Cleve

Ewing Sarcoma Prognosis

Ewing Sarcoma Prognosis

Receiving a diagnosis of a rare type of bone or soft tissue cancer can be an overwhelming experience for patients and their families. Among these, Ewing sarcoma—a aggressive tumor that primarily affects children, adolescents, and young adults—often brings immediate questions regarding the future. Understanding Ewing sarcoma prognosis is a critical step in navigating the treatment journey, as it helps patients and healthcare teams establish realistic expectations and develop tailored management strategies. While the term "prognosis" refers to the likely course of a disease, it is essential to remember that these statistics are based on large groups of people and cannot predict an individual’s specific outcome.

Factors Influencing Ewing Sarcoma Prognosis

The Ewing sarcoma prognosis is not a fixed number; rather, it is influenced by a complex interplay of clinical, biological, and treatment-related factors. Medical professionals evaluate several key variables when assessing an individual case. By understanding these factors, families can better grasp why treatment plans are personalized.

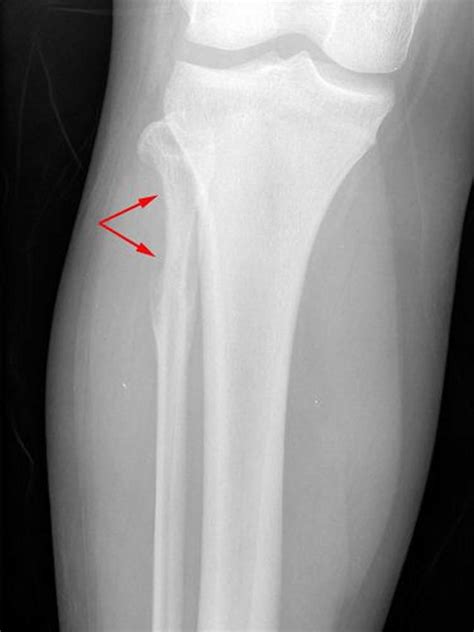
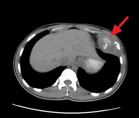
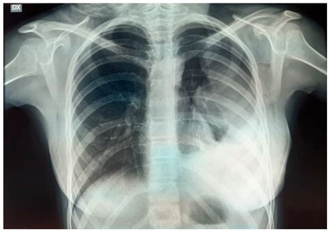
  • Extent of Disease at Diagnosis: This is arguably the most significant factor. Patients with localized disease (cancer confined to the primary site) generally have a better prognosis than those with metastatic disease (cancer that has spread to distant sites like the lungs, bones, or bone marrow).
  • Tumor Site: The location of the primary tumor matters. Tumors located in the pelvis or certain areas of the spine are often more challenging to treat effectively compared to those located in the arms or legs (extremities).
  • Tumor Size: Smaller tumors are generally easier to treat and typically correlate with better outcomes compared to large, bulky tumors.
  • Age: Younger patients—particularly children—often respond better to intensive chemotherapy regimens than older adolescents or adults.
  • Response to Treatment: How well the tumor shrinks during initial (neoadjuvant) chemotherapy is a strong indicator of the long-term prognosis.
  • Molecular Markers: Advances in genetic testing are helping doctors identify specific genetic mutations or chromosomal translocations that may indicate how aggressive the cancer is or how likely it is to respond to specific therapies.

Understanding Survival Rates and Statistics

When discussing Ewing sarcoma prognosis, doctors often refer to "survival rates." A survival rate represents the percentage of people who are still alive after a specific period, typically five years, following their initial diagnosis. These statistics serve as broad benchmarks rather than personal predictions.

The following table outlines the general context of survival rates based on the spread of the disease:

Extent of Disease Description General Prognostic Outlook
Localized Cancer has not spread beyond the primary site. Generally favorable, with higher cure rates.
Metastatic Cancer has spread to distant organs or tissues. More challenging; requires intensive treatment.

⚠️ Note: These survival rates are estimates based on historical data. Modern treatment protocols, including immunotherapy and targeted therapies, are constantly evolving, potentially improving outcomes for patients diagnosed today compared to those in historical studies.

The Role of Intensive Treatment Protocols

Improving the Ewing sarcoma prognosis relies heavily on a multimodal treatment approach. Because Ewing sarcoma is a systemic disease, local treatments alone are rarely sufficient. Instead, a combination of systemic chemotherapy, surgical intervention, and radiation therapy is typically required to maximize the chances of long-term survival.

The standard of care often involves:

  • Induction Chemotherapy: This is administered to shrink the tumor and treat potential micrometastases (tiny, undetectable areas of spread).
  • Local Control: This involves surgery to remove the tumor or radiation therapy (or a combination of both) to kill cancer cells in the primary location.
  • Consolidation/Maintenance Therapy: Additional chemotherapy cycles may be administered to ensure any remaining cancer cells are destroyed.

For patients with high-risk or recurrent disease, doctors may consider more intensive approaches, such as high-dose chemotherapy combined with a stem cell transplant, to allow the body to recover from the aggressive treatment.

Advancements in Research and Personalized Medicine

The outlook for Ewing sarcoma has seen meaningful improvement over the past few decades, largely due to better risk stratification and advancements in imaging and molecular biology. Researchers are currently exploring how genomic profiling of the tumor can identify weaknesses that can be targeted with precision medicines, reducing the reliance on toxic, broad-spectrum chemotherapies.

Participating in clinical trials is a crucial pathway for many patients. These trials offer access to cutting-edge treatments—such as novel chemotherapies, immune checkpoint inhibitors, or targeted therapies—that are not yet available as standard care. Discussing clinical trial options with a specialized pediatric oncologist is essential for families looking to explore all avenues for the best possible Ewing sarcoma prognosis.

💡 Note: Always consult with a multidisciplinary oncology team to discuss how specific genetic markers found in the patient’s tumor might influence treatment options and expected outcomes.

Focusing on Quality of Life

While discussing prognosis is necessary, it is equally important to address survivorship. Achieving a positive outcome involves not just curing the cancer, but also minimizing the long-term effects of the treatment. Survivors of Ewing sarcoma require long-term monitoring for potential side effects, which may include issues related to heart health, secondary cancers, fertility, or skeletal development. Comprehensive survivorship clinics help manage these long-term health needs, ensuring that survivors maintain a high quality of life as they move forward.

The landscape of Ewing sarcoma management continues to evolve, bringing hope to those currently facing this diagnosis. By focusing on the combination of aggressive, multimodal treatment and the emerging possibilities of precision medicine, healthcare providers and families can work together to achieve the best possible results. Every patient’s journey is unique, and prognostic statistics, while useful as a starting point, do not define the limits of what a strong, dedicated treatment plan can achieve. Ongoing research, combined with supportive care and a dedicated medical team, remains the cornerstone of improving survival and health outcomes for every individual impacted by this disease.

Related Terms:

  • what is ewing's sarcoma cancer
  • ewing sarcoma life expectancy
  • ewing's sarcoma symptoms
  • ewing sarcoma cancer survival rate
  • ewing's sarcoma diagnosis
  • ewing's sarcoma survival rate