Radiology Breast Cancer at Mazie Samuel blog
Cleve

Radiology Breast Cancer at Mazie Samuel blog

3262 × 1313 px September 18, 2024 Peter Cleve

Radiology Breast Cancer at Mazie Samuel blog is a high-quality image in the Cleve collection, available at 3262 × 1313 pixels resolution — ideal for both digital and print use.

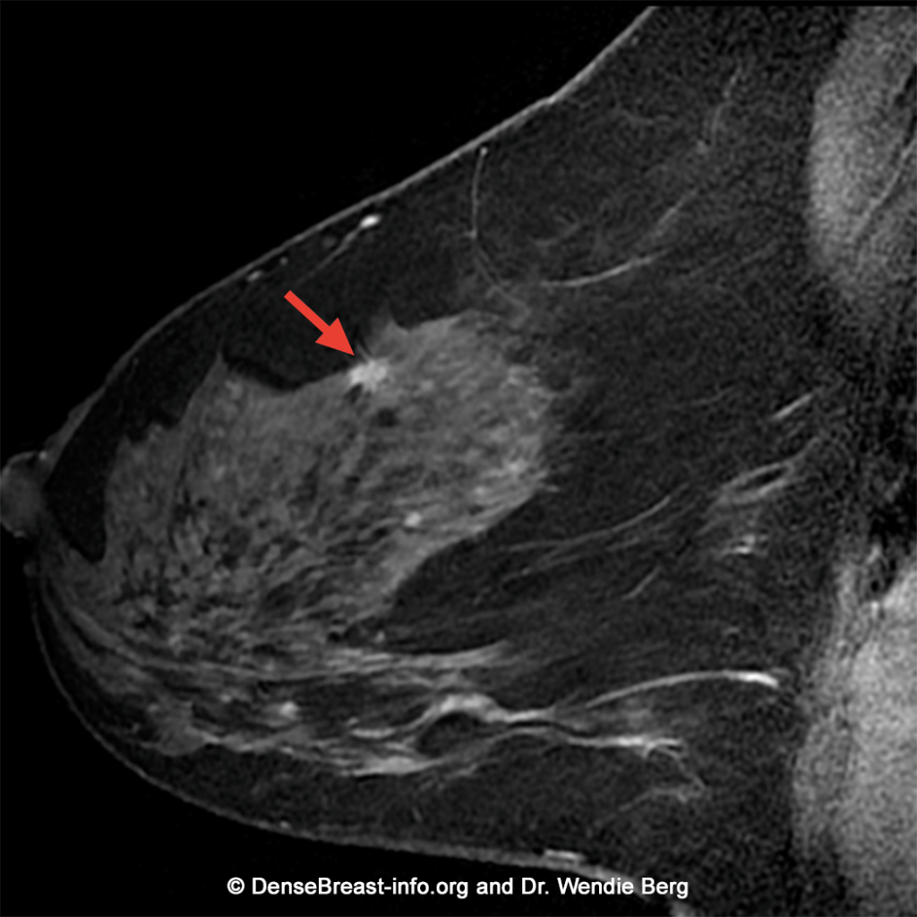
Understand the procedure and benefits of an MRI of breasts. This diagnostic imaging guide covers how breast MRI scans detect abnormalities, who requires screening, and what to expect during the exam. Learn how this highly sensitive technology assists in early breast cancer detection, biopsy planning, and monitoring high-risk patients for improved clinical outcomes and peace of mind.

Image Details

TitleRadiology Breast Cancer at Mazie Samuel blog
Dimensions3262 × 1313 px
CategoryCleve
PublishedSeptember 18, 2024
AuthorZeus
Downloads378
Views1,772

Read full article: Mri Of Breasts

// More Images