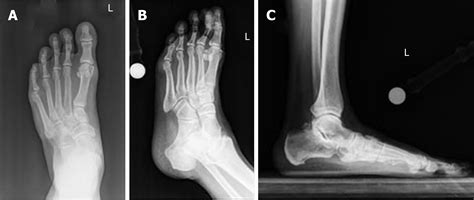
To diagnose osteoarthritis in feet, a medical professional will typically perform a physical examination, checking for range of motion, tenderness, and signs of deformity. Imaging tests are essential to confirm the diagnosis and assess the severity of cartilage loss.

Diagnostic Tool Purpose
X-Rays To view joint space narrowing and bone spurs.
MRI To evaluate soft tissues and early cartilage damage.
Physical Exam To test range of motion and identify inflammation.

⚠️ Note: Always consult with a podiatrist or orthopedic specialist to get an accurate diagnosis, as symptoms can sometimes mimic other foot conditions like gout or tendonitis.

Non-Surgical Management Strategies

While osteoarthritis is a chronic condition, many individuals manage their symptoms successfully without surgery. A multi-faceted approach focusing on lifestyle modification, orthotics, and pain management is usually recommended as the first line of treatment.

Footwear Modifications

Your choice of shoes is paramount. Shoes with stiff soles reduce the amount of movement required by the foot joints, thereby minimizing pain during walking. Look for footwear that offers:

  • Good arch support: To distribute weight evenly.
  • A wide toe box: To prevent pressure on bunions or deformed toes.
  • Rocker-bottom soles: These soles help the foot roll through a step without requiring the joints to bend significantly.

Orthotic Devices

Custom or high-quality over-the-counter shoe inserts (orthotics) can be game-changers. By providing additional cushioning and correcting structural imbalances, they take the pressure off affected joints and improve overall biomechanics.

Lifestyle and Activity Changes

Low-impact exercises are essential for maintaining joint lubrication and strengthening supporting muscles. Activities like swimming, cycling, or using an elliptical machine provide cardiovascular benefits without the jarring impact of running on hard surfaces. Additionally, maintaining a healthy weight is crucial, as excess body weight places significant additional stress on the joints of the feet with every step.

Medical and Interventional Approaches

When conservative measures are not enough, physicians may suggest medical interventions to reduce inflammation and pain. These can include:

  • Anti-inflammatory Medications: Non-steroidal anti-inflammatory drugs (NSAIDs) can help manage pain and reduce swelling during flare-ups.
  • Corticosteroid Injections: A direct injection into the joint can provide powerful, albeit temporary, relief for severe inflammation.
  • Physical Therapy: A tailored program can help improve range of motion, strengthen the muscles surrounding the foot, and teach better gait mechanics.

💡 Note: While medications provide relief, they should be used as directed to avoid potential gastrointestinal or cardiovascular side effects. Always discuss the duration of treatment with your doctor.

Surgical Considerations

If pain remains debilitating despite consistent non-surgical treatment, surgery may be considered. The goal is to restore function and relieve pain. The two primary surgical options are:

  1. Joint Fusion (Arthrodesis): This involves removing the damaged cartilage and fusing the two bones together. While it eliminates motion in that specific joint, it is highly effective at relieving chronic pain.
  2. Joint Replacement (Arthroplasty): In some cases, specifically in the big toe, the damaged joint is replaced with a synthetic implant to preserve motion.

The decision to pursue surgery is significant and should be made in consultation with an orthopedic surgeon, taking into account your pain level, activity goals, and the specific joints involved in your osteoarthritis in feet.

Managing the symptoms of this condition requires patience, consistency, and a proactive attitude toward your physical health. By integrating appropriate footwear, mechanical support, and exercise into your daily life, you can significantly mitigate the impact that joint degeneration has on your mobility. While the journey of dealing with chronic joint discomfort presents its challenges, staying informed and working closely with healthcare professionals ensures that you can continue to lead a full and active life. Remember that small, consistent adjustments in how you treat your feet often yield the most significant long-term improvements in comfort and function.

Related Terms:

  • osteoarthritis in feet pain relief
  • treatment for osteoarthritis in feet
  • arthritis in foot bones
  • pictures of osteoarthritis in feet
  • osteoarthritis in feet nhs
  • osteoarthritis in feet icd 10