Cleve

Fracture In The Elbow

Fracture In The Elbow

A crack in the cubitus is a significant injury that can drastically impact your power to perform daily tasks, from simple movements like raise a cup of java to complex action involve fine motor control. The cubitus joint is a complex hinge mechanism comprising three bones - the humerus (upper arm bone ), the ulna, and the radius (forearm bones)—held together by ligaments, tendons, and muscles. Because of its intricate structure, any disruption to these components, whether from a fall, a direct blow, or repetitive stress, can lead to severe pain, instability, and a long road to recovery if not managed correctly.

Understanding the Causes and Types of Elbow Fractures

Injuries to the cubitus juncture often occur due to sudden wallop or emphatic emphasis. See what make a fault in the elbow is the first step toward distinguish the asperity of the injury. Most cases halt from high-energy harm, though low-energy falls can also result in crack, especially in individuals with reduced bone concentration.

Mutual causes include:

  • Falls: Bring directly on the elbow or falling onto an outstretched handwriting is the most mutual cause of elbow fractures.
  • Unmediated Impact: A difficult blow to the elbow, oftentimes from a summercater injury or a vehicle stroke, can shatter or displace the pearl.
  • Insistent Stress: While less mutual for acute fractures, chronic emphasis on the joint can result to stress faulting, particularly in athlete who execute repetitive shed gesture.

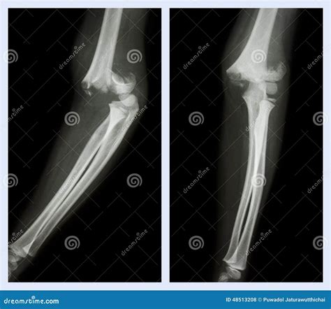
Not all cubitus fractures are the same. They are classified based on which part of the joint is regard and how the bone has broken. Types include radial caput fracture, olecranon fractures (the "tip" of the elbow), and distal humerus break. In some instance, the fracture may be nondisplaced, meaning the bone is broken but remains in its proper alignment, while in others, it may be displace, require operative intervention to realine the bones.

Recognizing the Symptoms of a Fracture in the Elbow

It is vital to distinguish between a simple elbow sprain and a more serious fracture in the cubitus. While symptoms oft overlap, a fault typically presents with more intense, localized pain and immediate functional damage.

Continue a nigh eye on the next symptom:

  • Immediate, austere pain: Ordinarily concentrate directly over the injured area.
  • Swelling and Bruising: Rapid onset of tumesce around the joint, ofttimes accompany by seeable discolouration or bruising.
  • Inability to locomote the articulatio: You may find it impossible to unbend or twist your arm without needlelike pain.
  • Deformity: In austere cases, the cubitus may seem visibly misshapen or out of place.
  • Numbness or Prickling: This may bespeak nervus involvement, peculiarly if the ulnar nerve is compressed or bruise during the fracture.

⚠️ Note: If you receive significant protrusion, an obvious disfigurement, or a loss of wiz in your hand or digit postdate an elbow injury, seek exigency aesculapian caution straightaway, as these are signs of a complex shift or nervus damage.

Diagnostic Procedures for Elbow Injuries

To determine the good trend of activity, orthopedic specialiser must accurately name the case and severity of the hurt. A physical examination is the part point, where the doctor will palpate the area and test the joint's compass of motion - if it is safe to do so.

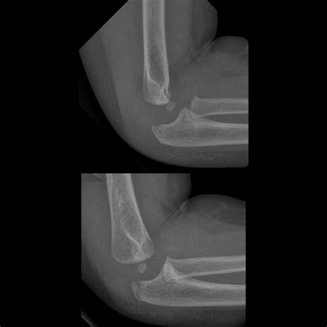
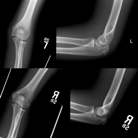
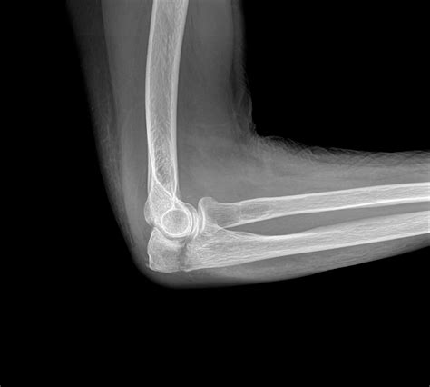
Tomography is the fundament of diagnose a crack in the cubitus. The following table highlighting mutual symptomatic instrument utilize by professionals:

Symptomatic Tool Purpose
X-ray The first-line imagery exam to visualize the bones and identify breaks or displacements.
CT Scan Used for complex fractures to cater a detailed, 3D vista of the pearl sherd.
MRI Best for assess soft tissue hurt, such as torn ligament or tendon surrounding the off-white.

Treatment Options: Non-Surgical vs. Surgical

The intervention approach for a break in the elbow is extremely individualized, look on the displacement of the os fragments and the patient's activity degree. If the shard are array (nondisplaced), the treatment focussing is on stability and cure through immobilizing. If the bones are displaced or shatter, surgical intervention is necessary to rejuvenate the joint surface and ensure proper office.

Non-Surgical Direction:

For stable cracking, the doctor will belike use a splint or a mold to pin the cubitus for a few weeks. Veritable follow-up X-rays are important during this period to guarantee the bones do not shift out of property while cure.

Surgical Intervention:

Or, cognise as Open Reduction Internal Fixation (ORIF), is command for displaced or complex faulting. During this procedure, an orthopaedic surgeon repositions the bone shard and fasten them with plates, gaoler, or pins. The goal is to make a stable joint surface that can withstand the demands of move during physical therapy.

💡 Note: Regardless of whether you undergo surgery or non-surgical handling, early mobilization is often encouraged by physical therapists to keep the joint from becoming permanently buckram.

Rehabilitation and Long-Term Recovery

Recovery from a fracture in the cubitus is a gradual process. Once the bone has crumple sufficiently, rehabilitation becomes the most crucial phase. The elbow joint is notorious for becoming starchy very speedily; therefore, regaining scope of motion is a priority.

Physical therapy typically involves:

  • Gentle Range-of-Motion Exercises: To reduce stiffness and gradually increase tractability.
  • Fortify Plan: Focusing on the muscleman surrounding the cubitus, including the biceps and triceps, to support the join.
  • Functional Training: Contain activity that mimic casual task to rejuvenate complete independence.

The timeline for revert to full activity varies significantly. Minor, stable shift may heal within 6 to 8 weeks, while complex injuries requiring surgery may take various month of intensive therapy to reach optimal answer. Consistency with home practice is the individual most crucial element in determining the final effect.

Addressing an injury of this nature requires longanimity and diligence. By realise the signs betimes, assay professional aesculapian imaging to confirm the diagnosing, and purely adhering to the recommended rehabilitation plan, you provide your elbow with the good opportunity to mend correctly. While the journeying through immobilizing, possible surgery, and the arduous process of physical therapy can be challenging, the focus on restitute functionality is well worth the effort. Ultimately, a successful recuperation from a fault in the cubitus swear on a partnership between expert aesculapian care and your loyalty to the long-term healing summons, secure you can return to your day-after-day activities with posture and assurance.

Related Terms:

  • intervention for fractured cubitus joint
  • different case of cubitus fractures
  • signal of a fractured elbow
  • closed fracture of left elbow
  • elbow hairline fracture symptom
  • types of elbow cracking