Mayo

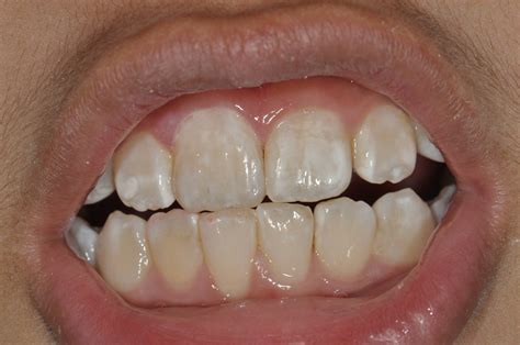
White Patches On Teeth

White Patches On Teeth

Discovering white patches on teeth when you look in the mirror can be unsettling. You might wonder if they are a sign of poor hygiene, a nutritional deficiency, or something more serious like the onset of decay. These spots, often referred to in dentistry as white spot lesions (WSLs), are one of the most common aesthetic concerns patients bring to their dentists. While they are frequently harmless and easily managed, understanding the underlying cause is crucial for choosing the right treatment and preventing further progression. Whether you have had them for years or they have appeared suddenly, gaining insight into why they occur is the first step toward restoring your confident, uniform smile.

What Causes White Patches on Teeth?

There is no single cause for the appearance of white patches on teeth. These spots occur due to a change in the mineral content or the structure of the tooth enamel, which is the hard, protective outer layer of your teeth. When the enamel loses minerals—a process called demineralization—it changes how light reflects off the surface, resulting in that distinct chalky white appearance.

Common culprits behind these patches include:

  • Dental Fluorosis: This occurs when a child consumes too much fluoride while their permanent teeth are still forming under the gums. It is generally a cosmetic issue that does not affect the functional health of the tooth.
  • Enamel Hypoplasia: This condition happens when the enamel does not form properly during development due to illness, nutritional deficiencies, or certain environmental factors.
  • Early Cavity Formation (Demineralization): Often seen around orthodontic brackets, these white spots are the very first stage of tooth decay where plaque bacteria have dissolved minerals from the enamel surface.
  • Poor Oral Hygiene: Plaque buildup, especially around braces, creates an acidic environment that leaches minerals from the enamel, leading to white spot lesions.
  • Dry Mouth (Xerostomia): Saliva is essential for remineralizing teeth. When you lack adequate saliva, your teeth are more susceptible to demineralization.

Common Indicators and Differences

Distinguishing between different types of white patches can help you understand whether you need professional intervention. The table below outlines common differences:

Type of White Patch Typical Cause Primary Characteristic
Fluorosis Excess fluoride consumption in childhood Often appears as faint, lacy white lines or spots.
Demineralization Plaque/Acid accumulation Chalky, matte-white appearance, often near gum lines or brackets.
Enamel Hypoplasia Developmental issues Depressions or grooves on the tooth surface in addition to white patches.

⚠️ Note: If you notice that the white patches on your teeth are accompanied by pain, sensitivity to hot or cold, or visible structural defects (like pitting or holes), you should schedule an appointment with your dentist promptly, as these may indicate advanced decay.

Treatment Options for White Patches

The approach to treating white patches on teeth depends entirely on the cause, the severity, and your personal cosmetic goals. Not all spots require invasive treatment; in fact, some early-stage lesions can be reversed or managed conservatively.

1. Remineralization Therapy

If the patches are caused by early demineralization, they may be reversible. Using specialized toothpastes or gels containing high concentrations of fluoride or calcium phosphate can help push minerals back into the enamel, strengthening it and potentially reducing the visibility of the spot.

2. Micro-abrasion

For more stubborn superficial spots, a dentist can use micro-abrasion. This involves removing a tiny, microscopically thin layer of enamel to even out the surface texture and color. It is a conservative, non-invasive way to improve aesthetics.

3. Teeth Whitening

While this sounds counterintuitive, professional teeth whitening can sometimes make white spots appear more obvious initially. However, once the surrounding tooth enamel lightens to match the spot, the contrast often decreases, making the patches less noticeable. It is essential to consult a professional before attempting this, as OTC whitening strips may lead to uneven results.

4. Dental Veneers or Bonding

For severe cases—such as significant enamel hypoplasia or extensive fluorosis—veneers or dental bonding are effective solutions. Veneers are thin, custom-made porcelain shells that cover the front of the tooth, completely masking discoloration, while bonding uses tooth-colored resin to cover the affected area.

Preventing Future White Spot Lesions

Prevention is always better than treatment. Maintaining a robust oral hygiene routine is the most effective way to protect your enamel and prevent the formation of new white patches on teeth.

  • Maintain Excellent Brushing and Flossing: Removing plaque is non-negotiable. Use a soft-bristled brush and fluoride toothpaste to strengthen enamel.
  • Mind Your Diet: Limit sugary and acidic foods. These create an environment that encourages plaque bacteria to produce acid, leading to mineral loss.
  • If You Have Braces: You must be extra vigilant. Use interdental brushes to clean around brackets and consider using fluoride rinses recommended by your orthodontist.
  • Stay Hydrated: Drinking plenty of water helps maintain saliva flow, which is nature’s way of neutralizing acids and remineralizing your teeth.
  • Regular Check-ups: Professional cleanings ensure that plaque and tartar are removed from hard-to-reach areas where white spots often begin.

💡 Note: While you might be tempted to use "natural" whitening hacks like baking soda or lemon juice, please avoid these. They are highly abrasive or acidic and can permanently damage your tooth enamel, ultimately making white spot issues much worse.

Addressing white patches on teeth starts with identifying the root cause, whether it stems from developmental history, dietary habits, or orthodontic challenges. While some of these spots are purely cosmetic and permanent, others are early indicators of mineral loss that can be halted or reversed with the right approach. By focusing on consistent oral hygiene, appropriate fluoride use, and professional dental advice, you can manage these spots effectively. Ultimately, the best course of action is to have a dentist evaluate your smile; they can distinguish between benign variations in enamel and early decay, ensuring that your treatment plan is both safe and effective for your long-term oral health.

Related Terms:

  • white spots on adult teeth
  • white spots on teeth
  • white spots on teeth meaning
  • white spots on tooth
  • white spot on tooth overnight
  • white spots on teeth overnight