Cleve

White Matter Disease

White Matter Disease

When medical professionals discuss the health of the human brain, they often categorize tissues into two main types: gray matter and white matter. While gray matter acts as the brain’s processing center, white matter serves as the essential communication network, acting like fiber-optic cables that connect different regions of the brain. When this communication infrastructure becomes damaged or compromised, it leads to a condition known as White Matter Disease. Also referred to as leukoaraiosis or small vessel disease, this condition can have a profound impact on cognitive function, mobility, and overall quality of life, making it a critical subject for both patients and healthcare providers to understand.

What Exactly Is White Matter Disease?

A conceptual image representing the brain's neural networks

At its core, White Matter Disease refers to a range of conditions that result from damage to the white matter of the brain. This white matter is composed of nerve fibers called axons, which are insulated by a fatty substance known as myelin. Myelin is crucial because it ensures that electrical signals travel quickly and efficiently between different parts of the brain and the spinal cord.

When this insulation is damaged, or when the underlying blood vessels that supply oxygen to these regions are compromised, the signals slow down or stop altogether. This can lead to a variety of neurological and cognitive symptoms, often mirroring signs of aging or dementia, which is why early detection and management are so vital.

Causes and Risk Factors

The development of White Matter Disease is rarely caused by a single factor. Instead, it is typically the result of chronic, long-term damage to the small blood vessels in the brain. This process is frequently linked to cardiovascular health issues that restrict blood flow, preventing necessary oxygen and nutrients from reaching the white matter tissues.

Common risk factors associated with this condition include:

  • High blood pressure (hypertension): This is the most significant and common risk factor, as it can damage the delicate walls of small blood vessels over time.
  • Advanced age: The risk increases significantly as individuals grow older, making it more common in elderly populations.
  • Diabetes: High blood sugar levels can damage blood vessels throughout the body, including those in the brain.
  • Smoking: Tobacco use restricts blood flow and damages vascular integrity.
  • High cholesterol: Plaque buildup can lead to narrowing of the arteries, further reducing brain oxygenation.
  • Genetic factors: Some rare forms of white matter disease are hereditary.

Common Symptoms to Watch For

Because the white matter serves as a bridge for many different brain functions, the symptoms of White Matter Disease can be broad and vary significantly from person to person. Often, symptoms develop slowly, leading many to dismiss them as normal aspects of aging initially.

Key symptoms include:

  • Cognitive impairment: Difficulties with memory, attention, executive function, and slowed thinking speed.
  • Balance and mobility issues: Patients may experience a shuffling gait, increased difficulty with balance, and a higher risk of falls.
  • Mood changes: Symptoms of depression, apathy, or increased irritability are commonly reported.
  • Urinary symptoms: Increased urgency or difficulty with bladder control.

💡 Note: These symptoms are not exclusive to White Matter Disease. They can be indicators of various other neurological conditions. If you or a loved one experience sudden changes in cognitive function or mobility, consult a healthcare professional immediately for an accurate diagnosis.

Diagnostic Procedures

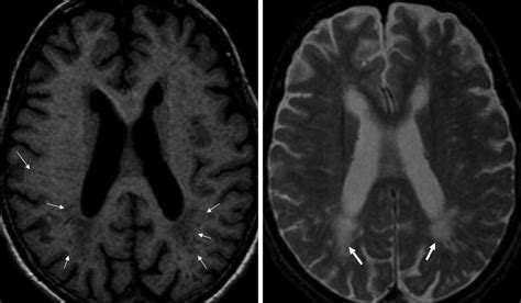
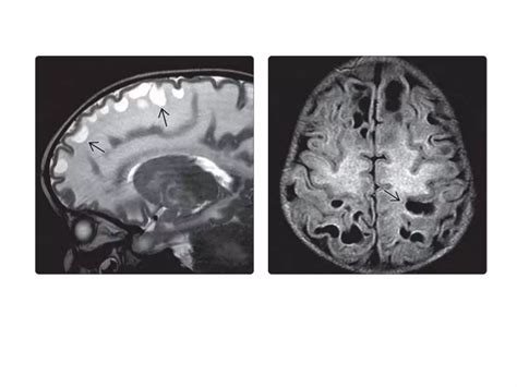
Diagnosing White Matter Disease typically relies on advanced imaging techniques rather than just clinical observation. Physicians look for specific patterns of damage that distinguish this condition from others like Alzheimer’s or stroke.

Diagnostic Tool Purpose
MRI (Magnetic Resonance Imaging) The gold standard for identifying white matter hyperintensities (bright spots on the scan indicating damage).
CT Scan Used to detect brain damage, although generally less detailed than MRI in identifying white matter changes.
Cognitive Testing Assesses memory, focus, and speed of processing to gauge the functional impact of the disease.
Blood Tests Used to screen for underlying risk factors like diabetes, high cholesterol, or hypertension.

Managing the Condition and Treatment Strategies

Currently, there is no direct cure to reverse the damage once it has occurred in the brain’s white matter. However, the progression of White Matter Disease can often be slowed or managed by aggressively controlling the underlying cardiovascular risk factors. The primary goal of treatment is to protect the remaining healthy tissue and prevent further decline.

Effective management strategies include:

  • Strict blood pressure control: Maintaining healthy blood pressure levels is the most effective way to prevent further vascular damage.
  • Lifestyle adjustments: Adopting a heart-healthy diet, maintaining a healthy weight, and engaging in regular physical exercise improve vascular health.
  • Smoking cessation: Eliminating smoking is critical to protecting vascular function.
  • Management of diabetes: Keeping blood sugar levels within target ranges is essential for preventing vessel damage.
  • Cognitive rehabilitation: Engaging in brain-stimulating activities can help maintain cognitive function for as long as possible.

💡 Note: Always consult with a neurologist or primary care physician before beginning new medications or making significant lifestyle changes, as they can tailor a plan based on your specific health history.

Final Thoughts

Understanding White Matter Disease is crucial for recognizing the importance of vascular health in preserving brain function. While the diagnosis can be daunting, it is important to remember that it is often a progressive condition that can be managed. By focusing on controlling hypertension, adopting a healthy lifestyle, and addressing metabolic risk factors, patients can significantly influence the trajectory of their health. With ongoing advancements in neuroimaging and a proactive approach to medical care, it is entirely possible to slow down the progression of this condition and prioritize long-term brain health.

Related Terms:

  • abnormal white matter in brain
  • problems with white matter disease
  • white matter disease causes
  • treatment for white matter disease
  • progression of white matter disease
  • white matter changes causing spasms