Rp

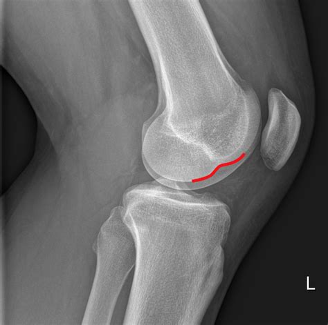
Lateral Condyles Of Femur

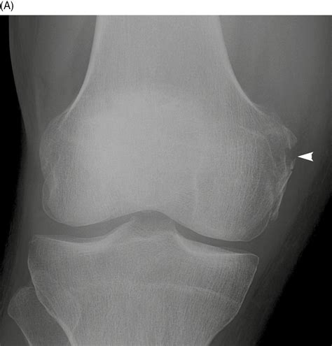
Lateral Condyles Of Femur

The human knee is a marvel of biological engineering, acting as a sophisticated hinge joint that facilitates mobility, stability, and weight-bearing. Central to this complex structure are the distal components of the femur, specifically the lateral condyles of femur. These two prominent, rounded bony projections are essential for the articulation with the tibia, playing a pivotal role in every step we take. Understanding the anatomical significance and clinical relevance of these structures is vital for healthcare professionals, athletes, and anyone interested in human biomechanics. In this guide, we will explore the anatomy, function, and common injuries associated with the lateral aspect of the distal femur to provide a comprehensive overview of its role in musculoskeletal health.

Anatomical Overview of the Lateral Condyle

The distal femur expands into two large, knuckle-like processes known as the medial and lateral condyles. The lateral condyles of femur are positioned on the outer side of the leg when standing in the anatomical position. These structures are distinct from the medial condyles in both shape and size; the lateral condyle is generally shorter and broader, but it is often more prominent anteriorly.

The surface of the condyles is covered with hyaline cartilage, which ensures smooth movement and reduces friction as the femur articulates with the tibial plateau. Between these two condyles lies the intercondylar fossa, a deep notch that serves as the attachment point for crucial ligaments—the anterior cruciate ligament (ACL) and the posterior cruciate ligament (PCL)—which provide stability to the knee joint.

Key Functions in Knee Biomechanics

The lateral condyles of femur are not just static bony landmarks; they are dynamic components that dictate how the knee moves. Their primary functions include:

  • Weight Distribution: They act as the primary contact points for transferring body weight from the femur to the tibia.
  • Joint Stability: Due to their specific geometry, they help guide the tracking of the patella and ensure the knee stays aligned during flexion and extension.
  • Ligament Support: They provide necessary anchors and tension points for collateral ligaments, such as the fibular collateral ligament (LCL), which prevents side-to-side instability.
  • Smooth Articulation: The rounded, curved shape allows for a natural "rolling and gliding" motion that occurs when the knee bends and straightens.

⚠️ Note: Abnormalities in the shape or alignment of the lateral condyle can lead to uneven pressure distribution across the knee joint, potentially accelerating the onset of osteoarthritis.

Comparison of Femoral Condyles

To better understand the specific role of the lateral condyle, it is helpful to compare it with its medial counterpart. The following table highlights the structural and functional differences:

Feature Lateral Condyle Medial Condyle
Size Broad, shorter, and more prominent Narrower, longer, and more robust
Curvature Highly convex, aiding in lateral stability Less convex, supporting the joint axis
Function Prevents lateral displacement Supports weight-bearing stability
Patellar Tracking Primary lateral stabilizer of the patella Secondary stabilizer

Clinical Significance and Common Injuries

Because the lateral condyles of femur bear significant stress, they are frequently involved in various orthopedic injuries. Recognizing the signs of distress in this area is crucial for early intervention.

Lateral Condylar Fractures

These fractures typically occur due to high-impact trauma, such as car accidents or falls from significant heights. Because the lateral condyle is a major weight-bearing surface, fractures here can lead to joint incongruity, meaning the surface of the bone is no longer perfectly smooth. This often requires surgical intervention with plates and screws to restore the joint surface.

Osteochondral Lesions

An osteochondral lesion involves damage to the cartilage and the underlying bone. These can occur due to repetitive micro-trauma, common in high-impact sports like basketball or soccer. Athletes often report sharp pain, locking of the knee, or a sensation that the knee is “giving way.”

Patellofemoral Pain Syndrome (PFPS)

While often associated with the kneecap, the lateral condyles of femur play a massive role in PFPS. If the patella does not track correctly within the femoral groove—often veering too far laterally—it grinds against the lateral condyle. This creates chronic pain and inflammation, especially when climbing stairs or squatting.

💡 Note: Early diagnosis through MRI or specialized X-ray views can differentiate between bone bruising and cartilage tears, significantly improving recovery outcomes.

Diagnostic and Treatment Approaches

Physicians use a combination of physical examinations and imaging to assess the health of the lateral condyle. Physical tests, such as the Lachman test or the McMurray test, help determine if the ligamentous attachments to the condyle are intact. When surgery is required, modern orthopedic techniques focus on minimally invasive procedures to minimize trauma to surrounding tissues.

Treatment paths often include:

  • Conservative Management: Physical therapy focusing on strengthening the quadriceps, specifically the VMO (vastus medialis obliquus), to correct patellar tracking.
  • Arthroscopy: Used to clear out loose fragments of cartilage or to repair minor tears in the surrounding structures.
  • Osteotomy: In cases of chronic misalignment or severe arthritis localized to one side, a surgical procedure to realign the leg axis may be recommended.

Long-term Joint Health and Prevention

Maintaining the integrity of the lateral condyles of femur requires proactive joint care. As we age, the cartilage covering these condyles naturally thins. To mitigate the risk of degradation, focus on low-impact exercise routines like swimming or cycling. These activities build muscle strength without placing excessive, grinding pressure on the condyles.

Nutrition also plays a subtle yet vital role. Ensuring adequate intake of Vitamin D, calcium, and collagen-supporting nutrients can help maintain bone density and cartilage health. Furthermore, proper footwear and avoiding uneven surfaces during high-intensity training can reduce the risk of acute injury, keeping your knee joints functioning optimally for years to come.

In summary, the lateral condyles of femur represent a fundamental aspect of human orthopedic health. These bony structures are essential for the smooth, stable, and pain-free movement of the knee joint. From their anatomical structure, which facilitates proper tracking and weight distribution, to their vulnerability in traumatic injuries, a deep understanding of these condyles is necessary for anyone managing knee health. By prioritizing strength, proper alignment, and early medical consultation when pain arises, individuals can significantly improve their chances of long-term mobility and comfort. Awareness of these components is the first step toward effective prevention and management of common knee-related conditions, ensuring that your knees remain strong and resilient throughout your active life.

Related Terms:

  • lateral condyle of femur function
  • head of femur
  • greater trochanter of femur
  • medial condyle of femur
  • medial epicondyle of femur
  • lateral condyle of femur mri