Cleve

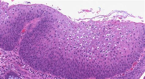
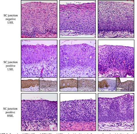
Low Grade Squamous Intraepithelial Lesion

Low Grade Squamous Intraepithelial Lesion

Receiving a diagnosis of a Low Grade Squamous Intraepithelial Lesion (LSIL) after a routine Pap smear can be an overwhelming and confusing experience for many women. It is a common finding that often triggers anxiety, yet understanding what this term actually means is the first step toward managing your health effectively. At its core, LSIL refers to mild changes on the surface of the cervix, typically caused by the Human Papillomavirus (HPV). While these changes are medically significant and require follow-up, it is crucial to recognize that they are not cancer and are highly treatable when monitored correctly by a healthcare professional.

Understanding the Meaning of LSIL

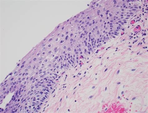
The term Low Grade Squamous Intraepithelial Lesion describes cells that look slightly abnormal under a microscope. These squamous cells line the outer surface of the cervix. When these cells are infected by certain strains of HPV, they may begin to change their shape or size. The “low-grade” designation indicates that the changes are mild and that the cells are not yet showing signs of becoming cancerous. In most cases, the body’s immune system is capable of clearing the HPV infection on its own, allowing the cervix to return to a normal, healthy state without the need for invasive medical procedures.

How LSIL is Detected

Medical professionals typically identify LSIL during routine cervical cancer screening procedures, such as a Pap test or a co-test that includes HPV testing. When a pathologist examines the cells collected during these tests, they look for specific cellular characteristics that indicate the presence of a lesion.

  • Pap Smear: A collection of cells from the cervix to check for abnormalities.
  • HPV Testing: A molecular test to identify the presence of high-risk HPV types that are linked to cervical cell changes.
  • Colposcopy: A follow-up procedure used to get a closer look at the cervix using a specialized magnifying instrument.

The Relationship Between HPV and LSIL

It is important to emphasize that Low Grade Squamous Intraepithelial Lesion is almost always linked to an HPV infection. Human Papillomavirus is an incredibly common virus, and most sexually active individuals will contract at least one type of HPV during their lifetime. While there are many types of HPV, some are considered “low-risk” and others “high-risk.” LSIL is generally associated with these infections, and in the majority of healthy individuals, the virus is transient. The body’s immune system usually suppresses or eliminates the virus within one to two years, which in turn allows the mild lesions to regress.

Category Description
Nature of LSIL Mild, non-cancerous cellular changes on the cervix.
Common Cause Persistence of Human Papillomavirus (HPV).
Typical Outcome Frequently resolves on its own through immune response.
Standard Action Observation, follow-up testing, or colposcopy.

What Happens After an LSIL Diagnosis?

Once a laboratory confirms an Low Grade Squamous Intraepithelial Lesion result, your gynecologist will determine the next steps based on your age, medical history, and previous test results. In some cases, especially for younger patients, the physician may simply recommend a repeat Pap smear in 6 to 12 months to see if the body has cleared the infection naturally. If the lesion persists or if the HPV test indicates a high-risk strain, your doctor may suggest a colposcopy. During a colposcopy, the doctor applies a vinegar-like solution to the cervix, which helps highlight abnormal areas, allowing them to take a small tissue sample, or biopsy, if necessary.

💡 Note: Do not ignore follow-up appointments. Consistent monitoring is the most effective way to ensure that mild changes do not progress into more serious conditions.

Managing Your Cervical Health

Living with a diagnosis of LSIL doesn’t mean you have to change your entire life, but it does serve as a reminder to prioritize your reproductive health. Maintaining a healthy lifestyle can support your immune system, which is your best defense against the HPV virus that causes these lesions. Key factors include:

  • Smoking Cessation: Smoking is known to suppress the immune system and has been linked to a higher risk of cervical cell changes progressing.
  • Balanced Nutrition: Eating a diet rich in fruits and vegetables can provide essential vitamins that support cellular health.
  • Regular Screenings: Adhering to the recommended schedule for Pap tests and HPV screenings is the best way to catch any potential issues early.
  • Barrier Methods: While condoms do not provide 100% protection against HPV, they can reduce the transmission of the virus.

Addressing Common Misconceptions

One of the biggest sources of stress regarding Low Grade Squamous Intraepithelial Lesion is the fear of cancer. It is imperative to understand that LSIL is a pre-cancerous indicator only in the sense that it identifies a condition that requires monitoring. It is not an active cancer diagnosis. The progression from a low-grade lesion to cervical cancer is a slow process that typically takes many years, often occurring only when a high-risk HPV infection persists and remains untreated. By participating in regular clinical follow-ups, you are taking proactive measures to prevent such progression entirely.

💡 Note: If you are experiencing symptoms like abnormal bleeding or pelvic pain, inform your healthcare provider immediately, as these are not typically caused by LSIL itself.

Moving Forward with Confidence

The journey from receiving an abnormal test result to achieving peace of mind involves clear communication with your medical team. Don’t hesitate to ask your doctor about your specific HPV strain, the likelihood of your body clearing the virus, and the rationale behind your specific follow-up plan. Understanding the nuances of your diagnosis empowers you to take control of your health rather than feeling like a passive recipient of medical test results. Remember that the medical community has well-established protocols for managing these lesions, and the vast majority of women who receive this diagnosis go on to have completely normal future screenings.

In summary, a diagnosis of Low Grade Squamous Intraepithelial Lesion is a common clinical finding that essentially acts as a “yellow light” in your cervical health journey. It indicates that your body is currently interacting with an HPV infection and that the cells on your cervix are reacting to it. Because these changes are generally mild and frequently resolve on their own, the recommended approach is usually one of patience and vigilance through regular follow-up screenings. By staying informed, maintaining a healthy immune system, and attending all scheduled appointments, you can manage this condition effectively and ensure that your long-term cervical health remains protected. Never hesitate to speak openly with your healthcare provider to alleviate any concerns you may have, as your peace of mind is an essential component of your overall well-being.

Related Terms:

  • high grade squamous intraepithelial lesion
  • cytology results epithelial cell abnormality
  • epithelial cell abnormality
  • Low-Grade Squamous Intraepithelial Lesion Lsil
  • High Grade Squamous Intraepithelial Lesion
  • Cervical Intraepithelial Neoplasia