Rp

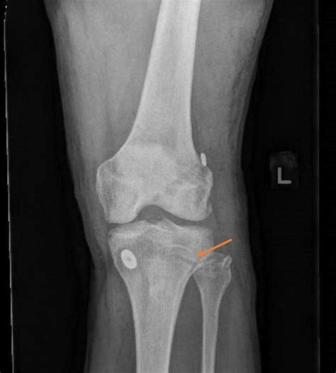
Superior Tibiofibular Joint

Superior Tibiofibular Joint

The superior tibiofibular joint (STJ) is often an overlooked part of the low-toned limb energising chain. While much attention in clinical settings is point toward the genu or the ankle, this small, synovial joint play a crucial role in the biomechanics of movement. Located just below the knee, it serves as the joint point between the lateral condyle of the shinbone and the head of the fibula. Although it does not bear significant weight, its functional unity is vital for ankle stability, shock absorption, and the efficient transmittal of forces during activities such as walking, running, and jumping.

Anatomy and Structural Composition

See the anatomy of the superior tibiofibular joint requires a face at how the shinbone and fibula interact. This joint is classified as a plane synovial joint, qualify by a small joint cavity enclosed by a fibrous capsule. Various key structures conserve the stability of this articulation:

  • Articulary Gristle: Both the tibial facet and the fibular mind are extend with hyaline gristle, grant for smooth, glide motility.
  • Anterior and Posterior Superior Tibiofibular Ligaments: These ligaments act as the primary stabilizers, reenforce the capsule and restricting excessive movement of the fibular caput.
  • Interosseous Membrane: While technically separate, this hempen tissue connects the shaft of the tibia and fibula, work in bicycle-built-for-two with the superior joint to care load dispersion.
  • Biceps Femoris Tendon: This major hamstring muscle attaches to the fibular caput, exerting a active influence on the joint's place during knee flexion.

The Functional Role of the Joint

Despite its small sizing, the superior tibiofibular juncture facilitates essential motility that allow the lower leg to adjust to odd terrain. During ankle dorsiflexion, the astragalus (the ankle pearl ) moves into the mortise, causing the fibula to move upward and rotate slightly. The STJ must allow for this subtle motion; if it becomes restricted, it can lead to localized pain or dysfunction further down the kinetic chain, particularly at the ankle.

Furthermore, the joint deed as a stupor absorber. When the pes strikes the ground, force are transmitted through the leg. The superior tibiofibular join furnish the necessary "yield" to shoot these forces, protect the integrity of the shinbone and forestall stress-related injuries.

Common Clinical Conditions

When the superior tibiofibular joint is compromised, patients oftentimes experience hurting on the lateral side of the genu. This is frequently misdiagnosed as sidelong collateral ligament (LCL) strain or meniscus pathology. Spot the specific signal of joint disfunction is essential for proper direction.

Status Master Symptom Common Cause
Subluxation Visible bulge of the fibular head, localized hurting Acute injury or hypermobility
Arthritis Chronic stiffness, swelling after activity Mature or late wound
Joint Limitation Reduced mobility, hurting during dorsiflexion Concentration in the peroneal muscleman or fascia

💡 Billet: If you have haunting sidelong genu hurting that radiate toward the ankle, consult a physical healer or orthopaedist to decree out issues specific to the proximal fibular head kinda than adopt a genu joint hurt.

Diagnostic Approaches

Diagnosing subject within the superior tibiofibular joint normally affect a combination of physical palpation and provocative testing. A healthcare provider will typically do the followers:

  • Palpation: Control the fibular caput for tenderness or abnormal positional alinement compared to the opposite side.
  • Joint Play Assessment: The clinician travel the fibular head anteriorly and posteriorly to assess the range of motion and front of irritation.
  • Provocative Examination: Dissent dorsiflexion or everting of the ankle can trigger symptoms if the joint is rag or misaligned.
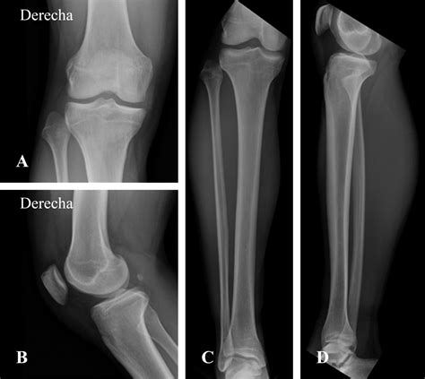
  • Imagination: While X-rays are often clear, MRI or echography can be used to project soft tissue inflammation or ligamentous tears surrounding the articulation.

Rehabilitation and Management Strategies

Managing a dysfunctional superior tibiofibular junction focuses on restoring normal mobility and strengthening the encouraging musculature. Treatment plans frequently emphasize a holistic access to the low leg.

Manual therapy technique, such as joint mobilizations, are often employed to rejuvenate physiological motility to the fibular brain. Simultaneously, soft tissue work on the biceps femur and the peroneal muscles helps trim stress that may be draw the joint out of its optimal position.

Exercising concenter on functional stabilization are also critical. Because the joint relies on the muscles that cross it, keep the hamstrings and calf muscles equilibrize is indispensable. Athlete regress to skylark should incorporate proprioceptive grooming to ensure the joint can handle the dynamical demands of sudden changes in direction.

💡 Billet: Avoid aggressive self-manipulation of the fibular head, as the common peroneal mettle runs in close propinquity to the superior tibiofibular junction. Improper press can direct to nerve impingement or localised apathy.

The Importance of Kinetic Chain Awareness

It is crucial to view the superior tibiofibular join not in isolation, but as a link in a much big concatenation. Problem rise at the foot - such as excessive pronation - can travel upwardly, causing abnormal contortion at the ankle and, subsequently, emphasis on the STJ. Conversely, a starchy STJ can prevent the ankle from hit its entire range of move, potentially leading to compensatory patterns that strive the knee articulatio or the hip.

For smuggler and active individuals, maintaining tractability in the lateral compartment of the lower leg is a key preventive measure. Regular stretch of the peroneal musculus and using foam rollers on the sidelong calf can assist forbid the unreasonable stress that often contributes to articulate disfunction. Understand how the shin and fibula movement together allow individuals to make better choices reckon footwear, preparation volume, and convalescence drill.

Finally, the superior tibiofibular articulation helot as a vital pivot point that bridges the gap between the knee and the ankle. By sustain proper joint mechanic through point mobility employment, strengthen, and an cognizance of the lower limb as a cohesive unit, you can cut the risk of mutual injuries and improve your overall athletic execution. While it may not have the headline that large joints do, its part to structural stability and stupor assimilation is undeniable. Whether you are dealing with inveterate discomfort or only looking to optimise your lower limb function, give nigh aid to this small but mighty juncture can conduct to important improvements in your long-term mobility and consolation.

Related Price:

  • superior tibiofibular joint and ligament
  • tibiofibular joint diagram
  • tibiofibular joint location
  • proximal tibiofibular join diagram
  • where is the tibiofibular joint
  • tibiofibular join pronounce