Cleve

Periventricular White Matter Disease

Periventricular White Matter Disease

Receiving a medical report that mentions Periventricular White Matter Disease can be an unsettling experience, especially if you are not familiar with the terminology. Often discovered incidentally during an MRI scan for unrelated issues, such as headaches or dizziness, this condition refers to changes in the white matter of the brain, specifically located around the ventricles. While the term itself may sound alarming, understanding the underlying mechanism, risk factors, and management strategies is the first step toward better neurological health.

What Exactly is Periventricular White Matter Disease?

To understand this condition, we must first look at the anatomy of the brain. The brain is composed of gray matter, which contains neuronal cell bodies, and white matter, which acts as the wiring system connecting different parts of the brain. White matter consists of axons covered in a fatty substance called myelin, which helps electrical impulses travel quickly between brain regions.

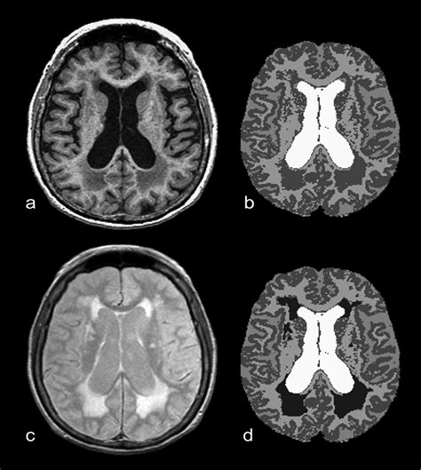
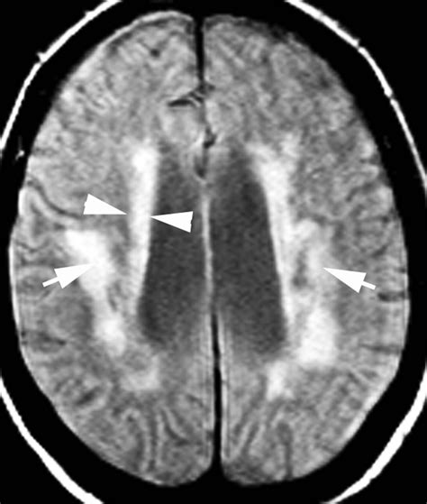
Periventricular White Matter Disease occurs when the integrity of this myelin or the underlying axons is compromised in the area surrounding the brain's ventricles—the fluid-filled cavities within the brain. This is often categorized under the broader umbrella of small vessel disease. When blood flow to these deep, sensitive areas of the brain is reduced, often due to stiffening or narrowing of the small arteries, the tissue begins to show signs of damage. Radiologists often describe these areas as "hyperintensities" or "lesions" on an MRI scan.

Common Causes and Risk Factors

The development of these white matter changes is rarely due to a single event. Instead, it is typically a chronic, progressive process tied to long-term vascular health. Recognizing these factors early can significantly alter the trajectory of the disease.

  • Chronic Hypertension: High blood pressure is the leading contributor, as it places sustained stress on the delicate small blood vessels in the brain.
  • Advancing Age: As we get older, the blood vessels naturally lose some of their elasticity, making white matter changes more common in older adults.
  • Diabetes and Metabolic Syndrome: Elevated blood sugar levels can damage the lining of blood vessels throughout the body, including the brain.
  • Smoking and Alcohol Use: These lifestyle factors contribute to arterial damage and systemic inflammation.
  • High Cholesterol: Plaque buildup in the arteries (atherosclerosis) can reduce the efficiency of blood supply to the brain.

⚠️ Note: While Periventricular White Matter Disease is common in elderly populations, the presence of these findings in younger individuals often warrants a more thorough investigation into underlying inflammatory or autoimmune conditions.

Understanding the Stages of Severity

When you look at a medical report, you may see the severity of these white matter changes graded. A common system used by neurologists is the Fazekas scale. Understanding where your results sit on this scale can help you have a more informed discussion with your healthcare provider.

Grade Description Clinical Significance
Grade 0 No white matter lesions present. Normal finding.
Grade 1 Punctate or "dot-like" lesions. Mild changes, often associated with normal aging.
Grade 2 Early confluent lesions. Moderate findings, suggests a need for cardiovascular risk management.
Grade 3 Large, confluent, or irregular lesions. Significant findings; warrants aggressive management of vascular risk factors.

Symptoms and Clinical Presentation

In many cases, Periventricular White Matter Disease is asymptomatic, meaning patients have no noticeable symptoms despite the findings on their MRI. However, if the damage is significant, it can lead to various neurological and cognitive changes, including:

  • Cognitive Impairment: Mild memory loss or a decline in "executive function"—the ability to plan, organize, and focus.
  • Gait Disturbances: Difficulty walking, unsteadiness, or a slow, shuffling gait.
  • Mood Changes: Increased prevalence of depression or apathy in some patients.
  • Urinary Urgency: Changes in bladder control can sometimes be associated with extensive subcortical vascular changes.

Management and Prevention Strategies

While there is no "cure" that reverses existing white matter scarring, the condition is highly manageable. The primary goal of medical intervention is to prevent progression. By slowing the damage to the small blood vessels, you can preserve current brain function and reduce the risk of future complications such as stroke or vascular dementia.

Lifestyle modifications serve as the foundation of your treatment plan:

  1. Strict Blood Pressure Control: This is arguably the most important step. Aim for a target blood pressure recommended by your doctor, often 120/80 mmHg or lower.
  2. Adopting a Heart-Healthy Diet: The Mediterranean or DASH diet are excellent choices, focusing on leafy greens, healthy fats, and lean proteins.
  3. Regular Physical Activity: Exercise improves blood flow throughout the entire body, including the brain, and helps manage weight and blood sugar levels.
  4. Smoking Cessation: Quitting smoking is one of the most impactful decisions you can make to stop the progression of vascular disease.
  5. Blood Sugar Management: If you are diabetic or pre-diabetic, keeping your HbA1c levels within a target range is essential to protect your microvasculature.

💡 Note: Always consult with a neurologist or a vascular specialist before starting any new medication or high-intensity exercise regimen, as they can tailor your plan based on your specific medical history.

The Path Forward

Living with a diagnosis related to your brain health can feel overwhelming, but it is important to remember that these MRI findings do not always dictate your future. Many people lead full, active lives even with mild to moderate white matter changes. By prioritizing your vascular health—managing blood pressure, engaging in regular physical activity, and maintaining a healthy diet—you are taking active steps to protect your neurological function. Partnering with a skilled medical team will ensure that you have a proactive strategy tailored to your needs, allowing you to focus on longevity and overall well-being. Regular check-ins and an honest dialogue with your physician are the keys to staying on top of your health and ensuring that any changes are identified early, allowing for timely and effective care.

Related Terms:

  • periventricular white matter hyperintensity
  • periventricular white matter disease adult
  • white matter in brain
  • periventricular white matter disease ct
  • moderate periventricular white matter disease
  • subcortical white matter disease