How to diagnose difficult white matter disorders | Practical Neurology
Cleve

How to diagnose difficult white matter disorders | Practical Neurology

1234 × 1280 px May 12, 2025 Peter Cleve

How to diagnose difficult white matter disorders | Practical Neurology is a high-quality image in the Cleve collection, available at 1234 × 1280 pixels resolution — ideal for both digital and print use.

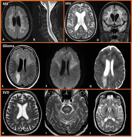
Understand the causes, symptoms, and treatment options for periventricular white matter disease. This comprehensive guide explores how this condition affects brain health, its link to small vessel disease and vascular dementia, and the latest management strategies to improve neurological outcomes. Learn how to identify early warning signs and protect your cognitive function through expert medical insights.

Image Details

TitleHow to diagnose difficult white matter disorders | Practical Neurology
Dimensions1234 × 1280 px
CategoryCleve
PublishedMay 12, 2025
AuthorZeus
Downloads1,837
Views1,648

Read full article: Periventricular White Matter Disease

// More Images