Rp

Persistent Right Umbilical Vein

Persistent Right Umbilical Vein

Discovering a fetal anomaly during a routine prenatal ultrasound can be a source of significant anxiety for expectant parents. One such finding, often encountered during the second-trimester anatomy scan, is a Persistent Right Umbilical Vein (PRUV). While the term may sound intimidating, it is crucial to understand what this vascular variation means for the developing fetus. In most cases, a PRUV is considered an isolated finding with a reassuring prognosis, but it warrants a comprehensive evaluation by healthcare providers to ensure the overall health and well-being of the pregnancy.

Understanding the Fetal Circulatory System

To comprehend why a Persistent Right Umbilical Vein occurs, one must first understand normal fetal circulation. During typical embryonic development, the fetus has two umbilical veins: the right and the left. As the fetus grows, the right umbilical vein usually regresses and disappears, leaving only the left umbilical vein to carry oxygenated, nutrient-rich blood from the placenta to the fetus. The left vein continues to function throughout the duration of the pregnancy, connecting to the fetal liver and heart.

In a pregnancy where a PRUV is present, the process is reversed: the normal left umbilical vein regresses, and the right umbilical vein persists instead. This anatomical variation means that the venous return path from the placenta to the fetus is altered. While this sounds like a major disruption, the fetal body is remarkably adaptable. In the vast majority of cases, the persistent vein successfully navigates the fetal anatomy to deliver blood to the heart, albeit via a slightly different route than the standard anatomical model.

Diagnostic Identification of PRUV

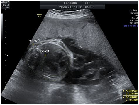
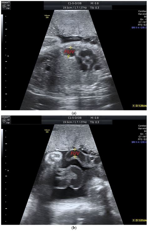
The identification of a Persistent Right Umbilical Vein is primarily achieved through high-resolution fetal ultrasonography. During the mid-trimester scan (typically between 18 and 22 weeks), sonographers examine the fetal abdomen to ensure that the umbilical vein is entering the liver correctly. When a PRUV is present, the sonographer will observe the following characteristic signs:

  • The umbilical vein courses to the right side of the gallbladder, rather than the left.
  • The vessel takes a slightly different anatomical path toward the portal system.
  • The color Doppler ultrasound shows a change in the direction of the vascular flow compared to the expected norm.

Because these findings can be subtle, ultrasound technicians and maternal-fetal medicine specialists are trained to look for these specific markers when the abdominal anatomy does not appear completely symmetrical. Once identified, the radiologist or obstetrician will conduct a detailed survey of the entire fetus to rule out any associated structural abnormalities.

💡 Note: A diagnosis of PRUV does not automatically imply that the fetus has a congenital heart defect or chromosomal abnormality; however, a thorough scan is standard practice to rule out co-existing issues.

Clinical Significance and Associated Findings

The clinical implications of a Persistent Right Umbilical Vein depend heavily on whether it is an isolated finding or accompanied by other anomalies. Research suggests that when a PRUV is identified as an "isolated" finding—meaning no other markers of genetic syndromes or structural defects are present—the outcome for the baby is generally excellent, similar to that of a normal pregnancy.

However, because there is a small statistical association between vascular anomalies and other developmental issues, specialists look for potential complications in other organ systems, including:

System Potential Association
Cardiac System Potential for structural heart defects (rarely)
Gastrointestinal Rare associations with intestinal malrotation
Chromosomal Possible link to aneuploidy if multiple markers are present

It is important to emphasize that if a PRUV is truly isolated, the presence of the vascular variation itself does not typically cause long-term health problems for the child. The child is usually born healthy and does not require special surgical or medical interventions specifically related to the vessel anomaly.

Management and Follow-up Care

Once a Persistent Right Umbilical Vein is detected, the standard of care usually involves a multidisciplinary approach to ensure the pregnancy proceeds safely. This typically includes a fetal echocardiogram, which is a specialized ultrasound of the baby's heart, performed by a pediatric cardiologist or a perinatologist. The purpose of this scan is to look closely at the flow of blood and the structure of the heart chambers to ensure that the altered vascular path is not causing any undue stress.

Additionally, doctors may recommend a follow-up ultrasound in the third trimester to monitor the baby's growth and confirm that the amniotic fluid levels remain stable. In some instances, genetic counseling may be offered to discuss the findings, especially if other "soft markers" were noted on the anatomy scan. This process allows parents to make informed decisions and receive appropriate support throughout the remainder of the pregnancy.

💡 Note: It is very common for parents to feel overwhelmed by the medical terminology used during prenatal consultations. Do not hesitate to ask your specialist for clarification regarding the specific findings in your ultrasound report.

Prognosis and Long-Term Outlook

For parents hearing the term Persistent Right Umbilical Vein, the most important takeaway is that the prognosis is highly favorable. The vast majority of infants born with this condition reach their full term and display no symptoms or health issues related to their fetal circulation. The liver functions normally, the heart develops correctly, and the child's development post-birth is typically no different from their peers.

The primary reason for the increased focus on this diagnosis is not the severity of the PRUV itself, but rather the necessity of confirming that it is truly isolated. By confirming the absence of other structural or genetic markers, doctors can provide parents with peace of mind. Most babies with an isolated PRUV require no special postnatal care, and they are usually discharged from the hospital just like any other healthy newborn.

Navigating the complexities of pregnancy can be challenging, particularly when ultrasound results deviate from the textbook norm. A Persistent Right Umbilical Vein, while distinct in its anatomy, is frequently a benign finding that does not alter the joy of welcoming a healthy baby. By working closely with maternal-fetal medicine specialists, undergoing the recommended follow-up screenings, and understanding that the human body often finds creative ways to function, parents can move forward with confidence. The most critical step is to rely on professional medical guidance to interpret these findings within the context of your specific pregnancy. Ultimately, with proper monitoring and a clear understanding of the clinical data, most families find that the diagnosis is merely a small detail in a routine and successful birthing journey.

Related Terms:

  • extrahepatic persistent right umbilical vein
  • persistent right umbilical vein management
  • persistent right umbilical vein outcomes
  • persistent left umbilical vein
  • persistent right umbilical vein fetal
  • persistent right umbilical vein significance