Nasal Septal Hematoma
Rp

Nasal Septal Hematoma

1309 × 1800 px December 4, 2024 Peter Rp

Nasal Septal Hematoma is a high-quality image in the Rp collection, available at 1309 × 1800 pixels resolution — ideal for both digital and print use.

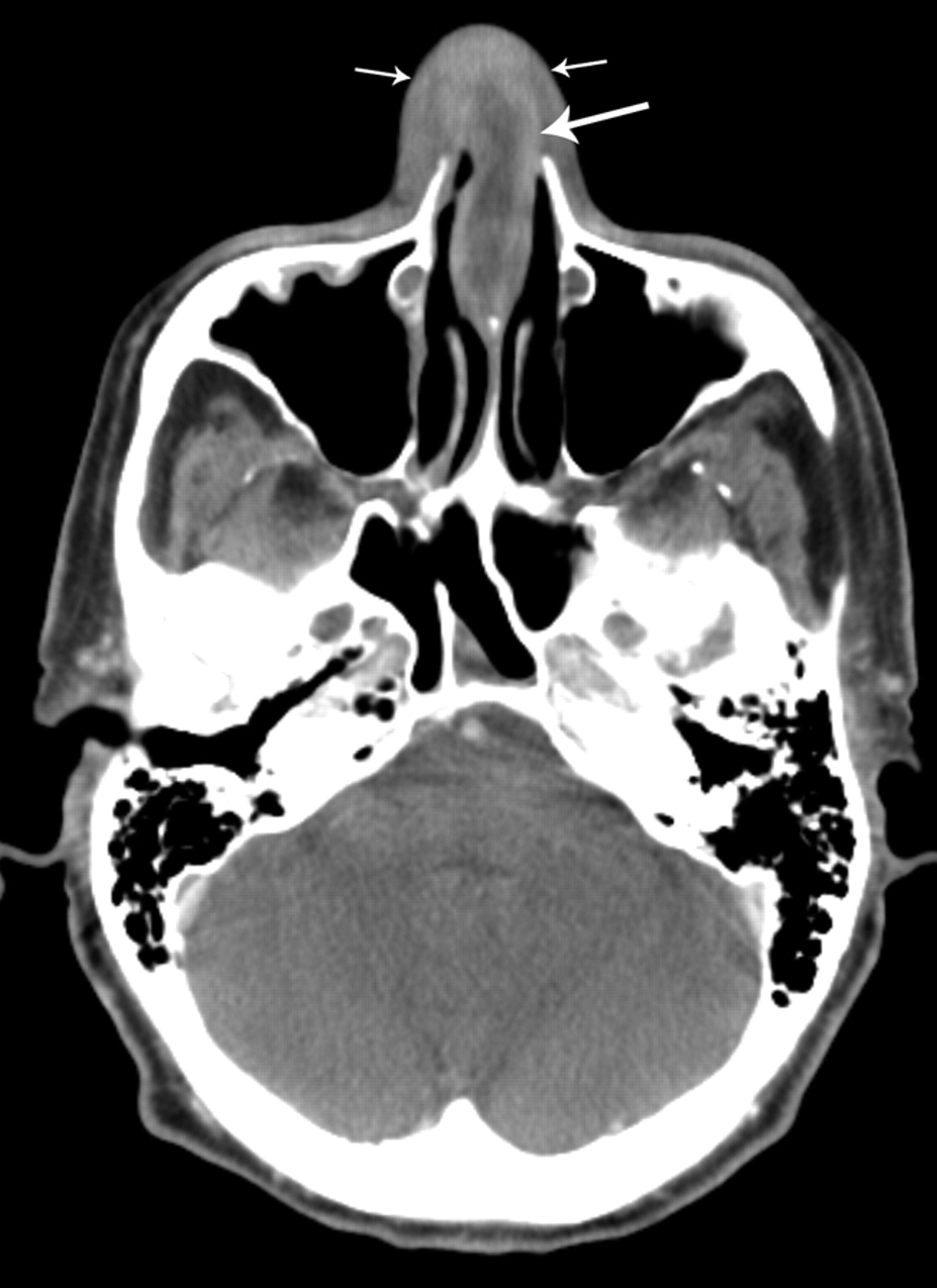
Understand the urgent risks of a nasal septal haematoma, a serious complication requiring prompt medical intervention. Learn to recognize symptoms like nasal obstruction and pressure following trauma, and discover why emergency surgical drainage is essential to prevent permanent cartilage damage and structural nasal deformity. Protect your health with this critical guide to timely diagnosis and effective treatment options.

Image Details

TitleNasal Septal Hematoma
Dimensions1309 × 1800 px
CategoryRp
PublishedDecember 4, 2024
AuthorZeus
Downloads54
Views1,923

Read full article: Nasal Septal Haematoma

// More Images