Rp

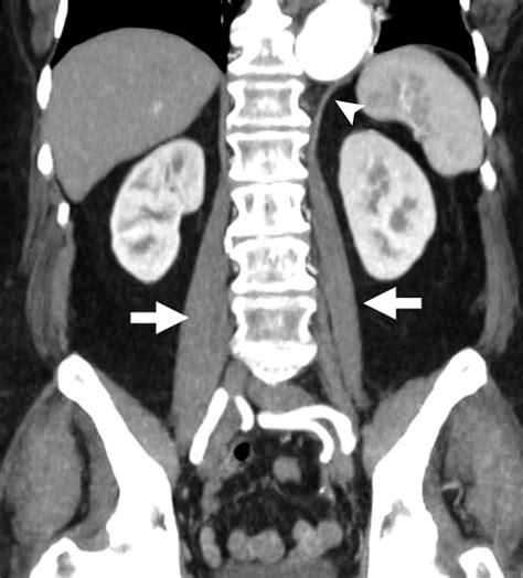
Diaphragm Right Crus

Diaphragm Right Crus

The human diaphragm is a complex, dome-shaped muscle essential for respiration and core stability, yet many of its intricate anatomical structures remain unfamiliar to the general public. Among these, the diaphragm right crus (plural: crura) stands out as a critical component of the musculotendinous junction that connects the diaphragm to the lumbar spine. Understanding the right crus is vital not only for anatomy students and medical professionals but also for individuals interested in functional movement, breathing patterns, and the management of chronic conditions such as acid reflux. As we delve into the anatomy, function, and clinical significance of this structure, you will gain a deeper appreciation for how this specialized muscular anchor supports everything from digestion to spinal health.

Anatomy of the Diaphragm Right Crus

To understand the diaphragm, one must visualize it as a partition separating the thoracic cavity from the abdominal cavity. The posterior portion of this muscle is anchored to the vertebral column by two strong, fibrous bands known as the right and left crura. The diaphragm right crus is significantly larger, longer, and more robust than its left counterpart.

The right crus originates from the bodies and intervertebral discs of the upper three lumbar vertebrae (L1, L2, and L3). From this attachment, the muscle fibers ascend upward to join the central tendon of the diaphragm. Because of its unique structural arrangement, the right crus plays a crucial role in creating the various "hiatuses" or openings through which essential structures pass between the thorax and abdomen.

Key anatomical characteristics include:

  • Vertebral Attachment: It reaches lower down the lumbar spine than the left crus, providing greater structural support.
  • Esophageal Hiatus: The fibers of the right crus loop around the esophagus, acting as a functional sphincter.
  • Fiber Direction: Its fibers are oriented to assist in the vertical contraction of the diaphragm during inhalation.

The Role of the Right Crus in Respiratory Function

During quiet breathing, the diaphragm acts as the primary muscle of inspiration. As it contracts, it flattens, increasing the volume of the thoracic cavity and creating negative pressure that draws air into the lungs. The diaphragm right crus provides a stable foundation for this movement. By firmly anchoring the diaphragm to the lumbar spine, it ensures that the contraction force is directed efficiently to expand the chest cavity rather than pulling the spine unnecessarily.

When the body requires deeper or more rapid breathing, the crura engage more forcefully. This engagement helps stabilize the spine, allowing for a more powerful contraction of the diaphragm. In essence, the right crus acts as a bridge between the respiratory system and the core skeletal system, highlighting the synergy between breathing and postural control.

Clinical Significance and Potential Complications

Because of its anatomical position, the diaphragm right crus is involved in several clinical scenarios. The most prominent is its role in gastroesophageal reflux disease (GERD). Because the right crus forms the boundary of the esophageal hiatus, any weakness, thinning, or dysfunction of these muscle fibers can lead to the formation of a hiatal hernia.

Furthermore, because the right crus is tightly associated with the lumbar spine, chronic tension or hypertonicity in this area can contribute to lower back pain. Many individuals who suffer from chronic stress or suboptimal breathing patterns experience localized tightness where the crus attaches to the lumbar vertebrae. This tension can restrict mobility and affect the overall efficiency of the core.

The following table outlines the relationship between the crural structures and their adjacent anatomical passages:

Structure Anatomical Location Function
Right Crus L1–L3 Vertebrae Anchoring the diaphragm and forming the esophageal hiatus.
Left Crus L1–L2 Vertebrae Supports the posterior aspect of the diaphragm.
Aortic Hiatus Between the crura Allows passage of the aorta, thoracic duct, and azygos vein.
Esophageal Hiatus Within the right crus Allows passage of the esophagus and vagus nerves.

⚠️ Note: If you are experiencing chronic chest pain, severe acid reflux, or persistent lower back pain, it is essential to consult with a healthcare professional. These symptoms can be related to the diaphragm, but they also mimic other serious cardiovascular or gastrointestinal conditions that require medical screening.

Diagnostic Imaging and Assessment

Physicians often use diagnostic imaging to evaluate the integrity of the diaphragm right crus, particularly in cases of suspected diaphragmatic hernia or thoracic trauma. MRI (Magnetic Resonance Imaging) and high-resolution CT scans are the gold standards for visualizing these deep muscular attachments. These scans allow clinicians to observe the thickness and symmetry of the crura, which can be indicators of overall diaphragmatic health.

During an assessment, a clinician might observe:

  • Muscle Atrophy: Thinning of the crus fibers can weaken the esophageal sphincter.
  • Hypertrophy: Sometimes the crus thickens due to chronic strain or high intra-abdominal pressure.
  • Structural Deviations: Variations in the size of the hiatal opening can predispose an individual to sliding hiatal hernias.

Improving Diaphragmatic Health

Maintaining the health of the diaphragm right crus starts with functional breathing and core alignment. Exercises that encourage "belly breathing" or diaphragmatic breathing can help maintain the flexibility and strength of these muscles. By moving the diaphragm through its full range of motion, you encourage blood flow and healthy tissue elasticity in the area surrounding the lumbar spine.

In addition to breathing techniques, physical therapy focusing on spinal mobility can prevent the stiffening of the thoracic and lumbar spine that might otherwise negatively impact the crural attachments. Soft tissue mobilization, performed by qualified professionals, may also help alleviate localized tension in the posterior abdominal wall where the crura are located.

ℹ️ Note: Always focus on a slow, rhythmic breathing tempo. Rapid or forced hyperventilation exercises should be avoided unless specifically guided by a certified breathing instructor or therapist, as they can cause dizziness and unnecessary strain on the diaphragm.

Final Thoughts

The diaphragm right crus is a fascinating anatomical structure that serves as a vital link between the respiratory system and the vertebral column. By anchoring the diaphragm, it facilitates efficient breathing, provides core stability, and manages the transition of vital structures like the esophagus and aorta between the chest and abdomen. Recognizing the role of the crura allows for a better understanding of how breath-work, posture, and digestive health are deeply interconnected. Whether you are a student of human anatomy or simply interested in optimizing your physiological performance, acknowledging the work of these deep-seated muscle fibers provides a valuable perspective on the complexity of the human body. Prioritizing healthy movement and mindful breathing practices remains the best way to support this hidden, yet essential, muscular anchor.

Related Terms:

  • crus of diaphragm anatomy
  • left diaphragmatic crus
  • chest x ray diaphragm diagram
  • structures passing through diaphragm
  • diagram of a diaphragm
  • left crus of the diaphragm