When it comes to advanced breast health diagnostics, an MRI of breasts stands out as one of the most sophisticated tools available to medical professionals. Unlike standard screening methods such as mammograms, which use X-rays, an MRI (Magnetic Resonance Imaging) utilizes strong magnetic fields and radio waves to create highly detailed, cross-sectional images of the breast tissue. This technology is particularly valuable because it can provide a different perspective on breast structure, often identifying abnormalities that might be obscured in denser tissue. For patients navigating a diagnosis or high-risk screening, understanding what this procedure entails is the first step toward feeling empowered and informed about their healthcare journey.
Understanding Why an MRI of Breasts is Recommended
Doctors do not typically order an MRI of breasts as a routine screening for the average-risk population. Instead, it is employed in specific clinical scenarios where more detailed information is required. Because it is highly sensitive, it can detect small lesions, but it also has a higher rate of "false positives" compared to mammography, which is why its use is strictly indicated.
- High-Risk Screening: Women with a strong family history of breast cancer or known genetic mutations, such as BRCA1 or BRCA2, often undergo annual breast MRIs in addition to mammograms.
- Staging After Diagnosis: If a patient has been diagnosed with breast cancer, an MRI may be used to determine the exact size of the tumor and whether there are other hidden lesions in either breast.
- Evaluating Breast Implants: MRIs are the gold standard for assessing the integrity of silicone breast implants to check for silent ruptures.
- Monitoring Treatment: Doctors sometimes use MRIs to see how a tumor is responding to neoadjuvant chemotherapy before surgery.

How to Prepare for Your MRI Procedure
Preparation for an MRI of breasts is relatively straightforward, but there are vital safety protocols to follow due to the powerful magnets involved. Since the machine uses magnetic energy, you must be transparent about any metal implants or devices inside your body.
Before your appointment, consider the following preparation steps:
- Medical History Check: Inform your doctor if you have a pacemaker, cochlear implants, or certain types of vascular clips, as these can be dangerous near an MRI machine.
- Clothing: You will likely be asked to change into a hospital gown to ensure no metal fasteners, zippers, or underwires are present.
- Contrast Dye: Most breast MRIs require the injection of a contrast agent called gadolinium. You should mention any history of kidney disease or allergies to contrast dye to your radiology team beforehand.
- Timing: If you are premenopausal, the best time to perform the MRI is usually between days 7 and 14 of your menstrual cycle, as hormonal fluctuations can sometimes cause background tissue enhancement that obscures images.
⚠️ Note: Always disclose any possibility of pregnancy or breastfeeding to the radiologist, as specific protocols regarding contrast agents may be adjusted based on your individual health profile.
What to Expect During the Scan
The experience of an MRI of breasts is unique compared to a mammogram. During the procedure, you will lie face down on a specialized platform that has openings for your breasts. This positioning is essential to allow the breast tissue to hang naturally and to ensure the most accurate imaging.
| Feature | Description |
|---|---|
| Procedure Time | Typically 30 to 60 minutes depending on the complexity. |
| Comfort | You must remain as still as possible; the machine makes loud knocking noises. |
| Contrast Injection | Administered via an IV line in your arm midway through the scan. |
| Privacy | Your breasts are supported in a cushioned device; clinical staff prioritize your comfort. |
The loud, repetitive thumping or knocking sounds are normal—these are the vibrations of the magnetic coils. Technicians will provide you with earplugs or headphones to listen to music to help mitigate the noise. Throughout the scan, the technologist will monitor you from an adjacent control room and maintain communication via an intercom.
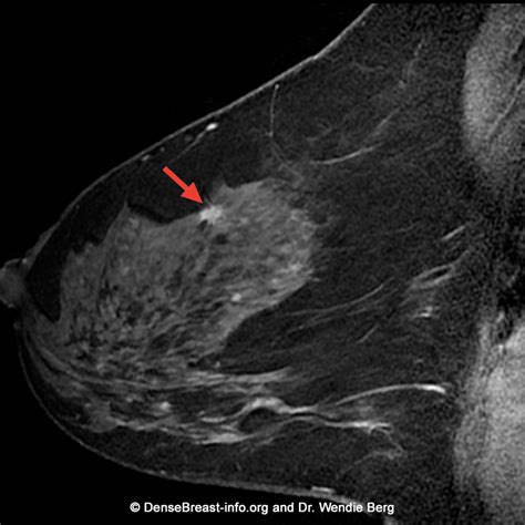
Interpreting the Findings
Once the MRI of breasts is complete, the images are sent to a radiologist who specializes in breast imaging. They will analyze the scans, looking for patterns of enhancement that suggest either benign or malignant tissue. It is important to remember that not every abnormality identified on an MRI requires surgery or a biopsy.
The radiologist will provide a report, often utilizing the BI-RADS (Breast Imaging-Reporting and Data System) scoring method:
- BI-RADS 0: Incomplete assessment; requires more imaging.
- BI-RADS 1 & 2: Negative or benign findings.
- BI-RADS 3: Probably benign, but short-term follow-up is recommended.
- BI-RADS 4 & 5: Suspicious abnormalities that may warrant a biopsy.
💡 Note: A BI-RADS 4 or 5 score does not automatically mean cancer; it means the tissue looks suspicious enough to warrant a tissue sample for a definitive diagnosis.
The Importance of Advanced Imaging
The integration of the MRI of breasts into the standard of care has drastically changed how we approach early detection. By offering a functional look at the tissue—observing how blood flows into a suspected mass—doctors can differentiate between healthy and suspicious structures with remarkable precision. This diagnostic power is a cornerstone of modern oncology, enabling personalized treatment plans and reducing the guesswork often associated with earlier diagnostic tools. While the process may feel daunting, the clarity provided by these detailed images is an invaluable asset in protecting long-term health.
Navigating the complexities of breast imaging can feel overwhelming, but keeping yourself educated makes the process more manageable. By understanding why a breast MRI is requested, how to prepare safely, and what the terminology in your report actually means, you can engage more effectively with your medical team. Always remember that these screenings are designed to give your physicians the best possible roadmap for your care. Whether it is for high-risk surveillance or diagnostic clarification, prioritize your comfort and ask your care provider questions about any step of the process. Ultimately, the use of such advanced technology serves one primary goal: ensuring that you receive the most accurate information to make the best decisions for your health and peace of mind.
Related Terms:
- breast mri images and results
- breast mri what to expect
- breast mri images
- picture of breast mri machine
- normal breast mri with contrast
- how is breast mri performed