Cleve

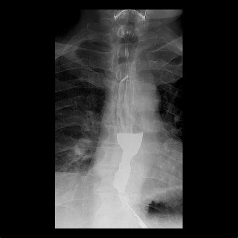
Narrowing Of The Esophagus

Narrowing Of The Esophagus

Experiencing difficulty swallowing, known medically as dysphagia, is a symptom that should never be ignored. Often, this sensation of food getting "stuck" in the chest is caused by the narrowing of the esophagus, a condition clinically referred to as an esophageal stricture. When the tube that carries food from your throat to your stomach becomes constricted or scarred, it disrupts the normal passage of nutrients, leading to discomfort, pain, and potential nutritional deficiencies. Understanding the underlying causes, recognizing the warning signs, and knowing when to seek professional medical advice are essential steps in managing this condition and maintaining your overall health.

What is the Narrowing of the Esophagus?

The esophagus is a muscular tube designed to propel food and liquids toward the stomach through rhythmic contractions. When this tube narrows, it restricts the diameter through which food can pass. Narrowing of the esophagus is not a disease in itself but rather a physical symptom resulting from various underlying medical issues. Whether the constriction is caused by inflammation, scarring, or external pressure, the functional impact is similar: a reduction in the esophagus's ability to transport food efficiently.

If left unaddressed, this narrowing can progressively worsen, potentially leading to malnutrition, weight loss, and an increased risk of choking or aspirating food into the airways.

Common Causes and Risk Factors

There are several reasons why the esophagus might begin to narrow. Identifying the specific cause is critical for effective treatment. Some of the most common factors include:

  • Chronic Gastroesophageal Reflux Disease (GERD): This is the most frequent cause. Persistent exposure of the esophageal lining to stomach acid causes chronic inflammation, which eventually leads to scar tissue formation and narrowing.
  • Eosinophilic Esophagitis (EoE): A chronic immune system disease where a type of white blood cell (eosinophil) builds up in the lining of the esophagus, causing inflammation and strictures.
  • Chemical Injury: Accidental ingestion of caustic substances or certain medications can cause severe damage to the esophageal tissue, resulting in scarring as it heals.
  • Post-Surgical Scarring: Procedures involving the esophagus or surrounding structures can sometimes lead to the development of strictures during the healing process.
  • Esophageal Cancer: While less common than benign causes, tumors can physically block or narrow the esophageal lumen.

⚠️ Note: If you experience sudden or severe difficulty swallowing, chest pain, or unintended weight loss, please consult a healthcare professional immediately to rule out serious conditions.

Symptoms to Watch For

Recognizing the symptoms early can lead to a quicker diagnosis and more successful treatment. While symptoms can vary depending on the severity of the narrowing, the most frequent indicators include:

  • A sensation that food is stuck in your throat or chest after swallowing.
  • Difficulty swallowing solid foods, particularly meats or bread.
  • Regurgitation of food that has not yet reached the stomach.
  • Unexplained weight loss due to decreased food intake.
  • Pain during or after swallowing (odynophagia).
  • Frequent heartburn or chest pain.

Diagnostic Approaches

When you consult a physician regarding the narrowing of the esophagus, they will likely employ several diagnostic tests to pinpoint the exact location, extent, and cause of the stricture. These diagnostics are essential for tailoring the appropriate treatment plan.

Diagnostic Tool Purpose
Upper Endoscopy (EGD) Allows the doctor to directly visualize the esophagus using a thin, flexible tube with a camera. Biopsies can be taken if necessary.
Barium Swallow (Esophagram) An X-ray procedure where the patient swallows a contrast agent (barium) to visualize the shape and contour of the esophagus, highlighting areas of narrowing.
Esophageal Manometry Tests the muscle contractions and coordination of the esophagus to rule out motility disorders.

Treatment Options for Esophageal Narrowing

Treatment focuses on both alleviating the immediate physical obstruction and addressing the underlying cause to prevent recurrence. Modern medical interventions are generally highly effective.

Esophageal Dilation

This is the primary treatment for narrowing of the esophagus. During an endoscopy, a doctor passes a specialized device—either a balloon dilator or a series of tapered dilators—into the narrowed area to gently stretch the esophagus. This process may need to be repeated over time to maintain an adequate opening.

Treating Underlying Conditions

Dilation alone is often insufficient if the underlying cause is not managed. For instance, if GERD is the culprit, high-dose proton pump inhibitors (PPIs) are typically prescribed to reduce stomach acid and allow the esophagus to heal without further irritation. In cases of eosinophilic esophagitis, dietary changes or specialized medications may be necessary to control the immune response.

💡 Note: While esophageal dilation is generally safe, there is a very small risk of perforation (a tear in the esophageal wall). Always follow your doctor's post-procedure instructions, which often include specific dietary guidelines for the first few days.

Prevention and Lifestyle Adjustments

While some causes, such as genetic conditions, cannot be prevented, many cases of esophageal stricture linked to GERD can be managed through lifestyle modifications. Reducing acid exposure is key to keeping the esophagus healthy.

  • Maintain a healthy weight: Excess abdominal pressure can increase the likelihood of acid reflux.
  • Adjust your diet: Identify and limit trigger foods such as caffeine, alcohol, spicy foods, chocolate, and acidic foods like citrus or tomatoes.
  • Eat smaller, frequent meals: Overfilling the stomach can force acid back into the esophagus.
  • Avoid lying down after eating: Allow at least two to three hours after a meal before going to bed.
  • Elevate the head of your bed: Using a wedge pillow to keep your upper body elevated while sleeping can help prevent nighttime reflux.

Taking proactive steps to manage digestive health, particularly regarding chronic acid reflux, is the most effective way to lower the risk of developing a stricture. The narrowing of the esophagus is a manageable condition when detected promptly and treated appropriately by medical professionals. By combining necessary medical procedures, such as dilation, with long-term lifestyle changes and proper management of underlying issues like GERD or EoE, individuals can significantly improve their quality of life and avoid future complications. If you suspect you are dealing with this condition, prioritizing a medical evaluation is the best approach to ensuring your long-term health and comfort while eating.

Related Terms:

  • symptoms of narrowing the esophagus
  • narrowing of esophagus icd 10
  • condition where esophagus is narrowed
  • esophageal narrowing
  • what makes your esophagus shrink
  • esophageal narrowing symptoms