Cleve

Papillary Thyroid Cancer Symptoms

Papillary Thyroid Cancer Symptoms

Understanding Papillary Thyroid Cancer symptoms is a crucial step in early detection and improving treatment outcomes. As the most common type of thyroid cancer, papillary thyroid carcinoma often develops slowly and may not present with obvious signs in its early stages. Because the thyroid gland is located in the neck, many individuals notice changes through a physical sensation or a visible abnormality while looking in the mirror. Recognizing these subtle indicators can prompt necessary medical consultations, which is vital given that this form of cancer generally has an excellent prognosis when caught and treated promptly.

What is Papillary Thyroid Cancer?

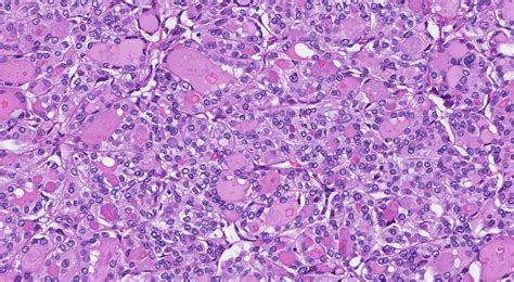
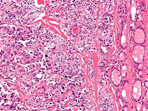
Papillary thyroid cancer arises from the follicular cells of the thyroid, which is a butterfly-shaped gland situated at the base of your throat. This type of cancer is known for being slow-growing, though it has the potential to spread to the lymph nodes in the neck. While it is the most frequent form of thyroid malignancy, it is also highly treatable. Most patients diagnosed with this condition do not have a family history of the disease, and researchers are still investigating the exact causes, though radiation exposure and certain genetic factors are known contributors.

Recognizing Common Papillary Thyroid Cancer Symptoms

The signs of papillary thyroid cancer are often subtle, which is why it is frequently discovered during routine physical exams or imaging tests done for other health concerns. Because the thyroid is superficial, many symptoms relate directly to the physical structure of the neck. Here are the most frequently reported Papillary Thyroid Cancer symptoms:

  • A lump or nodule in the neck: This is the most common symptom. It is often painless and may be found just below the Adam’s apple.
  • Swelling in the neck: You might notice a general thickening or swelling in the neck area.
  • Hoarseness or voice changes: Persistent voice changes that last for several weeks and cannot be attributed to a cold or illness should be investigated.
  • Difficulty swallowing (dysphagia): As the thyroid nodule grows, it may press against the esophagus, making it feel like food is stuck or causing discomfort when swallowing.
  • Persistent cough: A cough that is not associated with an upper respiratory infection can sometimes indicate that a thyroid mass is pressing against the airway.
  • Neck or throat pain: While many nodules are painless, some people experience pain that radiates from the front of the neck up toward the ears.
  • Swollen lymph nodes: Sometimes, the first sign is a firm, enlarged lymph node in the neck, indicating that the cancer cells may have traveled outside the thyroid gland.

⚠️ Note: Many thyroid nodules are benign and not cancerous. Having these symptoms does not automatically mean you have thyroid cancer, but it is important to see a healthcare professional for an accurate diagnosis.

When to Consult a Specialist

It is easy to dismiss minor throat discomfort or a small neck bump as unrelated to serious health issues, but it is important to be proactive. You should schedule an appointment with a primary care physician or an endocrinologist if you notice a lump in your neck that does not go away after a few weeks, or if you experience unexplained changes in your voice. Your doctor will likely perform a physical examination of your neck and may order additional diagnostic tests to determine the nature of the issue.

Common Diagnostic Procedures

When you present with potential Papillary Thyroid Cancer symptoms, medical professionals rely on a specific set of tests to rule out or confirm the diagnosis. The following table summarizes the diagnostic methods typically used in clinical practice:

Diagnostic Test Purpose
Physical Exam The doctor palpates the neck to check for nodules, firmness, or lymph node enlargement.
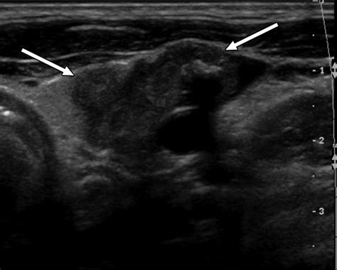
Thyroid Ultrasound Uses sound waves to create images of the thyroid, helping to determine if a nodule is solid or fluid-filled.
Fine Needle Aspiration (FNA) A thin needle is used to extract a small sample of cells from the nodule for laboratory analysis.
Blood Tests Measures levels of TSH, T3, and T4 to check if the thyroid is functioning properly (though function is often normal in cancer patients).
Radioactive Iodine Scan Used less frequently for initial diagnosis, but helps identify how much of the thyroid gland is functional.

Risk Factors for Developing Thyroid Cancer

While anyone can develop thyroid cancer, certain factors can increase the likelihood of its occurrence. Understanding these risk factors can help you discuss your personal health history with your doctor more effectively. Major risk factors include:

  • Gender: Women are statistically more likely to develop papillary thyroid cancer than men.
  • Radiation Exposure: Having received radiation treatments to the head or neck area, particularly during childhood, is a known risk factor.
  • Family History: Having a close relative (parent, sibling, or child) who has had thyroid cancer can slightly increase your risk.
  • Age: While it can occur at any age, it is most commonly diagnosed in people between the ages of 30 and 50.
  • Genetic Conditions: Certain rare inherited syndromes, such as familial medullary thyroid cancer, can predispose individuals to thyroid issues.

💡 Note: A healthy lifestyle cannot always prevent thyroid cancer, but maintaining a balanced diet rich in iodine and avoiding unnecessary exposure to radiation are general protective measures.

Proactive Health Management

The best defense against any health complication is awareness and regular monitoring. Because many Papillary Thyroid Cancer symptoms are invisible to the naked eye, scheduling regular annual physical exams is the best way to ensure that any abnormalities are caught in their earliest, most manageable stages. If you are in a high-risk group due to family history or past radiation exposure, discuss a personalized screening schedule with your medical provider. Being vigilant about your body’s changes empowers you to take charge of your wellness and seek expert advice when it matters most.

Early intervention is the cornerstone of successful management for papillary thyroid cancer. By paying close attention to persistent changes in your neck, voice, or swallowing habits, you can take the necessary steps to secure a professional evaluation. Remember that the majority of neck nodules are non-cancerous, but identifying potential issues through diagnostic imaging and biopsies provides the clarity needed for peace of mind. Keeping up with regular health check-ups and being honest with your physician about any lingering symptoms ensures that if a problem exists, it can be addressed with the most effective and least invasive treatments available, ultimately leading to a positive outlook for long-term health.

Related Terms:

  • is papillary thyroid cancer really
  • early signs of thyroid cancer
  • papillary thyroid cancer slow growing
  • can papillary cancer be fatal
  • papillary thyroid cancer in adults
  • first symptoms of thyroid cancer