Cleve

Can Periodontal Disease Be Reversed

Can Periodontal Disease Be Reversed

The health of your gums is often overlooked until a problem arises, but maintaining optimal oral hygiene is crucial for your overall well-being. Many people ask, can periodontal disease be reversed, especially when they first notice signs like bleeding gums or persistent bad breath. Understanding the progression of gum disease is the first step toward effective management and, in some cases, arresting the condition before it causes irreversible damage.

Understanding Periodontal Disease Stages

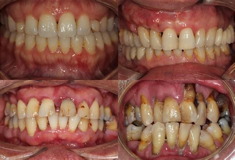
Periodontal disease, commonly known as gum disease, is a progressive inflammatory condition that affects the tissues supporting your teeth. It generally evolves through two main stages: gingivitis and periodontitis. To determine if the damage is reversible, you must identify which stage you are currently experiencing.

  • Gingivitis: This is the earliest, mildest form of gum disease. It is characterized by red, swollen, and easily bleeding gums. Because the damage is limited to the gum tissue and has not yet affected the underlying bone or supporting fibers, it is highly reversible with professional care and improved oral hygiene.
  • Periodontitis: If gingivitis is left untreated, it progresses into periodontitis. At this stage, the infection spreads below the gum line, causing the gums to pull away from the teeth and form "pockets" that become infected. The body's immune system fights the bacteria, eventually leading to the breakdown of the bone and connective tissue that hold teeth in place.

The short answer to whether it can be reversed is that while gingivitis can be fully reversed, periodontitis cannot be "cured" in the sense that the lost bone and tissue do not grow back on their own. However, with consistent professional treatment and rigorous daily maintenance, periodontitis can be successfully managed to stop further progression, effectively stabilizing the condition.

Feature Gingivitis Periodontitis
Tissue Impact Gums only Gums, bone, and fibers
Reversibility Yes, fully No, but manageable
Symptoms Bleeding, redness Loose teeth, recession, pockets

Professional Treatments to Manage Periodontal Disease

If you have moved beyond the gingivitis stage, you will need intervention from a dentist or a periodontist. These professionals utilize specific techniques to remove bacteria and plaque, allowing the remaining healthy tissue to heal.

Non-Surgical Interventions

For moderate cases, a procedure known as scaling and root planing—often called a deep cleaning—is the standard of care. This procedure removes tartar and bacteria from the tooth surfaces and beneath the gums. It also smooths the root surfaces to discourage further bacterial buildup and allows the gums to reattach more firmly to the teeth.

Surgical Options

In cases where periodontal disease is advanced, surgical intervention may be necessary to restore health to the mouth. This might include:

  • Pocket Reduction Surgery: The dentist lifts back the gums, removes the bacteria, and secures the gum tissue back into place to reduce the pocket depth.
  • Bone or Tissue Grafts: These procedures use donated or synthetic materials to help regenerate bone or gum tissue that has been lost to the disease.

⚠️ Note: Always consult with a dental professional for a personalized treatment plan. Self-treating advanced gum disease with over-the-counter products is rarely effective and can lead to tooth loss.

Daily Habits to Halt Progression

Regardless of whether you are trying to reverse gingivitis or control periodontitis, your daily habits at home are the foundation of treatment success. If these habits are not maintained, even the most expensive dental procedures will fail to stop the disease from returning.

Mastering Oral Hygiene

Improving your technique is more important than simply brushing more often. Using the correct tools and methods ensures that you remove the plaque that fuels bacterial growth.

  • Brushing Technique: Use a soft-bristled toothbrush and fluoride toothpaste. Brush at a 45-degree angle toward the gum line to gently dislodge bacteria.
  • Interdental Cleaning: Flossing is essential, but for those with periodontitis, an interdental brush or water flosser may be more effective at cleaning deep pockets.
  • Therapeutic Mouthwash: An antimicrobial mouthwash, as recommended by your dentist, can help reduce the bacterial load in your mouth between cleanings.

Lifestyle Changes that Impact Gum Health

Beyond cleaning, your lifestyle significantly influences your body's ability to fight off gum infections. Addressing these factors is essential for anyone asking "can periodontal disease be reversed" and looking for long-term solutions.

The Role of Smoking

Smoking is perhaps the biggest risk factor for periodontitis. It compromises your immune system, making it harder for your body to fight the infection, and it restricts blood flow to the gums, which inhibits the healing process. Quitting smoking is arguably the single best action you can take to stop the progression of gum disease.

Nutrition and Systemic Health

A diet high in processed sugars and carbohydrates feeds the bacteria that cause periodontal disease. Conversely, a diet rich in vitamins C and D, along with minerals like calcium, supports bone and gum health. Furthermore, managing systemic conditions—specifically diabetes—is critical, as uncontrolled blood sugar levels significantly exacerbate the severity of periodontal disease.

💡 Note: Stress reduction techniques, such as yoga or meditation, can also indirectly benefit gum health by helping to manage inflammation levels throughout the body.

Proactive Monitoring and Maintenance

Once you have addressed the acute infection, transitioning into a maintenance phase is vital. Periodontal disease is often chronic, meaning it requires long-term vigilance to prevent a relapse. You will likely need to move from a standard six-month cleaning schedule to periodontal maintenance cleanings every three to four months. These frequent cleanings allow your dental team to catch any signs of bacterial buildup early, long before they can cause further damage to your gums or bone.

Ultimately, the ability to reverse or effectively manage periodontal disease lies in the partnership between professional intervention and personal commitment. While gingivitis offers a window to completely restore your gum health to its original state, periodontitis requires a disciplined, lifelong approach to stabilization. By addressing the root causes of the inflammation—namely bacterial plaque and lifestyle factors—and adhering to a strict professional maintenance schedule, you can stop the progression of the disease and protect your teeth for years to come. Your focus should remain on consistent oral hygiene, regular dental visits, and making healthy lifestyle choices that bolster your body’s natural defenses, as these are the most reliable tools for preserving your smile.

Related Terms:

  • can periodontal pockets be reversed
  • can you reverse periodontal pockets
  • can you reverse periodontal infection
  • can gum disease be reversed
  • gum disease symptoms
  • can gingivitis be reversed