Cleve

Calciferous Tendonitis Shoulder

Calciferous Tendonitis Shoulder

Waking up with sharp, stabbing pain in your shoulder can be an incredibly disruptive experience, turning simple daily tasks like reaching for a cup or brushing your hair into agonizing challenges. One common, yet frequently misunderstood, culprit behind this intense discomfort is calciferous tendonitis shoulder (also known as calcific tendinitis). This condition occurs when calcium deposits form within the tendons of the rotator cuff, leading to significant inflammation and pain. While the name might sound intimidating, understanding the underlying mechanism, symptoms, and treatment options can empower you to take control of your recovery and find lasting relief.

What is Calciferous Tendonitis of the Shoulder?

To understand this condition, it is helpful to visualize the anatomy of your shoulder. The rotator cuff is a group of muscles and tendons that stabilize the shoulder joint. In calciferous tendonitis shoulder, calcium crystals (similar in composition to bone) inexplicably begin to accumulate within one of these tendons, most commonly the supraspinatus tendon. This process does not happen overnight; it is often a gradual progression where the body attempts to heal or repair a tendon, but instead, calcium deposits form within the tissue.

The condition generally progresses through several distinct phases:

  • Pre-calcific stage: The cells in the tendon undergo changes that predispose the tissue to calcium deposit formation. Patients typically experience no symptoms during this phase.
  • Calcific stage: This is when the calcium crystals actually form. The deposits can grow, causing mild to moderate discomfort as they take up space in the tendon.
  • Resorptive stage: This is the most painful phase. The body recognizes the calcium deposits as foreign objects and initiates an inflammatory response to break them down and resorb them. This inflammation causes intense pressure and severe pain.
  • Post-calcific stage: The calcium deposits have been successfully resorbed, and the tendon begins to remodel and heal itself. Pain gradually subsides.

Common Symptoms to Watch For

Recognizing the symptoms early is crucial for seeking appropriate medical attention. Because the pain can mimic other shoulder issues like rotator cuff tears or bursitis, a clinical diagnosis is essential. The hallmark signs of calciferous tendonitis shoulder include:

  • Intense, sharp pain: Often described as a "toothache" in the shoulder, this pain can be debilitating.
  • Pain with movement: Reaching overhead, lifting objects, or moving the arm away from the body typically worsens the pain.
  • Night pain: Many patients report significant discomfort while trying to sleep, particularly when lying on the affected side.
  • Stiffness and reduced range of motion: The inflammation and pain often lead to muscle guarding, which restricts how far you can move your arm.
  • Tenderness: The area directly over the tendon may be sensitive to the touch.

⚠️ Note: If you experience sudden, severe shoulder pain accompanied by chest pain, shortness of breath, or numbness in the arm, seek emergency medical care immediately, as these could be signs of a more serious condition like a heart attack.

Diagnostic Procedures

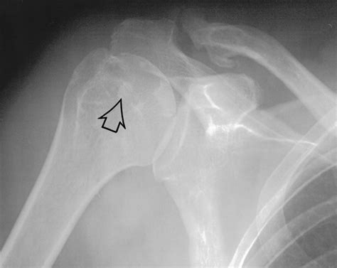
When you visit a healthcare professional, they will conduct a thorough physical examination to assess your range of motion and pinpoint the source of pain. However, because calcium deposits are visible on imaging, doctors almost always use diagnostic tools to confirm the presence of calciferous tendonitis shoulder:

Diagnostic Tool Purpose
X-Ray The primary imaging tool used to visualize the calcium deposits in the tendon.
Ultrasound Helps visualize the deposit in real-time and assess the surrounding inflammation.
MRI Usually not needed for diagnosis but may be used to rule out other structural issues like tears.

Treatment Options for Relief

The good news is that most cases of calciferous tendonitis shoulder can be managed without surgery. The treatment approach focuses on calming the inflammation during the resorptive phase and restoring function to the shoulder.

Conservative Management

For many, non-surgical approaches are highly effective:

  • Medication: Non-steroidal anti-inflammatory drugs (NSAIDs) are the first line of defense to manage pain and reduce inflammation.
  • Physical Therapy: A structured rehabilitation program is vital. Physical therapists use techniques to improve posture, strengthen the muscles around the rotator cuff, and improve overall shoulder mechanics.
  • Cortisone Injections: If pain is severe and unmanageable, a corticosteroid injection can provide rapid relief by powerfully reducing inflammation in the bursa surrounding the tendon.

Advanced Interventional Procedures

If conservative treatments fail, specialized procedures can help remove the calcium deposits:

  • Needle Lavage (Barbotage): Under ultrasound guidance, a doctor uses a needle to break up the calcium deposit and wash it out with saline solution. This procedure is highly effective at reducing the size of the deposit and providing significant pain relief.
  • Extracorporeal Shock Wave Therapy (ESWT): This treatment uses high-energy sound waves to stimulate the breakdown of calcium deposits and promote healing in the surrounding tissue.

💡 Note: While these procedures are effective, they are most successful when followed by a consistent physical therapy regimen to strengthen the rotator cuff and prevent future issues.

Surgical Intervention

Surgery is typically considered a last resort, reserved for cases where the calcium deposits are large, persistent, and do not respond to months of conservative treatment or interventional procedures. Surgeons typically use arthroscopic techniques—a minimally invasive method using small incisions and a camera—to locate and remove the calcification from the tendon. Recovery time varies depending on the size of the deposit and the extent of the tissue damage, but physical therapy remains a critical component of the post-operative rehabilitation process to restore full range of motion and strength.

Preventing Future Flare-Ups

While the exact cause of why some people develop calciferous tendonitis shoulder and others do not remains somewhat mysterious, taking care of your shoulder health is the best defense. Focus on maintaining good posture, especially if you work at a desk for long hours, as rounded shoulders can increase strain on the rotator cuff tendons. Incorporate regular, gentle stretching and strengthening exercises into your fitness routine to keep the shoulder muscles balanced. Listening to your body is also key; if you feel pain, don't push through it—allow time for rest and recovery to prevent minor inflammation from becoming a chronic, calcified issue.

Navigating the pain associated with calciferous tendonitis shoulder can be a daunting experience, but it is important to remember that this condition is well-understood and highly treatable. By recognizing the symptoms early and partnering with a healthcare provider to create a tailored treatment plan, you can successfully manage the pain and return to your daily activities. Whether your recovery involves simple lifestyle modifications, physical therapy, or advanced interventional procedures, patience and consistency are your greatest allies. Focusing on a gradual rehabilitation process and prioritizing long-term shoulder health will ensure that you not only overcome this hurdle but also build a stronger, more resilient shoulder for the future.

Related Terms:

  • why does calcific tendonitis occur
  • stages of calcific tendonitis
  • calcium in shoulder causing pain
  • calcium buildup in shoulder tendon
  • what does calcific tendonitis mean
  • calcific tendonitis shoulder cause