Pediatric Pineal Cyst | Pediatric Radiology Reference Article | Pediatric Imaging | @pedsimaging
Mayo

Pediatric Pineal Cyst | Pediatric Radiology Reference Article | Pediatric Imaging | @pedsimaging

2000 × 2000 px September 1, 2025 Peter Mayo

Pediatric Pineal Cyst | Pediatric Radiology Reference Article | Pediatric Imaging | @pedsimaging is a high-quality image in the Mayo collection, available at 2000 × 2000 pixels resolution — ideal for both digital and print use.

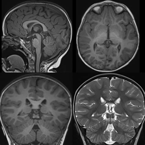
Are you experiencing unexplained headaches or vision changes? Discover the most common pineal cyst symptoms, including neurological issues and intracranial pressure signs. Learn when these fluid-filled brain lesions require medical imaging like an MRI and explore available treatment options to manage potential complications. Understand your diagnosis and regain peace of mind with our expert guide to pineal gland health.

Image Details

TitlePediatric Pineal Cyst | Pediatric Radiology Reference Article | Pediatric Imaging | @pedsimaging
Dimensions2000 × 2000 px
CategoryMayo
PublishedSeptember 1, 2025
AuthorZeus
Downloads1,759
Views558

Read full article: Pineal Cyst Symptoms

// More Images