What Is Arnold Chiari Syndrome – Maladie De Chiari Traitement – XFQS
Rp

What Is Arnold Chiari Syndrome – Maladie De Chiari Traitement – XFQS

3584 × 2240 px November 13, 2025 Peter Rp

What Is Arnold Chiari Syndrome – Maladie De Chiari Traitement – XFQS is a high-quality image in the Rp collection, available at 3584 × 2240 pixels resolution — ideal for both digital and print use.

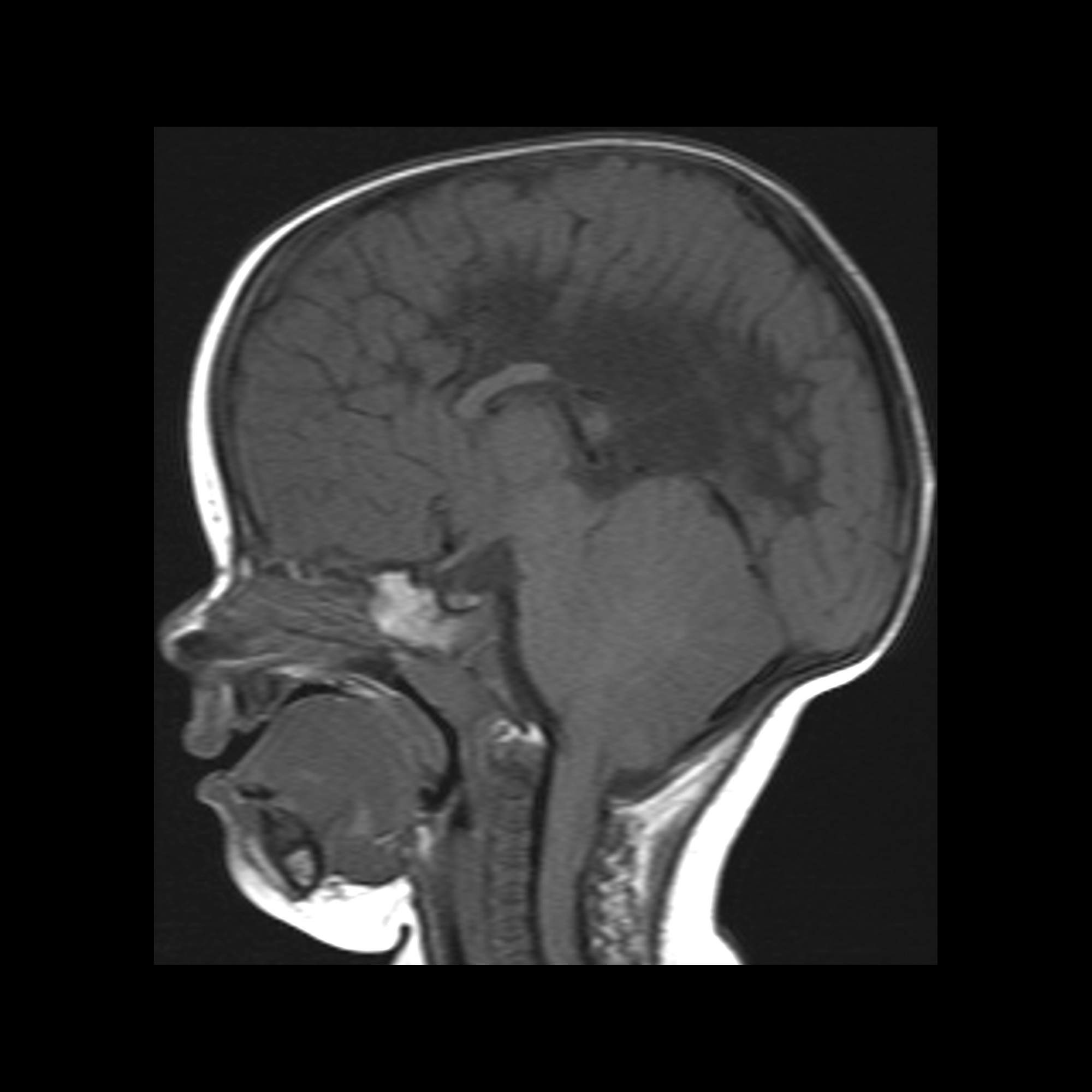
Understand Chiari Malformation Type 2 with our comprehensive guide. Explore the causes, common symptoms like hindbrain herniation, and advanced surgical treatment options for this congenital condition. Learn how neurosurgeons manage neurological complications associated with Arnold-Chiari malformations to improve patient outcomes. Discover essential insights into living with this complex structural brain defect and finding effective specialized care today.

Image Details

TitleWhat Is Arnold Chiari Syndrome – Maladie De Chiari Traitement – XFQS
Dimensions3584 × 2240 px
CategoryRp
PublishedNovember 13, 2025
AuthorZeus
Downloads144
Views738

Read full article: Chiari Malformation Type 2

// More Images