Rp

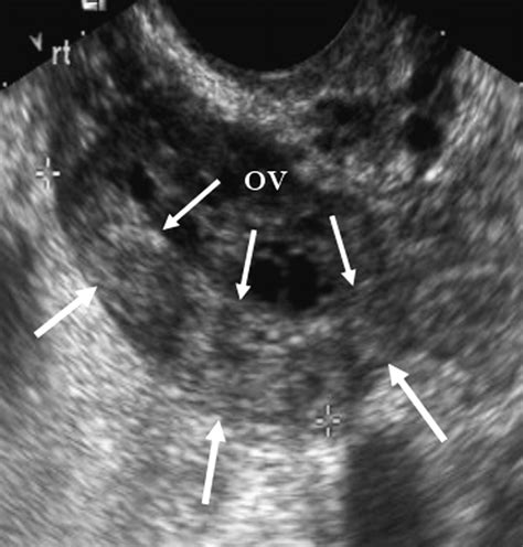
Ovary Normal Ultrasound

Ovary Normal Ultrasound

Understanding reproductive health begins with knowing what is considered normal during diagnostic imaging. When a physician orders a pelvic scan, an ovary normal ultrasound is often the desired outcome, as it indicates that your pelvic structures appear healthy and free from common abnormalities. Whether you are experiencing irregular cycles, pelvic pain, or undergoing a routine fertility check, understanding what the radiologist is looking for can help demystify the process and alleviate anxiety regarding your results.

What is an Ovary Normal Ultrasound?

An ovary normal ultrasound refers to findings where the ovaries appear within expected physiological parameters based on your age and hormonal status. During the scan, a sonographer or radiologist examines the size, shape, volume, and echogenicity of both the right and left ovaries. They are specifically looking for the presence of follicles, the absence of suspicious masses, and correct positioning within the pelvis.

In a healthy, pre-menopausal individual, the ovaries are typically almond-shaped and vary in size throughout the menstrual cycle. The presence of small, fluid-filled sacs called follicles is entirely normal, as these represent eggs in various stages of development. A normal report confirms that these structures are present without evidence of complex cysts, solid tumors, or other indicators of pathology.

Key Characteristics of Healthy Ovarian Anatomy

To determine if an ultrasound result is within the normal range, medical professionals look for several specific markers. These markers can change slightly depending on whether the patient is pre-menopausal, post-menopausal, or currently pregnant.

  • Size and Volume: The volume of the ovary should be appropriate for your age group. For reproductive-age women, the typical volume is usually less than 10 cubic centimeters.
  • Echogenicity: This refers to how the tissue reflects sound waves. Normal ovarian tissue has a characteristic texture that allows sonographers to distinguish it from surrounding structures like the bowel or bladder.
  • Follicular Pattern: The presence of multiple small, uniform follicles (often described as "antral follicles") is a sign of normal ovarian reserve and function.
  • Location: The ovaries should be located near the uterus, typically in the ovarian fossa, and should not be fixed or restricted in their movement.
Metric Expected Normal Finding
Ovarian Volume Varies, typically 2-10 cm³ for pre-menopausal adults
Follicles Multiple small (2-10mm) cysts are common and expected
Texture Homogeneous (uniform) appearance of the stroma
Mobility Should be freely movable during gentle pressure

💡 Note: While these metrics are standard, "normal" is subjective based on your personal health history. Always consult with your primary care provider or gynecologist to interpret your specific report in the context of your overall health.

How the Scan is Performed

Most pelvic ultrasounds are conducted via two methods: transabdominal (over the belly) and transvaginal (inserted into the vaginal canal). The transvaginal method is generally preferred for detailed visualization of the ovaries because the probe is closer to the pelvic organs, providing higher-resolution images.

Before the procedure, you may be asked to have a full bladder if a transabdominal scan is planned, as this provides an acoustic window to view the pelvic organs more clearly. During the transvaginal scan, the probe is covered with a sterile sheath, and it allows the technician to visualize the ovaries from multiple angles to ensure no underlying issues are missed.

Interpreting Your Ultrasound Report

When you receive your results, the language can often be technical. Terms like “bilateral ovaries appear normal in size and echotexture” are positive indicators. If a report mentions “simple cysts,” it does not necessarily mean something is wrong. Functional cysts are common and often resolve on their own after one or two menstrual cycles.

However, if your report notes "complex cysts," "solid masses," or "irregular borders," your doctor may request follow-up imaging or a consultation with a specialist. An ovary normal ultrasound will explicitly state that no adnexal masses or fluid collections were identified, providing peace of mind regarding your immediate pelvic health.

Factors Influencing Ultrasound Findings

Several variables can influence the appearance of your ovaries on a scan. Understanding these factors can help you better prepare for your appointment and manage your expectations:

  • Phase of the Menstrual Cycle: If you are scanned mid-cycle, you may see a dominant follicle (the one about to release an egg), which can look like a larger cyst. This is completely normal.
  • Hormonal Contraceptives: Birth control pills or hormonal IUDs can suppress follicular development, making the ovaries appear smaller or “quiescent” on an ultrasound.
  • Body Habitus: Patients with higher body mass indices may have images that are less clear via the transabdominal route, necessitating a transvaginal scan for accurate assessment.
  • Menopause: Post-menopausal ovaries naturally shrink in size and should generally not contain follicles. Seeing “atrophic” ovaries in a post-menopausal patient is considered a normal finding.

💡 Note: If you are experiencing symptoms like severe pelvic pain, bloating, or abnormal bleeding, do not ignore them even if a previous scan showed normal anatomy. Sudden changes in symptoms warrant a prompt clinical evaluation by a medical professional.

Preparing for Your Visit

To ensure your ultrasound provides the most accurate information, consider the following preparation tips:

  1. Wear comfortable, two-piece clothing, as you will likely need to change into a gown.
  2. Review your menstrual history, as the sonographer will need to know the date of your last period.
  3. If you are scheduled for a transabdominal scan, drink the recommended amount of water beforehand to fill your bladder.
  4. Inform the technician if you have a known history of ovarian cysts or prior pelvic surgeries.

By providing clear, accurate information, you allow the medical team to correlate your clinical symptoms with the visual data. This synthesis of information is what ultimately defines whether your ovary normal ultrasound finding provides the full picture of your health or if additional testing is required.

Ultimately, a report confirming that your ovaries appear normal is a cornerstone of gynecological health. It signifies that your reproductive anatomy is functioning as expected and provides a reliable baseline for your future health records. While the terminology used by radiologists can be confusing, recognizing that the presence of small follicles is a natural part of a healthy cycle helps frame these results correctly. If you have any concerns regarding your ultrasound report, engaging in a direct dialogue with your healthcare provider is the best way to ensure you have a clear understanding of your results. Regular check-ups and consistent communication with your doctor remain the most effective strategies for maintaining your long-term reproductive wellbeing.

Related Terms:

  • normal size of ovaries ultrasound
  • normal vs abnormal ovary ultrasound
  • ovarian abnormalities on ultrasound
  • normal ovary appearance ultrasound
  • ultrasound normal ovary size
  • abnormal ovary ultrasound pictures