Rp

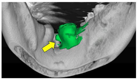
Mandibular Tori Pictures

Mandibular Tori Pictures

Have you ever run your tongue along the inside of your lower jaw and felt a hard, bony bump that wasn't there before? While this can feel unsettling, it is a common dental condition known as mandibular tori. Many people begin their research by searching for Mandibular Tori Pictures to compare their own oral anatomy with clinical examples. Understanding what these growths are, why they develop, and when they require medical attention is essential for peace of mind. In this comprehensive guide, we will explore everything you need to know about these bony protrusions, helping you distinguish between a benign variation of normal anatomy and conditions that might necessitate a visit to your dentist.

What Are Mandibular Tori?

Mandibular tori (singular: torus mandibularis) are benign, slow-growing bony outgrowths that develop on the lingual aspect (the tongue side) of the lower jaw, usually above the mylohyoid line. They are typically found in the area near the premolars and can be either unilateral (on one side) or bilateral (on both sides). When looking at Mandibular Tori Pictures, you will notice they often appear as smooth, rounded, or lobulated masses that are covered by thin, pale pink gingival tissue.

Because these growths consist of dense cortical bone, they are very hard to the touch. It is important to emphasize that while their appearance might be startling to the untrained eye, they are generally completely harmless. They are not cancerous, and they do not have the potential to become malignant. They are simply variations in bone structure.

Causes and Risk Factors

The exact cause of mandibular tori remains a subject of ongoing research, but dental professionals generally agree that it is a multifactorial condition. Both genetic and environmental factors play significant roles in their development.

  • Genetic Predisposition: There is a strong hereditary component. If your parents have mandibular tori, you are statistically more likely to develop them as well.
  • Functional Stress (Parafunctional Habits): Many researchers believe that chronic mechanical stress on the jawbone triggers bone growth. This includes conditions like bruxism (habitual grinding or clenching of teeth).
  • Dietary Factors: Some studies have explored links between high calcium intake or vitamin D deficiencies and bone growth, though these links are less definitive than genetic and functional factors.
  • Age: While they can appear at any time, they are most frequently noticed in early adulthood. They also have a tendency to grow very slowly over time.

Identifying Mandibular Tori: A Clinical Comparison

When searching for Mandibular Tori Pictures, it is helpful to understand the clinical features that dentists look for during an examination. This helps differentiate tori from other oral lesions. The following table summarizes the key characteristics to help you understand what you are seeing:

Feature Mandibular Tori Other Oral Growths (e.g., Cysts/Tumors)
Consistency Extremely hard (bony) Can be firm, soft, or fluctuant (fluid-filled)
Surface Smooth or lobulated May be ulcerated, irregular, or pigmented
Pain Usually painless unless traumatized Often associated with pain or discomfort
Growth Rate Very slow, over many years Can be rapid or unpredictable
Location Lingual aspect of mandible Variable throughout the oral cavity

💡 Note: While these characteristics are typical, any new, unexplained growth in your mouth should always be professionally evaluated by a dentist or oral surgeon to rule out more serious pathologies.

When Should You See a Dentist?

In the vast majority of cases, mandibular tori require no treatment and are left alone. However, there are specific scenarios where a dentist may recommend intervention:

  • Prosthetic Issues: If you need to wear a partial or complete lower denture, large tori can interfere with the fit and stability of the appliance.
  • Chronic Trauma: Because the tissue covering the torus is very thin, it can be easily injured by sharp foods, such as potato chips or crusty bread. Repeated ulceration in this area can be painful and lead to infection.
  • Oral Hygiene Difficulty: Very large or lobulated tori can create deep undercuts where food particles and plaque accumulate, making it difficult to maintain adequate oral hygiene in that area.
  • Speech Interference: In rare cases, if the tori are exceptionally large, they may slightly alter the tongue's position, potentially affecting speech.

💡 Note: If you have been diagnosed with mandibular tori and experience recurring pain, bleeding, or difficulty with dental appliances, consult with your dentist about the possibility of an alveoloplasty (surgical removal) to smooth the bone.

What to Expect During Diagnosis

When you visit your dentist, they will perform a clinical examination. Because of the distinct appearance of mandibular tori, they are often diagnosed simply by sight and palpation. The dentist will confirm that the growth is hard, immobile, and attached to the underlying bone. They may also take a dental radiograph (X-ray). On an X-ray, mandibular tori appear as a dense, radio-opaque (white) mass superimposed over the roots of the teeth. This radiographic confirmation is often all that is needed to definitively diagnose the condition.

If you have recently noticed a bump, do not panic. Avoid the urge to pick at it or attempt to scrape it, as the thin mucosal tissue is fragile and prone to painful ulceration. Instead, continue your regular dental hygiene routine, brushing gently around the area, and bring it to your dentist's attention during your next scheduled cleaning or check-up.

Final Perspectives

Viewing Mandibular Tori Pictures can be a helpful way to alleviate anxiety by seeing that these bony growths are a documented, common, and usually benign anatomical variation. They are not a disease, but rather a reflection of how our jawbones respond to the unique stresses we place upon them over time. While they may feel foreign to your tongue, they are a natural part of your oral landscape for many. As long as they remain painless and do not interfere with your ability to eat, speak, or utilize dental appliances, they generally require nothing more than routine observation. By maintaining good oral hygiene and keeping up with your regular dental appointments, you ensure that any changes in your oral health are monitored by a professional who can provide guidance tailored to your specific needs. If you find yourself frequently irritated by them or if you have concerns about the rapid growth of any oral tissue, a professional consultation is always the most effective path to peace of mind.

Related Terms:

  • pictures of torus mandibularis
  • mandibular tori in adults
  • tori bone growth in mouth
  • bone growth in mouth pictures
  • mandibular tori removal pictures
  • extra bone growth in mouth