Cleve

Angiomyolipoma Of The Kidney

Angiomyolipoma Of The Kidney

Discovering that you have a growth on your kidney can be an unsettling experience, but understanding what it is and how it is managed is the first step toward peace of mind. An angiomyolipoma of the kidney, often abbreviated as AML, is the most common type of benign (non-cancerous) tumor found in the kidneys. These growths are unique because they are composed of a specific mixture of tissues: blood vessels (angio-), smooth muscle cells (-myo-), and fat cells (-lipoma). Because they are typically slow-growing and do not spread to other parts of the body, they are generally not considered dangerous, though their size and composition can sometimes necessitate medical intervention.

What Causes Angiomyolipoma of the Kidney?

The exact cause of these tumors often depends on whether they are occurring sporadically or in association with a genetic condition. While most cases occur randomly in individuals with no family history, about 20% of angiomyolipomas are linked to Tuberous Sclerosis Complex (TSC), a rare genetic disorder that causes benign tumors to grow in various organs, including the brain, heart, and kidneys. In cases related to TSC, the tumors are more likely to be bilateral (affecting both kidneys), multiple, and may grow faster or larger than sporadic cases.

Recent research indicates that mutations in specific genes—specifically the TSC1 or TSC2 genes—disrupt the signaling pathways that regulate cell growth, leading to the development of these characteristic vascular and fatty tissues. Understanding the underlying cause is a primary factor that doctors consider when developing a management plan for their patients.

Symptoms and Clinical Presentation

Many patients with an angiomyolipoma of the kidney never even know they have one. Because these tumors are often asymptomatic, they are frequently discovered incidentally during routine imaging, such as an ultrasound or CT scan performed for an unrelated medical issue. However, when symptoms do occur, they usually appear because the tumor has grown large enough to impact the surrounding kidney tissue or neighboring structures.

Common symptoms may include:

  • Persistent or dull flank pain or back pain.
  • A palpable mass in the abdomen.
  • Blood in the urine (hematuria).
  • High blood pressure (hypertension).
  • In severe cases, acute pain and internal bleeding (hemorrhage) if the tumor ruptures.

⚠️ Note: If you experience sudden, severe, sharp pain in your side or abdomen accompanied by dizziness or a rapid heart rate, seek emergency medical care immediately, as these may be signs of a ruptured tumor leading to bleeding.

How Are These Tumors Diagnosed?

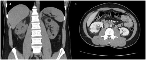
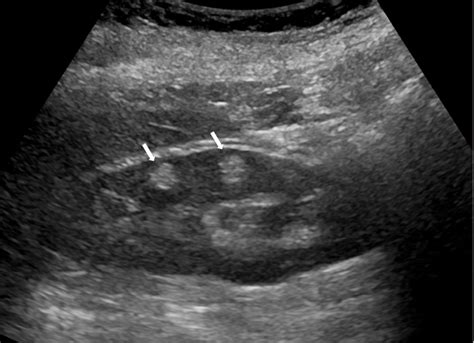
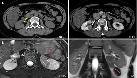
The diagnosis of an angiomyolipoma of the kidney relies heavily on medical imaging. Because these tumors contain macroscopic fat, they have a very distinct appearance on radiology scans. Radiologists use the following tools to identify them:

  • Computed Tomography (CT) Scan: The gold standard for diagnosis. The presence of fat density within a kidney lesion is a hallmark of an angiomyolipoma.
  • Magnetic Resonance Imaging (MRI): Useful for patients who cannot undergo CT scans or to further characterize the tumor composition.
  • Ultrasound: Often used as an initial screening tool; the tumors typically appear bright (hyperechoic) due to their high fat content.

The following table provides a breakdown of how healthcare providers typically risk-stratify these tumors based on size and symptoms.

Tumor Size Risk Level Recommended Management
Less than 4 cm Low Risk Active surveillance with periodic imaging.
4 cm to 7 cm Moderate Risk Close monitoring; potential treatment if symptoms arise.
Greater than 7 cm High Risk Proactive intervention or surgery to prevent bleeding.

Treatment Options for Angiomyolipoma

The management approach is highly individualized. If the tumor is small and asymptomatic, the most common advice is "active surveillance." This means the patient returns for routine follow-up ultrasounds or scans every 6 to 12 months to ensure the tumor is not growing rapidly. However, if the tumor is large, symptomatic, or at high risk of rupturing, doctors may suggest one of the following interventions:

  • Selective Arterial Embolization: A minimally invasive procedure where a radiologist blocks the blood vessels supplying the tumor, causing it to shrink.
  • Partial Nephrectomy: A surgical procedure where only the tumor is removed, preserving the remaining healthy kidney tissue.
  • Ablation Therapy: Using extreme heat or cold to destroy the tumor cells.
  • Targeted Drug Therapy: Medications such as mTOR inhibitors may be used to shrink the tumor, particularly in patients with Tuberous Sclerosis Complex who have multiple or inoperable tumors.

ℹ️ Note: Always consult with a urologist or a nephrologist to discuss the potential risks and benefits of surgery versus minimally invasive procedures based on your specific health profile.

Living with an Angiomyolipoma

Living with this condition requires a proactive approach to kidney health. Maintaining healthy blood pressure levels is crucial, as chronic hypertension can stress the kidneys and potentially exacerbate the risk of bleeding in larger tumors. Patients should avoid smoking, as it negatively impacts vascular health throughout the body. Furthermore, patients with a genetic predisposition like Tuberous Sclerosis should be followed by a multidisciplinary team to monitor other organ systems that may be affected by the condition.

Regular check-ups and open communication with your primary care provider or specialist remain the best strategy. Because these tumors are generally benign and slow-growing, the vast majority of people with an angiomyolipoma of the kidney go on to lead full, healthy, and active lives without the need for aggressive treatment. By staying informed, adhering to a consistent monitoring schedule, and keeping your healthcare team updated on any new symptoms, you can successfully manage the condition and ensure that your long-term kidney function remains protected.

Related Terms:

  • what causes angiomyolipoma in kidney
  • angiomyolipoma of kidney treatment
  • angiomyolipoma of kidney symptoms
  • is angiomyolipoma in kidney serious
  • can angiomyolipoma cause pain
  • kidney angiomyolipoma prognosis