Mayo

Pineal Cyst Symptoms

Pineal Cyst Symptoms

Discovering a pineal cyst on an MRI scan can be a startling experience, often leading to immediate concern and a frantic search for information. These fluid-filled sacs are located in the pineal gland, a small, pea-sized structure deep within the center of the brain responsible for producing melatonin. The good news is that most pineal cysts are asymptomatic, benign, and found incidentally during imaging for other conditions. However, understanding Pineal Cyst Symptoms is essential for those who have received such a diagnosis, as well as for medical professionals assessing whether a patient's symptoms are truly caused by the cyst or an unrelated issue.

Understanding What a Pineal Cyst Is

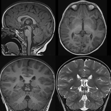
The pineal gland is a crucial part of the endocrine system, playing a key role in regulating sleep-wake cycles through melatonin secretion. A pineal cyst is a fluid-filled sac that develops within or on this gland. These cysts are surprisingly common, frequently identified during routine neurological imaging. In the vast majority of cases, they do not cause any health issues and remain stable throughout a person's lifetime.

When a cyst becomes large enough to exert pressure on surrounding brain structures—specifically the quadrigeminal plate or the cerebral aqueduct—it may lead to various neurological manifestations. It is vital to distinguish between a cyst that is merely "present" and one that is "symptomatic." The latter is quite rare, as most cysts are small and do not impede brain function.

Recognizing Common Pineal Cyst Symptoms

While many individuals remain asymptomatic, large cysts can compress nearby structures, causing symptoms that vary significantly from person to person. Because the pineal gland is situated near critical pathways in the brain, symptoms often relate to increased intracranial pressure or compression of the midbrain.

The most frequently reported Pineal Cyst Symptoms include:

  • Persistent Headaches: Often described as a dull pressure or throbbing sensation, these headaches may worsen when lying down or with specific head movements.
  • Visual Disturbances: Compression of the tectal plate can lead to difficulty looking upward (upward gaze palsy), blurred vision, or double vision (diplopia).
  • Dizziness and Vertigo: A feeling of imbalance or spinning can occur if the cyst interferes with neurological pathways responsible for coordination and spatial awareness.
  • Nausea and Vomiting: These are often secondary to severe headaches or increased pressure within the skull.
  • Sleep Disturbances: Since the pineal gland regulates melatonin, some patients may report changes in their circadian rhythms, though this is less common than mechanical pressure symptoms.

⚠️ Note: Many of these symptoms are non-specific and are frequently caused by other, more common conditions like tension headaches, migraines, or inner ear issues. Never assume a pineal cyst is the culprit without a thorough neurological evaluation.

When Should You Seek Medical Attention?

If you have been diagnosed with a pineal cyst and begin to experience new or worsening neurological symptoms, it is imperative to consult with a neurologist or neurosurgeon. While the cyst itself may be stable, symptoms can mimic other neurological conditions that require prompt attention.

Diagnostic tools commonly used to assess the severity of these cysts include:

Diagnostic Tool Purpose
Magnetic Resonance Imaging (MRI) The gold standard for visualizing the size, characteristics, and location of the cyst.
Neurological Examination Evaluates eye movement, coordination, reflexes, and cognitive function.
Ophthalmological Exam Checks for signs of increased intracranial pressure, such as papilledema (swelling of the optic nerve).

Differentiating Symptomatic from Asymptomatic Cysts

The diagnostic challenge lies in identifying whether the Pineal Cyst Symptoms are truly caused by the cyst or if they are coincidental. A neurosurgeon will often look for specific "red flags" that suggest the cyst is causing mechanical obstruction. For instance, if the cyst causes hydrocephalus—a buildup of fluid in the brain—this is considered a clear indication for potential surgical intervention.

In cases where the cyst is small (usually less than 1cm) and the patient is asymptomatic, the standard protocol is "watchful waiting." This involves periodic follow-up MRI scans to ensure the cyst is not growing. Because most pineal cysts do not grow, many patients require only one or two follow-up scans before being cleared from routine monitoring.

Treatment Approaches for Symptomatic Cases

Surgery is reserved only for patients where Pineal Cyst Symptoms are severe, clearly linked to the cyst's size and position, and significantly impacting the patient's quality of life. Surgical options are generally performed by specialized neurosurgeons.

  • Endoscopic Cyst Fenestration: A minimally invasive approach where a small hole is made in the cyst to allow the fluid to drain.
  • Microsurgical Resection: A more traditional approach used for larger or complex cysts, involving removing as much of the cyst wall as possible.

The decision to operate is never taken lightly, as brain surgery carries inherent risks. The benefits of symptom relief must be weighed carefully against the potential complications, which is why second opinions from neurosurgeons specializing in pineal region pathology are highly recommended.

💡 Note: Always provide your neurosurgeon with a detailed log of your symptoms, including frequency, intensity, and any triggers, to help them make an accurate assessment of your specific case.

Living with a Pineal Cyst Diagnosis

If your doctor has determined your pineal cyst is incidental and asymptomatic, it is important not to let the diagnosis lead to unnecessary anxiety. Most people with this finding live completely normal lives without the cyst ever causing a problem. Maintaining a healthy lifestyle, managing stress, and keeping up with recommended follow-up appointments are the best ways to manage your health after a diagnosis.

If you do experience occasional headaches or dizziness, it is helpful to keep a symptom diary. Tracking these episodes can help your medical team distinguish between a benign incidental finding and a condition that may require further investigation. Remember, your physical and mental well-being are paramount, and proactive communication with your healthcare provider is the most effective way to address concerns regarding your neurological health.

Understanding the nature of pineal cysts helps shift the perspective from fear to informed management. By focusing on evidence-based medical advice rather than generalized information, patients can better navigate the diagnostic process. Most individuals with these cysts will never require surgery and can continue their daily activities without disruption. If symptoms do arise, the presence of modern diagnostic imaging and specialized surgical techniques ensures that they can be addressed effectively. Prioritizing regular neurological follow-ups when recommended and maintaining clear communication with your medical team remains the best strategy for long-term peace of mind and overall health stability.

Related Terms:

  • pineal cyst mri
  • pineal cyst symptoms nhs
  • pineal cyst radiology
  • pineal cyst treatment
  • pineal cyst icd 10
  • pineal cyst management