Cleve

Double Inlet Left Ventricle

Double Inlet Left Ventricle

Receiving a diagnosis of Double Inlet Left Ventricle (DILV) can be overwhelming for families and patients alike. As a complex form of congenital heart disease, understanding the mechanics of how this condition affects cardiac function is the first step toward effective management. DILV is categorized as a single ventricle defect, meaning that instead of the heart having two functional pumping chambers, one chamber is significantly underdeveloped or effectively non-functional. In this specific anomaly, both the mitral and tricuspid valves—which usually empty into two separate ventricles—lead into a single, dominant left ventricle. This anatomical structure causes oxygen-rich blood and oxygen-poor blood to mix, forcing the heart to work harder to circulate blood throughout the body.

Understanding the Anatomy of Double Inlet Left Ventricle

To grasp the implications of Double Inlet Left Ventricle, it is helpful to visualize the normal circulatory system. In a typical heart, the right side pumps oxygen-poor blood to the lungs, while the left side pumps oxygen-rich blood to the rest of the body. In a patient with DILV, the blood from both the right and left atria flows into the same large ventricular chamber. Because this single chamber is responsible for pumping blood to both the lungs and the entire body, the heart faces a unique challenge in maintaining systemic pressure and lung circulation.

The severity of the condition often depends on the arrangement of the great arteries—the aorta and the pulmonary artery. In many cases, these arteries are transposed, which can lead to life-threatening complications if not addressed early. The primary clinical concerns include:

  • Cyanosis: A bluish tint to the skin caused by lower-than-normal oxygen levels in the bloodstream.
  • Pulmonary Overcirculation: Excess blood flowing to the lungs, which can cause long-term damage to the pulmonary arteries.
  • Cardiac Fatigue: Because the single ventricle performs the work of two, it can weaken over time.

Diagnostic Approaches and Early Identification

Modern advancements in pediatric cardiology have made early detection of Double Inlet Left Ventricle much more accurate. In many cases, the condition is identified during a prenatal fetal echocardiogram, allowing for a planned delivery at a specialized cardiac center. After birth, infants are monitored closely through a variety of diagnostic tools.

Diagnostic Test Purpose
Fetal Echocardiogram Early visualization of heart chambers during pregnancy.
Pulse Oximetry Measuring oxygen saturation levels in the blood.
Cardiac MRI Providing detailed imagery of heart anatomy and flow dynamics.
Cardiac Catheterization Assessing pressure within the heart chambers and vessels.

⚠️ Note: Regular follow-up appointments with a congenital heart specialist are essential, as the hemodynamic needs of a child with DILV change rapidly during growth spurts.

Surgical Management and Long-Term Care

Because the anatomy of Double Inlet Left Ventricle cannot be "fixed" in a way that creates two fully functional pumping chambers, treatment focuses on "single-ventricle palliation." This involves a series of staged surgeries designed to reroute blood flow so that oxygen-poor blood travels to the lungs passively, bypassing the heart entirely, while the single ventricle focuses solely on pumping oxygen-rich blood to the body.

The standard surgical pathway generally includes three main procedures:

  1. The Norwood Procedure (or shunt placement): Often performed in the first weeks of life to ensure adequate blood flow to the lungs or the body.
  2. The Glenn Procedure (Bidirectional Glenn): Usually performed between 4 and 6 months of age, this connects the superior vena cava directly to the pulmonary arteries.
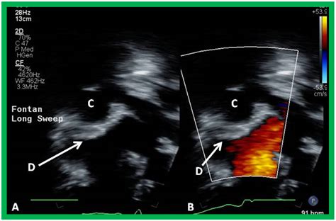
  3. The Fontan Procedure: Typically performed between ages 2 and 5, this creates a final pathway for blood returning from the lower body to flow directly into the pulmonary arteries.

Managing Life with a Single Ventricle

Living with Double Inlet Left Ventricle requires a lifelong partnership with a specialized medical team. As patients transition from childhood to adolescence and eventually adulthood, the focus shifts from surgical survival to optimizing long-term quality of life. This includes monitoring for potential complications such as arrhythmias, protein-losing enteropathy, or heart failure symptoms.

Physical activity is often encouraged, but it must be tailored to the individual patient’s cardiac capacity. Engaging in a healthy lifestyle, including a heart-healthy diet and avoiding smoking, is critical. Furthermore, because patients with DILV are at a higher risk for endocarditis, they must maintain excellent dental hygiene and may require prophylactic antibiotics before certain medical or dental procedures.

💡 Note: Always consult with your pediatric cardiologist regarding specific exercise limitations, as these are highly personalized based on the patient's most recent surgical outcome and current heart function.

Supporting the Journey Ahead

Navigating the path forward with Double Inlet Left Ventricle involves more than just medical treatment; it requires robust emotional and social support. Many families find immense value in joining congenital heart disease support groups, where they can share experiences, resources, and advice with others who are walking similar paths. Advances in medical technology and surgical techniques continue to improve survival rates and life expectancy for these patients, moving the prognosis from a once-terminal condition to a manageable chronic illness.

It is important to remember that every heart is unique. While clinical data provides a framework for care, the individual trajectory of a person born with this heart defect is shaped by many factors, including the presence of other associated heart defects and the body’s response to various interventions. By maintaining consistent medical surveillance, adhering to prescribed medication regimens, and staying informed about new developments in pediatric cardiac care, individuals with DILV can lead fulfilling and productive lives. The combination of expert medical oversight, family advocacy, and personal resilience remains the cornerstone of successfully managing this condition for the long term.

Related Terms:

  • double inlet lv radiology
  • double inlet lv with tga
  • double inlet lv echo
  • double inlet lv fontan
  • dilv with pulmonary atresia
  • dorv vs dilv