Rp

Schiller Duval Bodies

Schiller Duval Bodies

In the complex realm of gynecological pathology and oncology, certain histological markers serve as critical beacons for diagnosis and treatment planning. Among these, Schiller Duval bodies stand out as a highly specific and pathognomonic feature associated with yolk sac tumors, also known as endodermal sinus tumors. These structures are not merely visual curiosities under the microscope; they represent a fundamental link in understanding the embryological origin and biological behavior of germ cell tumors. For pathologists, oncologists, and medical students alike, recognizing these diagnostic patterns is essential for distinguishing aggressive malignancies from other ovarian or testicular masses.

Understanding the Nature of Yolk Sac Tumors

To fully grasp the significance of Schiller Duval bodies, one must first understand the tumor type they characterize. Yolk sac tumors are a type of germ cell tumor, meaning they arise from the cells that would otherwise become eggs or sperm. These tumors are most frequently found in the ovaries of young women or the testes of infants and young boys. Because they are derived from primitive germ cells, they tend to mimic structures found in the developing embryo, specifically the yolk sac. This developmental mimicry is precisely why these distinctive histological structures appear in tissue samples.

The clinical presentation of these tumors often involves rapid growth and the secretion of high levels of alpha-fetoprotein (AFP). Because these tumors can be highly aggressive, early and accurate identification is paramount. This is where histopathology plays a decisive role, shifting the focus from general clinical symptoms to the microscopic examination of cellular architecture.

What Are Schiller Duval Bodies?

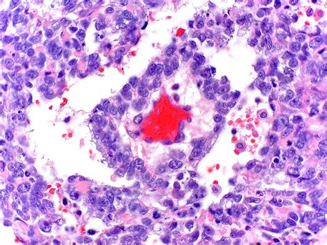
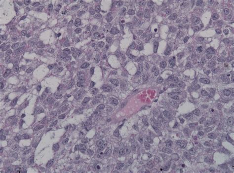
At their core, Schiller Duval bodies are glomerular-like structures. To visualize them, imagine a microscopic structure that resembles a kidney glomerulus. They consist of a central blood vessel surrounded by a core of loose, myxoid, or connective tissue. This central complex is then draped in a layer of malignant epithelial cells. These cells, often cuboidal or columnar in shape, extend into the surrounding space, creating a structure that is both intricate and identifiable.

These bodies are typically found within a background of loose, reticular, or microcystic tissue patterns. They are considered the "gold standard" for the pathological diagnosis of yolk sac tumors. Their presence provides a definitive clue that the tumor is of endodermal sinus origin, which significantly alters the therapeutic strategy, often moving the patient toward aggressive chemotherapy regimens.

Feature Description
Morphology Glomeruloid (resembling a kidney glomerulus)
Core Composition Central capillary lined by malignant cells
Associated Tumor Yolk Sac Tumor (Endodermal Sinus Tumor)
Diagnostic Significance Pathognomonic (highly specific for diagnosis)
Common Immunohistochemistry Positive for AFP and Glypican-3

Histological Identification and Differential Diagnosis

Identifying Schiller Duval bodies under a light microscope requires a high level of expertise. Because they can be sparse or hidden within various growth patterns of the tumor, a pathologist must carefully examine multiple sections of the tissue. They often appear within spaces that mimic the endodermal sinuses of the developing rat placenta, which is where the term "endodermal sinus tumor" originated.

It is important to differentiate these bodies from other structures that might appear similar, such as papillary structures in epithelial ovarian cancers or certain clear cell carcinomas. While these other tumors may exhibit papillary or cystic growth, they lack the specific perivascular arrangement that defines the Schiller Duval bodies. Key diagnostic steps usually include:

  • High-resolution microscopic examination of suspicious germ cell masses.
  • Immunohistochemical staining to detect Alpha-Fetoprotein (AFP).
  • Evaluation of cellular atypia within the perivascular lining cells.
  • Correlation with serum markers to confirm the presence of yolk sac elements.

⚠️ Note: While Schiller Duval bodies are pathognomonic, they are not present in every single yolk sac tumor. The absence of these structures does not definitively rule out a yolk sac tumor, particularly if the tumor presents in other growth patterns like solid, polyvesicular, or glandular types.

The Role of Immunohistochemistry

Modern pathology relies heavily on molecular markers to support the morphology observed in tissue slides. When Schiller Duval bodies are identified, immunohistochemistry (IHC) is employed to confirm the nature of the cells. The cells surrounding the central vessel will typically show strong positivity for:

  • Alpha-fetoprotein (AFP): The classic marker for yolk sac differentiation.
  • Glypican-3: A highly sensitive marker for yolk sac tumors.
  • SALL4: A sensitive marker for germ cell tumors in general.
  • Cytokeratin: Confirms the epithelial nature of the malignant cells.

By combining the physical presence of these glomerular-like bodies with positive protein expression, pathologists can provide an accurate diagnosis that guides clinical decision-making. This multimodal approach is essential for reducing diagnostic errors and ensuring that patients receive the most effective, stage-appropriate care.

Clinical Implications and Prognostic Value

The discovery of Schiller Duval bodies has profound implications for patient prognosis and treatment. Historically, yolk sac tumors were associated with poor outcomes, but advancements in platinum-based chemotherapy have dramatically improved survival rates. When these bodies are identified, it prompts a swift clinical response, as these tumors are known for their rapid growth and tendency to metastasize through the lymphatic and hematogenous routes.

The management strategy often includes surgical excision (debulking) followed by systemic chemotherapy. Because these tumors are highly responsive to chemotherapy, the diagnostic accuracy provided by recognizing the pathognomonic features allows for a more aggressive, goal-oriented treatment plan. Patients are closely monitored thereafter through serial serum AFP testing, which serves as a highly reliable marker for disease recurrence or progression.

💡 Note: Always cross-reference histological findings with clinical serum AFP levels. A discordance between the pathology report and the blood markers should prompt a review by a specialized gynecological or pediatric pathologist to ensure the diagnosis is precise.

The importance of identifying these structures in a clinical setting cannot be overstated. As medical technology advances, our ability to detect these tumors at earlier stages continues to improve, offering better survival rates for young patients. The dedication of pathologists in identifying these subtle but distinct micro-structures remains the cornerstone of effective diagnosis. Through the synthesis of morphological analysis and modern immunohistochemistry, clinicians are better equipped to handle these complex malignancies. By understanding the foundational role of these specific cellular patterns, the medical community maintains a vital standard of care, ensuring that even the most aggressive of tumors can be identified, categorized, and managed with the precision required to save lives.

Related Terms:

  • schiller duval bodies histology
  • schiller duval body
  • schiller duval body x ray
  • schiller duval body morphology
  • schiller duval tumor
  • schiller duval bodies pathology outlines