Rp

Pulmonary Arteriovenous Malformation

Pulmonary Arteriovenous Malformation

A Pulmonary Arteriovenous Malformation (PAVM) is a rare but important vascular abnormality qualify by an unnatural connector between the pulmonary arteries and pulmonary veins. In a salubrious circulatory scheme, profligate flows from the arteries into a network of lilliputian capillaries, where gas exchange happen before moving into the veins. However, in patient with a PAVM, these capillaries are bypassed, creating a unmediated shunt. This detour prevents blood from right oxygenating, which can lead to various health complications ranging from mild shortness of breath to severe, living -threatening events. Understanding the nature, symptoms, and treatment selection for this condition is lively for patient and caregivers likewise.

What Causes a Pulmonary Arteriovenous Malformation?

The immense majority of Pulmonary Arteriovenous Malformation cases - roughly 70 % to 90 % - are relate with a genetic upset known as Hereditary Hemorrhagic Telangiectasia (HHT), also referred to as Osler-Weber-Rendu syndrome. In soul with HHT, the blood watercraft do not form right throughout the body, making them prone to developing these unnatural bypass in the lungs, brain, or liver.

While HHT is the take effort, PAVMs can also develop periodically due to other component, including:

  • Chest hurt: Knockout injury to the pectoral area.
  • Chronic liver disease: Specifically, hepatopulmonary syndrome.
  • Infections: Inveterate infections that damage pneumonic tissue.
  • Post-surgical complications: Rare instances following lung procedures.

Because HHT is a genetic status, menage with a history of vascular malformations are frequently encouraged to undergo transmitted masking and routine lung envision to find PAVMs before they have symptom.

Recognizing Symptoms and Clinical Presentation

Many patient with a Pulmonary Arteriovenous Malformation may remain symptomless, particularly if the miscreation is small. However, as the shunt grows, the volume of rip bypassing the capillary filter gain, leading to "right-to-left shunting". This mean deoxygenated blood is recirculated into the systemic circulation, stimulate a driblet in blood oxygen levels (hypoxemia).

Common symptoms reported by patient include:

  • Dyspnoea: Truncation of breath, particularly during physical exertion.
  • Cyanosis: A bluish tint to the lips, tegument, or nail bottom have by low oxygen degree.
  • Hemoptysis: Coughing up blood, which may occur if the malformation rupture.
  • Chest hurting: Unexplained or persistent discomfort in the pectoral country.
  • Clubbing: A physical alteration in the bod of the fingertips and toe, oft seen in continuing hypoxemia.

Neurologic symptoms, such as migraine, transient ischemic blast (TIAs), or cva, can also occur. These bechance because the PAVM do as a "screen" that fails to filter out small-scale coagulum or air bubbles, allowing them to locomote directly to the brain.

Diagnostic Procedures

Diagnose a Pulmonary Arteriovenous Malformation requires a combination of project proficiency and clinical rating. Doc typically start with a physical test, seem for characteristic mark like a lung bruit (a whooshing sound heard through a stethoscope) or skin telangiectasias (modest red place on the skin).

Symptomatic Instrument Purpose
Pulse Oximetry Measures oxygen impregnation grade in the rake.
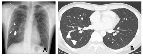
Chest X-ray Ofttimes the first index, showing mistrustful opacity in the lung fields.
Contrast Echocardiogram Utilise "bubble survey" to envision shunting of profligate in the heart.
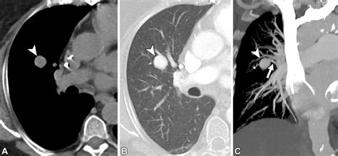
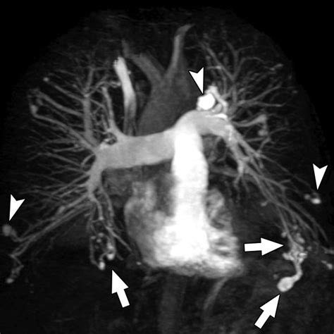
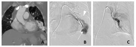
CT Angiography The gilded measure for place the sizing, position, and blood supplying of the PAVM.

💡 Tone: Former diagnosing is crucial, specially in HHT patient, as untreated PAVMs take a significant risk of self-contradictory intercalation, which can direct to throw or brain abscess.

Treatment Approaches: Embolization and Beyond

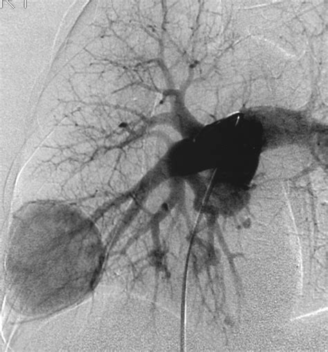
Erstwhile a Pulmonary Arteriovenous Malformation is confirmed, the criterion of attention is usually transcatheter embolization. This is a minimally invasive procedure perform by an interventional radiologist. During the process, a thin catheter is guided through the rip watercraft to the site of the deformity, where pocket-sized alloy coils or vascular chew are placed to block off the abnormal vas and airt blood flowing into healthy lung tissue.

Other direction strategy may include:

  • Surgical Resection: In rare lawsuit where the miscreation is too large or complex for embolization, surgical removal of the moved lung segment may be necessary.
  • Oxygen Therapy: Used as a temporary step for patients with austere hypoxemia who are look definitive treatment.
  • Antibiotic Prophylaxis: Patients with PAVMs are sometimes advised to take antibiotics before dental or operative operation to forestall bacteria from inscribe the bloodstream and reaching the head.

Post-treatment follow-up is indispensable. Even after successful embolization, doctors recommend periodical imagery to control that the PAVM has not reopened or that new, smaller malformations have not germinate.

Living with a Pulmonary Arteriovenous Malformation

Deal the precondition efficaciously involve a multidisciplinary approach. Patients ofttimes work with a team comprising pulmonologists, interventional radiologist, and geneticists. Maintaining a heart-healthy life-style, avoiding smoking, and stick informed about one's specific vascular endangerment are key components of long-term health.

If you or a family member have been diagnosed with HHT, it is imperative to undergo sort for a Pulmonary Arteriovenous Malformation. Because these lesions do not incessantly present with obvious symptom, the "silent" nature of the disease is exactly why proactive monitoring is life-saving. Advancement in endovascular technology have do handling safer and more effective than ever, allowing most patients to lead total, fighting lives after their stipulation is addressed.

To wrap thing up, a Pulmonary Arteriovenous Malformation is a grievous but treatable vascular subject. While it can lead to severe systemic complications like cva and continuing hypoxia, modernistic diagnostic creature and minimally incursive treatments have importantly meliorate the forecast for unnatural individuals. By abide vigilant about symptoms, maintaining regular contact with specialiser, and following through with recommended screenings, patients can mitigate their risks and sustain a high calibre of life. Awareness rest the most potent puppet in managing this rare condition, ascertain that potential issues are place and treated before they cause permanent harm.

Related Terms:

  • pulmonic arteriovenous malformation replication
  • pulmonary arteriovenous malformation radiology
  • pulmonic arteriovenous miscreation causes
  • pneumonic arteriovenous deformity handling
  • pulmonary arteriovenous deformity import
  • pulmonary arteriovenous malformation treatment guidelines