Cleve

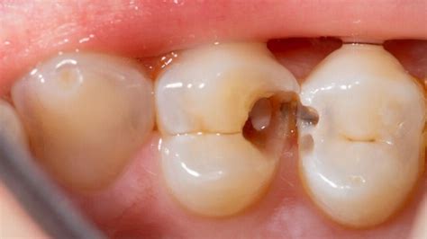
Tooth Decay At Gum Line

Tooth Decay At Gum Line

Finding a cavity right where your tooth meets your gums can be alarming. You might notice a dark spot, a feeling of sensitivity, or even a small hole in this vulnerable area. Dealing with tooth decay at gum line, also known as cervical decay, is a common dental issue, but it requires prompt attention to prevent more serious complications like tooth loss or infections. Because this area is closer to the tooth's root and pulp chamber than the biting surface, decay can progress quite rapidly if left untreated.

Understanding Tooth Decay at the Gum Line

The gum line is one of the most susceptible areas for decay because it is often where plaque accumulates most heavily. If your oral hygiene routine misses this area—even by a millimeter—plaque bacteria thrive, feeding on food particles and producing acids that erode the tooth enamel. Over time, this erosion leads to tooth decay at gum line, which can weaken the tooth's structure significantly.

Several factors contribute to this specific type of decay:

  • Poor Brushing Technique: Brushing too aggressively can wear down the enamel at the gum line (cervical abrasion), while brushing too softly or infrequently allows plaque to harden into tartar.
  • Receding Gums: As gums recede, they expose the root surface, which is covered by cementum rather than hard enamel. Cementum is much softer and decays much faster than enamel.
  • Dry Mouth (Xerostomia): Saliva is essential for neutralizing acids and remineralizing teeth. Without it, the mouth becomes an acidic environment where decay flourishes.
  • Dietary Habits: Frequent consumption of sugary, acidic, or sticky foods provides constant fuel for bacteria.

Signs and Symptoms to Watch For

Detecting tooth decay at gum line early is essential for minimally invasive treatment. Because the decay occurs near the base of the tooth, it may not be immediately visible when you smile in the mirror. Watch for these warning signs:

  • Increased Sensitivity: Sudden pain when drinking hot, cold, or sweet liquids.
  • Visible Discoloration: Small white, brown, or black spots forming along the edge of the gum.
  • Surface Changes: The tooth surface feels rough or indented when you run your tongue over it.
  • Gum Irritation: The gum tissue surrounding the affected tooth may appear red, swollen, or bleed easily due to the proximity of the infection.

⚠️ Note: Sensitivity is often the first indicator, but not everyone experiences pain immediately. Regular dental check-ups are necessary to catch decay before it causes noticeable discomfort.

Comparison of Treatment Methods

Depending on the depth and extent of the cavity, dentists utilize various approaches to restore the tooth. The following table outlines common treatments based on the severity of the decay:

Severity Description Common Treatment
Early/Mild Enamel is soft or demineralized but not yet broken through. Fluoride varnish, professional cleaning, improved hygiene.
Moderate Cavity has broken through the enamel, forming a hole. Resin-based composite filling (tooth-colored).
Advanced Decay has reached the root or pulp; tooth structure is compromised. Root canal therapy followed by a dental crown.

Preventing Further Decay at the Gum Line

Prevention is always better than cure, especially when it comes to the vulnerable gum line area. You can significantly reduce your risk by adopting a comprehensive approach to oral care. The goal is to minimize bacterial growth and keep the tooth enamel as strong as possible.

Improving Your Daily Hygiene Routine

The way you brush makes a massive difference. Many people ignore the angle of their toothbrush, missing the intersection where the gum meets the tooth. Switch to a soft-bristled brush, which is gentle on gum tissue and prevents further recession while still being effective at removing plaque.

  • Angle the brush at 45 degrees: Aim the bristles toward the gum line to sweep plaque away from the pocket.
  • Use Fluoride Toothpaste: Fluoride is vital for remineralizing weak spots in the enamel.
  • Don't skip flossing: Floss removes debris from between teeth that a toothbrush simply cannot reach, protecting the side surfaces near the gum line.

💡 Note: Electric toothbrushes are often superior for this specific area because they provide consistent, high-frequency vibrations that break up plaque more effectively than manual brushing.

Dietary Adjustments

What you eat directly impacts the pH balance of your mouth. High sugar intake fuels the bacteria that cause tooth decay at gum line. If you consume sweets or sodas, try to rinse your mouth with water immediately afterward to dilute the acid and wash away particles. Increasing your water intake also helps keep your mouth hydrated and stimulates saliva production, which acts as a natural cleanser for your teeth.

When to See a Dentist

If you suspect you have tooth decay at gum line, do not wait for the pain to become unbearable. Dental decay does not heal on its own. As the decay spreads, it can move into the root, leading to severe infection, abscesses, and ultimately, the potential need for an extraction. A dentist can identify these spots through clinical examination and X-rays, often catching them while they are still treatable with simple fillings.

In cases where gum recession is the primary cause of decay, your dentist might also suggest addressing the underlying gum health. This could include a deep cleaning (scaling and root planing) to remove tartar trapped beneath the gum line or, in severe cases, a referral to a periodontist to manage gum recession and prevent further root exposure.

Managing the health of your gum line is an essential part of maintaining a healthy, functional smile for a lifetime. By recognizing the early warning signs of decay, such as sensitivity or visible spots near the gums, you can take immediate action. Consistent dental hygiene, including proper brushing techniques at a 45-degree angle and the use of fluoride-based products, serves as your best defense. If you notice any changes in your oral health, scheduling a professional evaluation is the most effective way to address potential decay, prevent deeper structural damage, and ensure your teeth remain strong and vibrant. Your proactive efforts today will save you from complex and costly procedures in the future.

Related Terms:

  • does tooth decay cause pain
  • gum line tooth decay treatment
  • tooth cavities below gum line
  • signs of a decaying tooth
  • tooth decay below gum line
  • tooth decay but no pain