Rp

Lingula Of Left Lung

Lingula Of Left Lung

The human respiratory system is a marvel of anatomical engineering, designed to maximize gas exchange efficiency while maintaining protection for vital structures. Within the chest cavity, the lungs are not symmetrical; the right lung consists of three lobes, while the left lung is restricted to two lobes—the upper and lower—to accommodate the heart. Occupying a unique position within this anatomical arrangement is the Lingula of left lung. This small, tongue-like projection of the left upper lobe plays a critical role in pulmonary structure and clinical diagnostics. Understanding the anatomy, function, and clinical significance of this specific segment is essential for medical professionals and those seeking a deeper comprehension of thoracic health.

Anatomical Overview of the Lingula

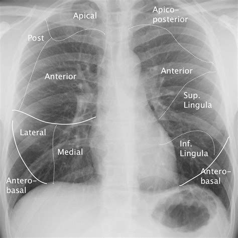
The term "lingula" is derived from the Latin word meaning "little tongue," which accurately describes its appearance as it extends downward and forward from the left upper lobe of the lung. It is the anatomical equivalent of the middle lobe found in the right lung. Positioned adjacent to the cardiac notch—the indentation where the heart rests against the lung—the Lingula of left lung effectively wraps around the lateral aspect of the heart.

Structurally, the lingula is divided into two distinct bronchopulmonary segments: the superior lingular segment and the inferior lingular segment. These segments receive oxygenated air through the lingular bronchus, a branch of the left upper lobe bronchus. Because of its location in the lower portion of the upper lobe, it is often a site of specific pathological interest, particularly regarding aspiration and infection.

Key anatomical landmarks include:

  • Cardiac Notch: A concave space that allows the heart to occupy the left side of the mediastinum.
  • Lingular Bronchus: The airway passage that ventilates this specific lung region.
  • Oblique Fissure: The boundary that separates the left upper lobe (including the lingula) from the left lower lobe.

Clinical Significance and Pathological Vulnerability

Because of its anatomical position, the Lingula of left lung is particularly prone to certain medical conditions. When a patient is in a supine position, gravity often directs inhaled particles, secretions, or foreign bodies into the superior segments of the lower lobes or the posterior segments of the upper lobes. However, the lingula is also frequently involved in cases of pneumonia and atelectasis, which is the collapse or closure of a lung segment.

Medical imaging, such as a chest X-ray or CT scan, often highlights the lingula during the diagnostic process. Infiltrates located in this area may cause a "silhouette sign," where the borders of the heart become obscured on a frontal chest radiograph because the lung density matches the heart's density. Recognizing this is vital for clinicians to distinguish between lingular pneumonia and left lower lobe pathology.

Pathology Description
Pneumonia Infection causing inflammation and fluid accumulation in the lingular segments.
Atelectasis Partial or complete collapse of the lingula due to airway obstruction or hypoventilation.
Bronchiectasis Permanent dilation of the bronchi within the lingula, often resulting from chronic infection.

💡 Note: Always consult with a qualified radiologist or pulmonologist when interpreting medical imaging of the chest, as anatomical variations can sometimes mimic pathological findings.

Diagnostic Procedures Involving the Lingula

In cases where chronic cough, recurrent infections, or localized symptoms persist, physicians may perform diagnostic procedures targeting the Lingula of left lung. Bronchoscopy is the primary tool used to visualize the airway. A flexible bronchoscope is navigated through the trachea and bronchi, allowing the physician to view the entrance to the lingular bronchus.

The procedure serves several purposes:

  • Visualization: Checking for inflammation, anatomical obstructions, or tumors within the bronchus.
  • Sampling: Performing a bronchoalveolar lavage (BAL) to collect fluid samples for laboratory testing.
  • Biopsy: Extracting small tissue samples to rule out malignancy or interstitial lung disease.

Management and Treatment of Lingular Diseases

Treating conditions affecting the Lingula of left lung follows standard pulmonary care protocols. If the issue is infectious, such as bacterial pneumonia, antibiotic therapy is the primary treatment. For patients with recurrent atelectasis, respiratory therapy techniques such as chest physiotherapy, incentive spirometry, and deep breathing exercises are employed to encourage lung expansion and mucus clearance.

In more severe cases, such as localized bronchiectasis that does not respond to medical management or persistent localized infection, surgical intervention may be considered. A lingular segmentectomy is a specialized procedure where only the affected segments are removed, sparing the remainder of the left upper lobe and preserving overall pulmonary function.

💡 Note: Surgical procedures involving the lung require careful preoperative evaluation of lung function to ensure the patient can maintain adequate respiratory capacity post-surgery.

Maintaining Long-Term Lung Health

To support the health of the Lingula of left lung and the respiratory system as a whole, preventative care is paramount. Smoking cessation is the single most important factor in preventing chronic obstructive pulmonary disease (COPD) and lung cancer, both of which can impact the lingula. Furthermore, maintaining a strong immune system through vaccination against influenza and pneumococcal disease helps minimize the risk of pneumonia, which disproportionately affects vulnerable segments like the lingula.

Regular physical activity improves chest wall compliance and respiratory muscle strength, ensuring that even the most distal parts of the lung, such as the lingula, remain well-ventilated. Proper hydration is also essential, as it helps thin the mucus in the airways, preventing the buildup that leads to localized obstructions.

Ultimately, the Lingula of left lung stands as a fascinating and clinically significant feature of human anatomy. While its size is relatively small, its strategic location near the heart and its susceptibility to specific respiratory challenges make it a focal point for diagnostic accuracy in pulmonology. By understanding its structure, the risks it faces, and the importance of maintaining overall lung health, we can better appreciate the intricate design of the respiratory system. Through proactive health management and timely medical assessment when symptoms arise, the integrity of these vital pulmonary structures can be preserved, ensuring optimal breathing and long-term well-being.

Related Terms:

  • lung lingula location
  • left lung anatomy lingula
  • anatomical position of the lungs
  • 5 functions of lungs
  • lingula diagram
  • where is lingula located