Mayo

Brain Neoplasm Mri

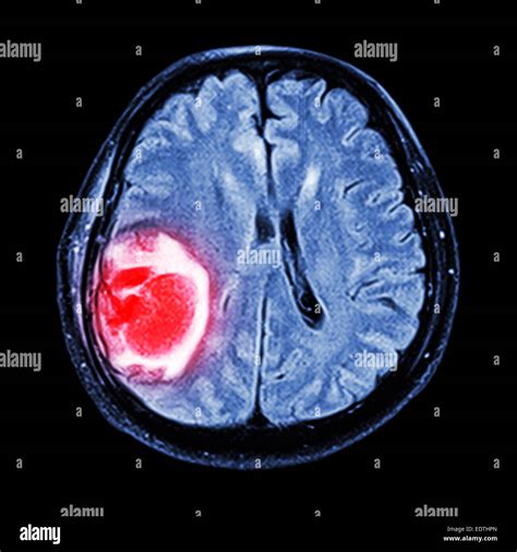
Brain Neoplasm Mri

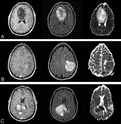
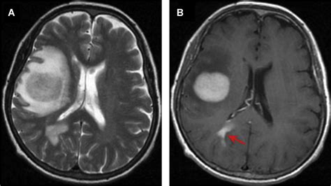
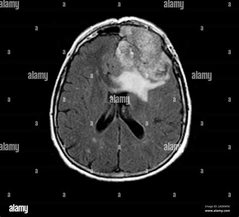
When a physician suspects an abnormality within the skull, a Brain Neoplasm MRI is the gold standard diagnostic tool used to visualize the intricate structures of the brain. Neoplasms, or abnormal tissue growths, can be benign or malignant, and magnetic resonance imaging (MRI) provides unparalleled detail to distinguish between these possibilities. By utilizing powerful magnets and radio waves rather than ionizing radiation, MRI technology produces high-resolution, cross-sectional images that allow radiologists and neurosurgeons to pinpoint the exact location, size, and characteristics of a potential tumor.

Understanding the Role of Brain Neoplasm MRI

The primary goal of a Brain Neoplasm MRI is to facilitate an accurate diagnosis and treatment plan. Because brain tumors can manifest with subtle symptoms—such as persistent headaches, seizures, changes in personality, or vision problems—imaging is essential for identifying the root cause. MRI is particularly effective because of its superior soft-tissue contrast, making it significantly more sensitive than CT scans for detecting tumors in early stages.

During the procedure, the scan captures detailed anatomical data. If a suspected neoplasm is found, the MRI helps answer critical questions for the medical team:

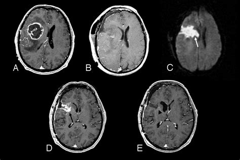
  • Location: Exactly where is the lesion situated relative to vital structures?
  • Extent: Is the tumor localized, or is it infiltrating surrounding tissues?
  • Vascularity: How does the tumor interact with the brain’s blood supply?
  • Edema: Is there significant swelling surrounding the mass?

Common MRI Sequences and Contrast Agents

A standard Brain Neoplasm MRI protocol involves several different "sequences" or scan types. Each sequence is designed to highlight different biological features of the tissue. For example, T1-weighted images are excellent for anatomical detail, while T2-weighted and FLAIR (Fluid-Attenuated Inversion Recovery) images are highly sensitive to identifying edema or inflammation around a mass.

To improve the diagnostic accuracy, doctors often use a gadolinium-based contrast agent. When injected intravenously, this contrast material accumulates in areas where the blood-brain barrier is compromised, which is typical in many types of neoplasms. This "enhancement" helps doctors clearly delineate the tumor from healthy brain tissue.

⚠️ Note: Patients with certain metal implants, such as some pacemakers or cochlear implants, must inform their radiologist, as the strong magnetic field can interfere with these devices.

Comparison of Imaging Modalities

While various imaging techniques exist, MRI remains the preferred choice for brain tumor evaluation. The table below outlines how it compares to other common methods.

Feature Brain Neoplasm MRI CT Scan PET Scan
Imaging Method Magnetic Fields X-ray Radiation Radiotracers
Soft Tissue Detail Excellent Moderate Low
Primary Use Detailed Brain Mapping Emergency/Bony Detail Metabolic Activity
Radiation None Yes Yes

What to Expect During the Procedure

Undergoing a Brain Neoplasm MRI is a non-invasive process, but it requires the patient to remain very still for 30 to 60 minutes. Because the machine is essentially a large, high-powered magnet, all metallic items—including jewelry, watches, and hairpins—must be removed before entering the exam room. In some cases, patients may receive earplugs to muffle the loud knocking sounds produced by the MRI machine during the imaging sequences.

If you experience anxiety in enclosed spaces, speak with your healthcare provider beforehand. They may offer mild sedation to ensure you remain comfortable and motionless, which is vital for achieving clear, artifact-free images.

💡 Note: Always provide a full medical history to the technician, specifically regarding any history of kidney disease, as this may affect the use of contrast agents.

Advanced MRI Techniques for Neoplasms

In addition to standard imaging, advanced functional MRI (fMRI) techniques are often employed for complex cases. These specialized sequences offer deeper insights into the tumor’s behavior:

  • Diffusion-Weighted Imaging (DWI): Measures the movement of water molecules to help distinguish between different types of tumors or identify abscesses.
  • Magnetic Resonance Spectroscopy (MRS): Analyzes the chemical composition of the tissue, helping to distinguish tumor tissue from radiation necrosis.
  • Perfusion Imaging: Maps the blood flow volume within the tumor, which can help indicate how aggressive a tumor might be.

These advanced tools provide the neurosurgeon with a "map" of the brain, identifying functional areas—such as speech or motor cortex—that need to be avoided during surgery. This level of precision is what makes the modern Brain Neoplasm MRI an indispensable tool in neuro-oncology.

Interpreting the Results

Once the scan is complete, a neuroradiologist—a doctor who specializes in interpreting images of the nervous system—analyzes the findings. They prepare a detailed report that describes the findings based on the signal intensity, size, location, and enhancement patterns of any abnormalities found. This report is then shared with your primary physician or neuro-oncologist, who will discuss the next steps, which might include surgery, radiation therapy, chemotherapy, or simply "watchful waiting" if the neoplasm is deemed slow-growing and asymptomatic.

The path forward after receiving an MRI report can feel overwhelming, but it is important to remember that these images are the first step toward a targeted and effective treatment strategy. With the aid of modern imaging technology, medical professionals are now better equipped than ever to create personalized care plans that prioritize both the eradication of the neoplasm and the preservation of healthy neurological function.

Effective management of brain-related health concerns relies heavily on accurate diagnostic data. A Brain Neoplasm MRI serves as the cornerstone of this process, offering a window into the brain’s complexities without the need for exploratory surgery. By leveraging high-resolution imagery and advanced scanning sequences, clinicians can determine the nature and behavior of a growth, allowing for timely and precise intervention. Whether monitoring a stable condition or investigating new symptoms, the information gained through this diagnostic process is vital for ensuring the best possible health outcomes. If your doctor has recommended this scan, rest assured that it is a safe and highly informative procedure designed to give your care team the evidence they need to support your recovery and well-being.

Related Terms:

  • brain tumour mri scan
  • brain tumor pictures mri
  • mri for brain tumors
  • mri image with tumor
  • neuroimaging brain tumors
  • brain tumor mri protocol