Cleve

Dentist Sealant Teeth

Dentist Sealant Teeth

Maintaining optimal oral health often feels like a constant battle against bacteria, sugar, and the natural grooves of our teeth. While diligent brushing and flossing are the cornerstones of a healthy smile, they sometimes aren't enough to reach the complex anatomy of our molars. This is where a dentist sealant teeth procedure becomes an essential ally. Dental sealants act as a protective barrier, shielding the vulnerable surfaces of your teeth from decay-causing agents before they have a chance to take root.

Understanding Dental Sealants and How They Work

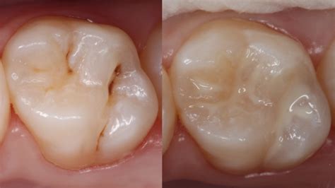
Dentist examining teeth for sealants

Many patients wonder exactly what makes a dentist sealant teeth treatment so effective. Essentially, a dental sealant is a thin, protective coating made from plastic or other dental materials. It is painted onto the chewing surfaces of your back teeth—the molars and premolars—where decay most commonly occurs. The primary purpose of this coating is to fill in the deep pits and fissures, which are naturally uneven surfaces where food particles and bacteria tend to get trapped, even with regular brushing.

By creating a smooth, sealed surface, the sealant prevents food and plaque from accumulating in these hard-to-reach areas. It essentially acts as a physical shield that guards the enamel against acid attacks produced by bacteria. This simple preventive measure can save patients from needing more extensive and costly restorative treatments, such as fillings or crowns, down the road.

Who Should Consider Dental Sealants?

While sealants are frequently associated with children and teenagers, they are not strictly for younger patients. Understanding the ideal candidates for this treatment is key to preventive dental care:

  • Children and Adolescents: School-aged children are often the primary candidates, as molars begin to erupt around age 6 and the second set around age 12. Applying sealants early can protect these teeth during the most cavity-prone years.
  • Adults with Deep Fissures: Adults who possess deep grooves or depressions in their molars—even if they haven’t had cavities yet—can benefit from the added protection that a dentist sealant teeth application provides.
  • Individuals with High Cavity Risk: If you have a history of frequent cavities, poor enamel structure, or struggle with a diet high in sugar, your dentist may recommend sealants as a proactive measure to preserve your tooth structure.

The Step-by-Step Application Process

The process of applying dental sealants is straightforward, painless, and does not require any drilling or removal of tooth structure. Below is the typical procedure a professional will follow:

  1. Cleaning: The dentist or hygienist thoroughly cleans the surface of the tooth to ensure there is no debris.
  2. Preparation: The tooth is dried, and a mild acidic solution is applied to the chewing surface. This “etching” creates a slightly rough surface, which helps the sealant bond securely to the enamel.
  3. Rinsing and Drying: The tooth is rinsed and dried once again to prepare for the final application.
  4. Application: The liquid sealant is painted onto the grooves of the tooth.
  5. Curing: A special blue light is often used to harden or “cure” the material, locking it into place.

💡 Note: The entire application process for a single tooth usually takes only a few minutes, making it a highly efficient procedure for busy schedules.

Comparing Preventive Treatments

To better understand why a dentist sealant teeth treatment is recommended, it is helpful to compare it to other common preventive procedures. The table below outlines how sealants stack up against other options:

Treatment Primary Goal Durability
Dental Sealants Prevention of grooves/fissure decay Lasts several years
Fluoride Treatments Strengthening enamel structure Applied periodically
Dental Fillings Restoration of decayed structure Dependent on material

Maintaining Your Sealants

While sealants are incredibly durable and designed to withstand the forces of chewing, they are not invincible. With proper care, they can last for many years. To keep them in top condition, continue to practice excellent oral hygiene:

  • Brush twice daily with a fluoride toothpaste.
  • Floss at least once per day to remove plaque from between teeth.
  • Avoid chewing on extremely hard objects like ice, popcorn kernels, or hard candies, as these can crack the sealant material.
  • Schedule regular dental check-ups every six months so your dentist can monitor the integrity of the sealants and touch them up if necessary.

💡 Note: If you notice a sealant chipping or feeling rough, schedule an appointment with your dentist promptly so they can assess whether a replacement is required to maintain protection.

Why Preventive Action Matters

Investing in your dental health before problems arise is almost always more beneficial than waiting for pain to occur. Cavities that start in the tiny crevices of teeth can be difficult to detect in their early stages. By the time you notice sensitivity or discomfort, the decay may have already progressed deep into the tooth’s structure. A dentist sealant teeth strategy shifts the focus from repairing damage to preventing it, allowing you to maintain your natural smile for much longer. When you consider the long-term cost, time, and potential discomfort associated with dental work like root canals or crowns, the initial investment in sealants is remarkably cost-effective and provides significant peace of mind.

Choosing to protect your teeth with sealants is a proactive step toward lifelong oral health. By filling the gaps where bacteria thrive, you are effectively reducing the risk of decay and minimizing the need for invasive dental interventions. Whether you are seeking treatment for your child or looking to secure your own molar health, discussing this option with your dental professional is a wise decision. Consistent oral hygiene, combined with the extra layer of defense provided by professional sealant applications, ensures that your teeth remain strong, healthy, and functional for years to come.

Related Terms:

  • over the counter tooth sealant
  • dental adhesives or sealants
  • are dental sealants necessary
  • who should get dental sealants
  • dental sealants material
  • sealants permanent molars only