Rp

Nasal Septal Haematoma

Nasal Septal Haematoma

A Nasal Septal Haematoma is a medical condition that requires immediate attention and prompt intervention. It occurs when blood collects within the space between the cartilaginous or bony septum—the wall separating the two nostrils—and the overlying mucous membrane, known as the perichondrium or periosteum. While often resulting from trauma to the nose, such as a sports injury, fall, or physical altercation, this condition must never be ignored. If left untreated, the accumulation of blood can block the blood supply to the septal cartilage, leading to its death and potential permanent structural deformity of the nose, commonly referred to as a "saddle nose" deformity.

Understanding Nasal Septal Haematoma

When an injury occurs to the nose, the blood vessels within the septum can rupture. Instead of the blood draining out, it becomes trapped between the septum's cartilage and the protective layer of tissue. Because the cartilage relies on this layer for nutrients, the pressure caused by the haematoma essentially starves the cartilage. Understanding the mechanics of a Nasal Septal Haematoma helps patients recognize why this is classified as an otolaryngological emergency.

The condition is most common following nasal trauma, but it can also occur after nasal surgery. It is particularly critical to monitor for these symptoms in children, as their nasal structures are still developing and are more susceptible to long-term damage.

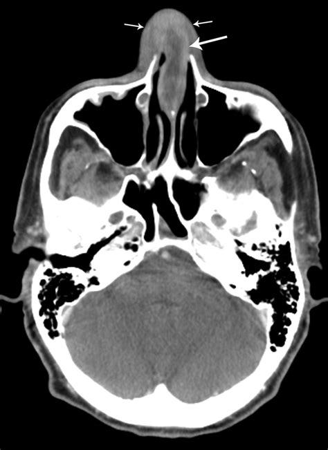
Common Symptoms and Clinical Presentation

Recognizing the signs early is vital for preventing complications. Symptoms often manifest shortly after an injury, though in some cases, they may develop over several hours or days. Key indicators include:

  • Significant nasal obstruction: Difficulty breathing through one or both nostrils, which often feels worse than expected given the initial injury.
  • Increased pain: Intense, throbbing pain in the nose that does not improve after the initial trauma.
  • Swelling: Visible bulging or "lumpy" appearance inside the nostrils.
  • Septal thickening: When looking into the nose, the septum appears much wider than normal.
  • Tenderness: Extreme sensitivity when the nose is touched.

⚠️ Note: If you have experienced a nasal injury and notice a sudden, severe blockage in your nose, seek emergency medical care immediately. Do not wait for the swelling to subside on your own.

Differential Diagnosis: What to Watch For

Healthcare professionals must differentiate between a simple nasal fracture and a haematoma. While both result from trauma, a haematoma poses a much higher risk of long-term structural failure. The table below outlines the differences in clinical presentation.

Feature Nasal Fracture Nasal Septal Haematoma
Primary Concern Bone alignment Cartilage health
Physical sign Visible deviation Soft, boggy swelling
Urgency Urgent Immediate/Emergent
Risk Cosmetic/Breathing issues Saddle nose deformity/Necrosis

The Diagnostic Process

Upon arriving at an emergency department or an ENT (Ear, Nose, and Throat) specialist's office, the physician will perform a thorough physical examination. This typically involves the use of a nasal speculum and a light source to inspect the interior of the nasal cavity. If a Nasal Septal Haematoma is suspected, the doctor may gently touch the swollen area with a probe. A haematoma will typically feel soft, boggy, and fluctuant, as opposed to a hardened fracture or simple edema.

Treatment Approaches and Surgical Intervention

The definitive treatment for a Nasal Septal Haematoma is surgical drainage. This is not a condition that resolves with rest or home remedies. The goal is to evacuate the blood, eliminate the pressure, and allow the perichondrium to reattach to the underlying cartilage.

The standard procedure includes:

  • Incision and Drainage: A surgeon makes a small incision in the mucous membrane to allow the accumulated blood to drain.
  • Suction/Evacuation: The physician removes all clots to ensure the cavity is clean.
  • Packing: The nasal cavity is packed with specialized medical gauze or a splint to compress the tissues back against the septum. This compression prevents the re-accumulation of blood.
  • Antibiotics: Because the risk of infection and subsequent abscess is high, a course of prophylactic antibiotics is usually prescribed.

Preventing Long-Term Complications

If the blood is not evacuated quickly, the cartilage loses its blood supply and undergoes necrosis (tissue death). Once the cartilage dies, it may collapse, causing the bridge of the nose to cave in. This result, the saddle nose deformity, is difficult to reconstruct and often requires complex rhinoplasty surgery later in life. By seeking rapid treatment, most patients make a full recovery without permanent cosmetic or functional consequences.

💡 Note: Always complete the full course of antibiotics prescribed by your doctor to prevent secondary infections like septal abscesses, which are significantly more dangerous than the haematoma itself.

Recovery and Post-Operative Care

Following the drainage procedure, the recovery phase is focused on maintaining the integrity of the septum. Patients are generally advised to:

  • Avoid strenuous physical activity or heavy lifting for at least one to two weeks.
  • Keep the head elevated when sleeping to reduce swelling.
  • Avoid blowing the nose, as this creates pressure that could displace the packing or cause new bleeding.
  • Return for a follow-up appointment to have the nasal packing removed and to ensure the septum is healing correctly.

Staying informed about the warning signs of a Nasal Septal Haematoma is the best way to safeguard your health after a facial injury. This condition moves quickly, and the difference between a minor injury and a permanent nasal deformity often comes down to the speed of medical intervention. Always prioritize professional evaluation whenever a nasal injury is accompanied by rapid obstruction or extreme tenderness. By catching the haematoma early and following the surgical and post-operative protocol, you significantly increase the chances of a smooth recovery and preserved nasal anatomy.

Related Terms:

  • septal hematoma treatment
  • nasal septal hematoma wikem
  • nasal septal hematoma causes
  • nasal septal hematoma icd 10
  • nasal septal hematoma management
  • nasal septal hematoma emergency medicine