Schiller–Duval body - Wikipedia - Schiller–Duval body Schiller–Duval body is a cellular ...
Rp

Schiller–Duval body - Wikipedia - Schiller–Duval body Schiller–Duval body is a cellular ...

1200 × 1553 px March 19, 2025 Peter Rp

Schiller–Duval body - Wikipedia - Schiller–Duval body Schiller–Duval body is a cellular ... is a high-quality image in the Rp collection, available at 1200 × 1553 pixels resolution — ideal for both digital and print use.

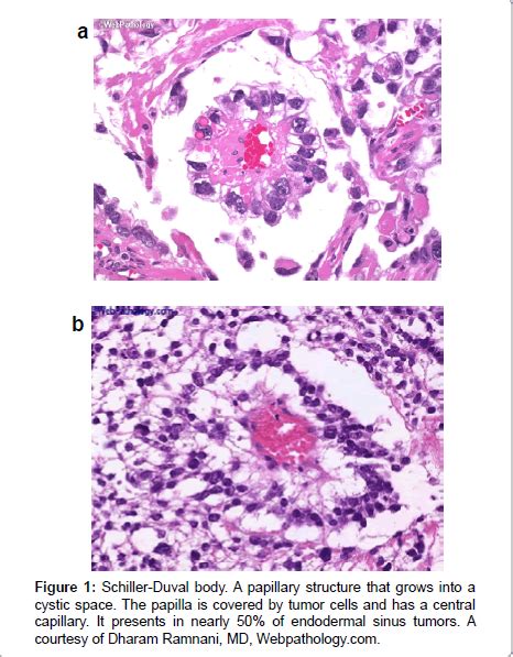
Discover the clinical significance of Schiller-Duval bodies, the pathognomonic histological hallmark of yolk sac tumors. Learn how these distinctive glomeruloid structures aid in the accurate diagnosis of endodermal sinus tumors. Explore the connection between these diagnostic markers, germ cell neoplasia, and elevated alpha-fetoprotein levels in this essential overview for pathology students and medical professionals.

Image Details

TitleSchiller–Duval body - Wikipedia - Schiller–Duval body Schiller–Duval body is a cellular ...
Dimensions1200 × 1553 px
CategoryRp
PublishedMarch 19, 2025
AuthorZeus
Downloads1,523
Views2,381

Read full article: Schiller Duval Bodies

// More Images