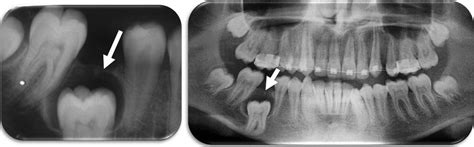
Dentigerous cyst: a common lesion in an uncommon site | BMJ Case Reports
Cleve

Dentigerous cyst: a common lesion in an uncommon site | BMJ Case Reports

1220 × 1280 px July 5, 2025 Peter Cleve

Dentigerous cyst: a common lesion in an uncommon site | BMJ Case Reports is a high-quality image in the Cleve collection, available at 1220 × 1280 pixels resolution — ideal for both digital and print use.

Discover the common causes, symptoms, and treatment options for a cyst on gums. Learn how to identify oral fluid-filled sacs, differentiate between dental abscesses and benign growths, and when to consult a dentist. Get expert advice on managing gum health, preventing infections, and finding effective relief for persistent oral lumps to ensure long-term dental wellness.

Image Details

TitleDentigerous cyst: a common lesion in an uncommon site | BMJ Case Reports
Dimensions1220 × 1280 px
CategoryCleve
PublishedJuly 5, 2025
AuthorZeus
Downloads917
Views525

Read full article: Cyst On Gums

// More Images