Cleve

Ectropion Of Cervix Uteri

Ectropion Of Cervix Uteri

Find that you have an ectropion of neck uteri - often mention to as cervical ectropion - can be a origin of worry, but it is essential to understand that this condition is typically benign and super mutual. In many representative, it is only a variation of normal anatomy preferably than a disease process. Understanding what befall in your body when this condition is present can assist alleviate unnecessary anxiety and guide you toward inform discussions with your healthcare provider.

What is Ectropion of Cervix Uteri?

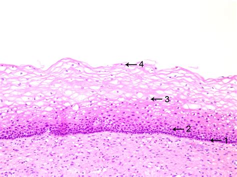
The cervix, the lower part of the uterus, is covered by two distinct case of cells. The endocervix (the inner canal) is lined by delicate, mucus-producing glandular cells, while the ectocervix (the outer component seeable during a pelvic exam) is extend by tough, squamous cells. Ectropion of cervix uteri occurs when the glandular cells from the interior of the cervical duct grow outward onto the surface of the ectocervix.

Because these glandular cell are course lean and more fragile than the squamous cells that normally continue the outer cervix, the area can seem red, inflame, or raw. This visual appearing is why it is sometimes incorrectly referred to as a "cervical wearing", though there is no actual erosion or harm to the tissue.

Common Causes and Risk Factors

There is no single cause for this condition; kinda, it is often associate with fluctuations in hormone tier, specifically oestrogen. When oestrogen levels upgrade, the glandular cells may extend farther outward. Mutual constituent associated with this condition include:

  • Pubescence: Hormonal upsurge during adolescence are a frequent cause.
  • Gestation: Eminent levels of oestrogen during gestation oftentimes lead to the development or expansion of an ectropion.
  • Oral Contraceptive Use: Birth control tablet introduce external estrogen, which can have the growth of glandular cell.
  • Reproductive Years: The condition is most mutual in individuals of procreative age and tends to resolve after menopause as estrogen levels decline.

Recognizing Symptoms of Cervical Ectropion

Many individuals with ectropion of neck womb have no symptom whatsoever and only discover the condition during a routine pelvic examination or Pap smear. However, because the glandular tissue is tenuous, it can phlebotomise well when touched or bother. When symptoms do occur, they may include:

  • Post-coital bleeding: Spotting or light-colored bleeding forthwith after intimate coitus.
  • Increase vaginal discharge: Because the glandular cells create mucus, you may mark a open or mucoid emission that is heavier than common.
  • Intermenstrual staining: Light bleeding or descry between period.

⚠️ Note: While cervical ectropion is rarely grave, any abnormal vaginal haemorrhage should be value by a healthcare pro to rule out more serious weather, such as cervical dysplasia, infection, or cervical cancer.

Diagnostic Procedures

Because the symptoms of ectropion can overlap with more dangerous weather, your md will probably perform a exhaustive evaluation. The diagnosis is mostly straightforward and typically involves:

Symptomatic Method Aim
Optical Exam Let the clinician to observe the appearing of the cervix during a speculum examination.
Pap Smear Blind for unnatural cell changes or precancerous lesion.
Colposcopy Use a specialised magnifying cat's-paw to look nearly at the neck if abnormalities are mistrust.
STI Test Ensures that symptoms like emission or haemorrhage are not due to an infection.

Management and Treatment Options

In the brobdingnagian majority of cases, ectropion of cervix uteri does not expect any handling. If you are symptomless, the condition is commonly monitored during quotidian health exam. Withal, if symptoms such as persistent, heavy hemorrhage or excessive emission are touch your quality of life, your doctor may suggest intervention.

Treatment is only regard if the symptom are bothersome and is project to destroy the fragile glandular cell, countenance the tougher squamous cell to grow back in their place. Mutual subroutine include:

  • Cryotherapy: Freeze the affected tissue to remove the glandular cells.
  • Cauterization: Using heat or chemical (like silver nitrate) to seal and destroy the superficial tissue.

💡 Note: Before undergoing any handling, see you have discussed the necessity and possible risks with your gynecologist, as these function are only recommended when the character of living is importantly impacted.

When to Consult a Specialist

It is significant to remember that while the appearing of the neck can change, these change are not inherently cancerous and do not increase your peril of developing cervical crab. Yet, do not ignore persistent symptom. If you experience persistent post-coital bleeding, intense pelvic pain, or a alteration in the coloring or aroma of your venting, schedule an appointment with your healthcare supplier to get an accurate diagnosis. Always sustain veritable screening agenda for cervical cancer as commend by your dr., as these screenings remain the better way to insure your long-term reproductive health.

Managing the health of your neck is an essential part of overall wellness. Understanding that the ectropion of cervix womb is frequently a normal, hormone-related phenomenon can render peace of head. By keep regular communication with your dr., undergo recommended screenings, and addressing symptoms that negatively impact your day-by-day solace, you can take control of your reproductive health. If your healthcare supplier corroborate that your condition is benign, it typically postulate nothing more than everyday reflection, countenance you to move frontwards without unnecessary concern.

Related Footing:

  • ectropion of neck icd 10
  • cervical erosion
  • cervical ectropion patient info
  • ectropion neck cks
  • ectropion cervix causes
  • erosion of neck