Cleve

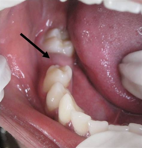
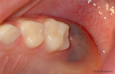
Cyst On Gums

Cyst On Gums

Finding an unusual lump in your mouth can be an alarming experience, often leading to immediate worry about your dental health. If you have discovered a cyst on gums, it is essential to remain calm while understanding that these growths are relatively common and frequently treatable. A cyst is essentially a fluid-filled sac that can develop in the soft tissue of the gums or deep within the jawbone near the roots of your teeth. While many of these are benign, they should never be ignored, as they can sometimes indicate underlying dental issues that require professional intervention to prevent further complications.

Understanding What Causes a Cyst on Gums

Dental examination

The development of a cyst on gums is typically the body’s way of walling off an infection or reacting to irritation. Understanding the root cause is the first step toward effective treatment. Several factors can lead to these formations, ranging from chronic inflammation to developmental issues:

  • Dental Abscesses: Often caused by untreated cavities or deep decay, an infection can lead to a pus-filled pocket near the gum line.
  • Trauma: Injury to the mouth or gums can sometimes trigger the formation of a cyst as part of the healing process.
  • Impacted Teeth: Wisdom teeth or other teeth that fail to erupt properly often create a space where cysts can thrive.
  • Periodontal Disease: Advanced gum disease can cause deep pockets where bacteria accumulate, potentially leading to cyst formation.
  • Developmental Cysts: Some cysts arise during jaw development and may remain dormant for years before becoming noticeable.

Common Symptoms to Watch For

Identifying a cyst on gums early can save you from significant discomfort. While some small cysts might be painless, others can become inflamed or infected. Keep an eye out for the following warning signs:

Also read: Face Down Chairs For Eye Surgery
  • A visible, raised bump on the gum tissue.
  • Tenderness or pain when chewing or touching the area.
  • Swelling of the surrounding gum or even the side of the face.
  • A persistent bad taste in the mouth or foul-smelling discharge.
  • Loose teeth or shifting tooth alignment.
  • Difficulty swallowing or opening your mouth fully in extreme cases.

Distinguishing Between Types of Oral Growths

Not every bump is a cyst. It is important to distinguish between different types of oral pathology. The following table provides a quick reference to help you understand the variations you might encounter:

Growth Type Characteristics Primary Cause
Dental Cyst Fluid-filled, usually near a tooth root. Infection or impacted teeth.
Abscess Red, painful, pus-filled lump. Severe bacterial infection.
Epulis Firm growth on the gum tissue. Irritation or hormonal changes.
Fibroma Smooth, pink, scar-like tissue. Chronic biting or rubbing.

⚠️ Note: You cannot accurately diagnose a cyst on gums at home. Always seek a professional dental evaluation to rule out malignancy and determine if surgical removal or antibiotics are necessary.

Diagnostic Procedures and Professional Treatment

When you visit a dentist, they will likely start with a visual examination followed by diagnostic imaging. An X-ray or CT scan is crucial because it allows the dentist to see what is happening beneath the surface of the gum tissue, revealing the size and location of the cyst relative to your bone structure.

Once a diagnosis is confirmed, the treatment plan generally follows these steps:

  1. Drainage and Cleaning: If the cyst is the result of an infection, the dentist will drain the fluid and remove the infected tissue.
  2. Root Canal Therapy: If the cyst is attached to a tooth root, a root canal may be performed to save the tooth and eliminate the source of infection.
  3. Surgical Removal: For larger or non-responsive cysts, a procedure called an enucleation may be performed to remove the sac entirely.
  4. Biopsy: Your dentist will likely send a tissue sample to a lab to ensure the growth is benign.

💡 Note: Maintain excellent oral hygiene after any treatment. Brush gently around the area and use an antimicrobial rinse as recommended by your dentist to promote faster tissue recovery.

Preventive Measures for Oral Health

While some cysts are developmental and difficult to predict, many can be prevented through proactive oral care. By maintaining a strict dental hygiene regimen, you significantly reduce the environment in which these growths thrive.

  • Routine Check-ups: Visit your dentist at least twice a year. Early detection of decay or minor infections prevents them from evolving into problematic cysts.
  • Daily Flossing: Removing plaque from between teeth prevents the deep gum pockets that often serve as a breeding ground for bacteria.
  • Address Trauma Immediately: If you chip a tooth or experience significant mouth trauma, seek professional care right away rather than waiting to see if it heals on its own.
  • Watch for Changes: Be aware of your own mouth. If you notice a new bump or persistent swelling, consult a professional immediately rather than waiting for it to become painful.

Managing your oral health is a lifelong commitment that pays dividends in your overall well-being. A cyst on gums, while potentially worrying, is typically a manageable condition when addressed with professional expertise. By staying vigilant about the symptoms, prioritizing regular dental visits, and maintaining a high standard of daily hygiene, you can protect your smile from the complications associated with these oral growths. If you find yourself facing such a lump, do not delay—seek a consultation with your dental provider to secure a prompt diagnosis and the appropriate care plan, ensuring your mouth remains healthy and functional for years to come.

Related Terms:

  • lump in gum above tooth
  • photos of cysts below gum
  • lump in gum under tooth
  • cyst on gum above tooth
  • fleshy lump on gum
  • cysts in gums of mouth