Cleve

Teeth Sensitive To Cold

Teeth Sensitive To Cold

There is nothing quite as jarring as taking a refreshing sip of ice water or biting into a scoop of frozen yogurt, only to be hit by a sharp, sudden jolt of pain in your mouth. If you have ever wondered why your teeth sensitive to cold seem to react so intensely to temperature changes, you are certainly not alone. This dental issue, clinically known as dentin hypersensitivity, is a common complaint that affects millions of people, often turning everyday meals into a source of anxiety. Understanding the underlying causes of this sensitivity is the first step toward finding relief and restoring your comfort.

What Causes Teeth Sensitive to Cold?

To understand why your teeth react to cold, you first need to understand the anatomy of a tooth. Beneath the hard, protective outer layer of your tooth—the enamel—lies a porous layer called dentin. Dentin contains thousands of microscopic channels or "tubules" that lead directly to the tooth's nerve center, the pulp.

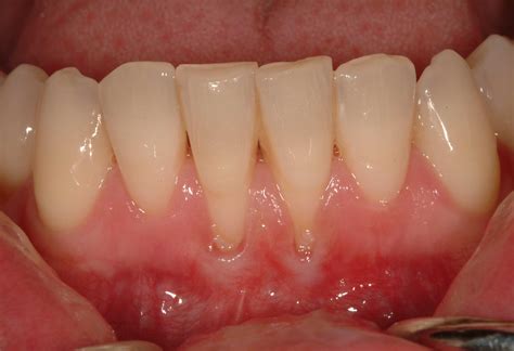
When the protective enamel wears down or the gums recede, the dentin becomes exposed. When cold air or liquids come into contact with these exposed tubules, they trigger the nerve endings inside, resulting in that familiar, sharp pain. Several factors can accelerate this process:

  • Brushing too hard: Using a hard-bristled toothbrush or applying excessive pressure can wear away enamel and damage gum tissue.
  • Acidic foods and drinks: Sodas, citrus fruits, and vinegars can erode enamel over time.
  • Gum recession: Conditions like gum disease or aggressive brushing can pull the gums away from the teeth, exposing the sensitive root area.
  • Tooth decay or cavities: Holes in your teeth can create direct pathways to the nerves.
  • Cracked or chipped teeth: A physical crack can allow cold stimuli to reach the inner pulp easily.
  • Teeth grinding (bruxism): The constant pressure can wear down the enamel surface.

Identifying the Triggers and Symptoms

The sensation of having teeth sensitive to cold is usually brief, sharp, and localized. It typically occurs when the tooth is exposed to cold temperatures, although some people may also experience it with hot, sweet, or acidic substances. If the pain is constant, throbbing, or keeps you awake at night, it might indicate a more serious issue, such as an infection or a deep cavity, rather than simple hypersensitivity.

To help distinguish between general sensitivity and potential dental problems, review the table below:

Symptom Likely Cause
Sharp pain with cold exposure Dentin hypersensitivity
Constant, lingering, throbbing pain Pulpitis (nerve inflammation) or infection
Pain when biting down Cracked tooth or cavity
Bleeding gums + sensitivity Gingivitis or periodontal disease

⚠️ Note: If your pain is severe, persistent, or accompanied by facial swelling, seek professional dental care immediately, as these may be signs of an abscessed tooth.

Effective Strategies for Managing Sensitivity

If your sensitivity is mild and related to enamel erosion or minor gum recession, you can often manage it with a few simple lifestyle adjustments and proper dental hygiene habits. Consistency is key when treating teeth sensitive to cold.

1. Switch to Desensitizing Toothpaste

There are many toothpaste brands specifically formulated for sensitive teeth. These products contain compounds like potassium nitrate or stannous fluoride, which help block the microscopic tubules in your dentin. It usually takes a few weeks of regular use to notice a significant reduction in sensitivity.

2. Adjust Your Brushing Technique

Using a soft-bristled toothbrush is essential. Hold the brush at a 45-degree angle toward the gum line and use gentle, circular motions. Avoid sawing back and forth, as this accelerates enamel wear and causes the gums to recede further.

3. Manage Your Diet

Try to limit acidic foods and drinks, such as citrus juices, soda, and wine. If you do consume them, rinse your mouth with water afterward to neutralize the acid. Drinking through a straw can also minimize the contact these liquids have with your teeth.

4. Address Nighttime Grinding

If you suspect you grind your teeth at night, talk to a dentist about getting a custom-fitted mouthguard. This acts as a barrier, preventing your teeth from grinding against each other and causing further structural damage.

💡 Note: Always consult with your dentist before starting any new treatment for sensitivity to ensure there isn't an underlying cavity or infection that requires restorative care.

When to See a Professional

While home care works wonders for many, there are situations where clinical intervention is necessary. If you have been using desensitizing toothpaste for several weeks with no improvement, it is time to schedule a visit to your dentist. They can identify the root cause of your discomfort, which might require treatments like:

  • Fluoride Varnish: A professional application that strengthens the tooth enamel and reduces pain.
  • Bonding or Sealants: If the sensitivity is caused by exposed roots or small chips, a dentist can apply a bonding resin to protect the area.
  • Surgical Gum Graft: In severe cases of gum recession, a graft may be needed to cover the exposed root surface and protect the nerve.
  • Root Canal Therapy: Reserved for extreme cases where the nerve is irreparably damaged or infected.

Addressing sensitivity is an investment in your long-term oral health. By identifying the triggers for your teeth sensitive to cold and adopting a proactive approach to dental care—including daily brushing with soft bristles, using protective pastes, and maintaining routine check-ups—you can effectively manage your symptoms. While these tips can offer relief, they do not replace the need for professional diagnosis. If the pain persists, please prioritize a visit to your dental clinic to rule out more complex issues, ensuring that your smile remains healthy, comfortable, and pain-free for years to come.

Related Terms:

  • one tooth suddenly sensitive
  • teeth sensitive to cold suddenly
  • my teeth are extremely sensitive
  • what causes teeth sensitivity suddenly
  • teeth becoming sensitive to cold
  • sudden teeth sensitivity to cold