Rp

Lower Limb Arterial

Lower Limb Arterial

Peripheral Artery Disease (PAD) is a common circulatory condition where narrowed arteries reduce blood flow to the limbs. When this condition specifically affects the legs, it is clinically referred to as Lower Limb Arterial disease. Understanding this condition is crucial because it often serves as a warning sign for broader systemic health issues, including atherosclerosis, which can affect the heart and brain. If left untreated, the reduction in blood flow can lead to severe complications, ranging from persistent pain to, in extreme cases, amputation.

Understanding Lower Limb Arterial Disease

The cardiovascular system relies on healthy, clear arteries to transport oxygenated blood from the heart to the rest of the body. In the case of lower limb arterial disease, plaque—a substance composed of fat, cholesterol, calcium, and fibrous tissue—builds up on the inner walls of the arteries. This process, known as atherosclerosis, causes the arteries to narrow, limiting the amount of oxygen-rich blood reaching the muscles in the legs and feet.

While many individuals experience no symptoms, others notice discomfort that affects their daily quality of life. Recognizing the early warning signs and understanding the underlying risk factors is the first step toward effective management and prevention.

Key Risk Factors to Monitor

Certain lifestyle choices and medical conditions significantly increase the likelihood of developing lower limb arterial disease. Identifying these risks early allows patients and healthcare providers to implement preventative measures.

  • Smoking: This is arguably the most significant risk factor. Tobacco smoke damages the inner lining of the arteries, making it easier for plaque to accumulate.
  • Diabetes: High blood sugar levels can damage blood vessels over time, accelerating the progression of arterial disease.
  • High Blood Pressure (Hypertension): Persistent high pressure weakens arterial walls and makes them more susceptible to damage.
  • High Cholesterol: Elevated levels of LDL (bad) cholesterol contribute directly to plaque buildup.
  • Age and Family History: Individuals over the age of 50, and those with a family history of vascular disease, are at a higher risk.

Common Symptoms and Clinical Presentation

The most iconic symptom of lower limb arterial disease is claudication. This term describes muscle pain, cramping, or aching in the legs that occurs during physical activity—such as walking or climbing stairs—and subsides after a short period of rest. The pain typically occurs in the calf, thigh, or buttock, depending on where the arterial blockage is located.

As the condition progresses, individuals may notice other symptoms, even while at rest:

  • Leg numbness or weakness.
  • Coldness in the lower leg or foot, especially when compared to the other side.
  • Sores on the toes, feet, or legs that heal slowly or not at all.
  • A change in the color of the legs (e.g., turning pale or bluish).
  • Hair loss or slower hair growth on the feet and legs.
  • Shiny skin on the legs.

⚠️ Note: If you experience sudden, severe pain in your legs combined with coldness or a pale appearance, seek medical attention immediately, as this may indicate an acute blockage requiring emergency intervention.

Diagnostic Procedures

Diagnosing lower limb arterial disease involves a combination of physical examinations and specialized imaging tests. Doctors use these tools to determine the severity of the blockage and the best course of action.

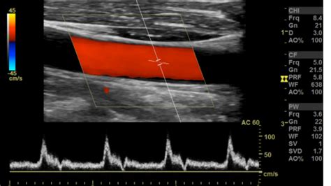
Diagnostic Tool Purpose
Ankle-Brachial Index (ABI) Compares blood pressure in the ankle with blood pressure in the arm.
Ultrasound (Doppler) Visualizes blood flow through the vessels and identifies blockages.
Angiography Uses dye and X-rays to map the blood flow within the arteries.
Blood Tests Check cholesterol, lipid levels, and glucose to assess risk factors.

Treatment Strategies and Management

The approach to managing lower limb arterial disease is twofold: managing symptoms and stopping the progression of atherosclerosis. The strategy usually begins with lifestyle modifications before moving to medical or surgical interventions.

Lifestyle Changes

Smoking cessation is non-negotiable. Furthermore, adopting a heart-healthy diet low in saturated fats and engaging in regular, supervised exercise programs can significantly improve walking distance and overall comfort.

Medical Therapy

Physicians may prescribe medications to manage symptoms and reduce the risk of heart attack or stroke. These often include:

  • Cholesterol-lowering medications (Statins): To reduce plaque buildup.
  • Blood pressure medications: To alleviate strain on the arterial walls.
  • Antiplatelet drugs: Such as aspirin or clopidogrel, to prevent blood clots.

Surgical Intervention

In severe cases where lifestyle changes and medication are insufficient, procedures such as angioplasty (using a balloon to open the artery) or bypass surgery (routing blood flow around the blocked area) may be required.

💡 Note: Always consult with a vascular specialist before starting a new exercise regimen to ensure that the intensity is safe for your current cardiovascular health.

Long-Term Outlook

Living with lower limb arterial disease requires ongoing vigilance. Because the disease is systemic, patients diagnosed with lower limb issues are at a higher risk of developing cardiovascular events elsewhere in the body. Consistent follow-ups, monitoring of blood pressure, and strict adherence to prescribed medications are essential for maintaining mobility and preventing complications. By taking proactive steps to manage risk factors like smoking, diet, and inactivity, many patients can lead full, active lives while keeping their arterial health under control. Ultimately, early detection and a commitment to heart-healthy habits remain the most effective tools in managing this complex condition.

Related Terms:

  • lower limb arterial anatomy ct
  • map of lower extremity arteries
  • arterial supply of lower extremities
  • lower limb arterial bypass
  • lower limb arterial thrombosis
  • anatomy lower limb arteries